Department of Thoracic/Head & Neck Medical Oncology, The University of Texas MD Anderson Cancer Center, Houston, TX, USA.
The University of Texas Graduate School of Biomedical Sciences, Houston, TX, USA.
Oncologist. 2022 Dec 9;27(12):1004-e926. doi: 10.1093/oncolo/oyac185.
PI3K/mTOR inhibition leads to apoptosis of NOTCH1-mutant head and neck squamous cell carcinoma (HNSCC) cells. We tested the efficacy of the PI3K/mTOR inhibitor bimiralisib in patients with NOTCH1-mutant HNSCC.
Patients with recurrent/metastatic NOTCH1-mutant HNSCC who had progressed during chemotherapy and immunotherapy received bimiralisib until unacceptable toxicity or progression. To assess whether NOTCH1 mutations can be detected in blood, we measured circulating tumor DNA (ctDNA). To assess activated NOTCH1 protein levels, we quantitated cleaved NOTCH1 (cl-NOTCH) by immunohistochemistry.
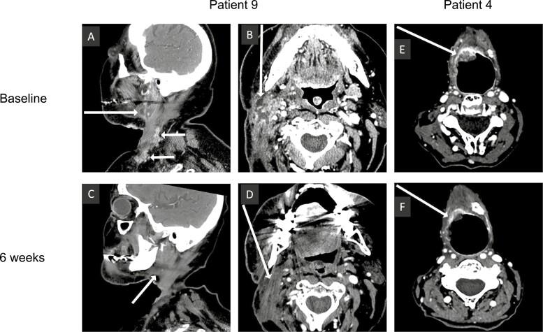
Eight patients were treated, and 6 were evaluable for response. The objective response rate was 17%. For all 8 patients, median progression-free and overall survival was 5 and 7 months, respectively. Bimiralisib was well tolerated, with expected hyperglycemia. Pharmacokinetic values were consistent with published studies. NOTCH1 mutations were detected in 83.3% of ctDNA. Staining for tumor cl-NOTCH1 was negative. The trial closed early due to sponsor insolvency.
Although the trial was small, outcomes with bimiralisib were better than the historical standard of care; Results will need to be confirmed in a larger trial. The lack of cl-NOTCH1 was consistent with loss-of-function mutations and validated our mutation function algorithm. The ability to detect NOTCH1 mutations in blood will help future studies. (ClinicalTrials.gov Identifier: NCT03740100).
PI3K/mTOR 抑制导致 NOTCH1 突变的头颈部鳞状细胞癌(HNSCC)细胞凋亡。我们检测了 PI3K/mTOR 抑制剂 bimiralisib 对 NOTCH1 突变的 HNSCC 患者的疗效。
复发性/转移性 NOTCH1 突变的 HNSCC 患者在化疗和免疫治疗进展后接受 bimiralisib 治疗,直到出现不可接受的毒性或进展。为了评估是否可以在血液中检测到 NOTCH1 突变,我们测量了循环肿瘤 DNA(ctDNA)。为了评估激活的 NOTCH1 蛋白水平,我们通过免疫组化定量了切割的 NOTCH1(cl-NOTCH)。
8 例患者接受了治疗,其中 6 例可评估疗效。客观缓解率为 17%。所有 8 例患者的中位无进展生存期和总生存期分别为 5 个月和 7 个月。bimiralisib 耐受性良好,有预期的高血糖。药代动力学值与已发表的研究一致。83.3%的 ctDNA 中检测到 NOTCH1 突变。肿瘤 cl-NOTCH1 的染色为阴性。由于赞助商破产,该试验提前关闭。
尽管该试验规模较小,但 bimiralisib 的结果优于历史标准治疗;结果需要在更大的试验中得到证实。缺乏 cl-NOTCH1 与功能丧失突变一致,并验证了我们的突变功能算法。在血液中检测 NOTCH1 突变的能力将有助于未来的研究。(临床试验.gov 标识符:NCT03740100)。