Suppr超能文献

区分血液恶性肿瘤中的中枢神经系统感染与疾病浸润。

Differentiating central nervous system infection from disease infiltration in hematological malignancy.

机构信息

Lysholm Department of Neuroradiology, University College London Hospitals NHS Foundation Trust, London, WC1N 3BG, UK.

Department of Brain Repair and Rehabilitation, UCL Queen Square Institute of Neurology, London, WC1N 3BG, UK.

出版信息

Sci Rep. 2022 Sep 22;12(1):15805. doi: 10.1038/s41598-022-19769-2.

Abstract

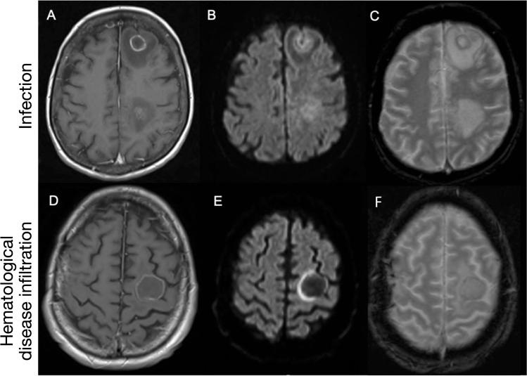
Hematological malignancies place individuals at risk of CNS involvement from their hematological disease and opportunistic intracranial infection secondary to disease-/treatment-associated immunosuppression. Differentiating CNS infection from hematological disease infiltration in these patients is valuable but often challenging. We sought to determine if statistical models might aid discrimination between these processes. Neuroradiology, clinical and laboratory data for patients with hematological malignancy at our institution between 2007 and 2017 were retrieved. MRI were deep-phenotyped across anatomical distribution, presence of pathological enhancement, diffusion restriction and hemorrhage and statistically modelled with Bayesian-directed probability networks and multivariate logistic regression. 109 patients were studied. Irrespective of a diagnosis of CNS infection or hematological disease, the commonest anatomical distributions of abnormality were multifocal-parenchymal (34.9%), focal-parenchymal (29.4%) and leptomeningeal (11.9%). Pathological enhancement was the most frequently observed abnormality (46.8%), followed by hemorrhage (22.9%) and restricted diffusion (19.3%). Logistic regression could differentiate CNS infection from hematological disease infiltration with an AUC of 0.85 where, with OR > 1 favoring CNS infection and < 1 favoring CNS hematological disease, significantly predictive imaging features were hemorrhage (OR 24.61, p = 0.02), pathological enhancement (OR 0.17, p = 0.04) and an extra-axial location (OR 0.06, p = 0.05). In conclusion, CNS infection and hematological disease are heterogeneous entities with overlapping radiological appearances but a multivariate interaction of MR imaging features may assist in distinguishing them.

摘要

血液系统恶性肿瘤使个体面临因血液系统疾病而导致中枢神经系统(CNS)受累,以及因疾病/治疗相关免疫抑制导致机会性颅内感染的风险。在这些患者中,区分中枢神经系统感染与血液系统疾病浸润具有重要意义,但通常具有挑战性。我们旨在确定统计模型是否有助于区分这些过程。检索了 2007 年至 2017 年间我院血液系统恶性肿瘤患者的神经影像学、临床和实验室数据。对 MRI 进行了深度表型分析,涉及解剖分布、病理性强化、弥散受限和出血的存在,并使用贝叶斯定向概率网络和多变量逻辑回归进行了统计学建模。共研究了 109 例患者。无论是否诊断为中枢神经系统感染或血液系统疾病,异常的最常见解剖分布为多灶性实质(34.9%)、局灶性实质(29.4%)和软脑膜(11.9%)。病理性强化是最常见的异常表现(46.8%),其次是出血(22.9%)和弥散受限(19.3%)。逻辑回归可以区分中枢神经系统感染和血液系统疾病浸润,AUC 为 0.85,其中 OR > 1 有利于中枢神经系统感染,OR < 1 有利于中枢神经系统血液系统疾病,具有显著预测价值的影像学特征为出血(OR 24.61,p = 0.02)、病理性强化(OR 0.17,p = 0.04)和外轴位置(OR 0.06,p = 0.05)。总之,中枢神经系统感染和血液系统疾病是具有重叠影像学表现的异质实体,但磁共振成像特征的多变量相互作用可能有助于区分它们。

https://cdn.ncbi.nlm.nih.gov/pmc/blobs/beb5/9499957/d80a820e0979/41598_2022_19769_Fig1_HTML.jpg

文献AI研究员

20分钟写一篇综述,助力文献阅读效率提升50倍。

立即体验

用中文搜PubMed

大模型驱动的PubMed中文搜索引擎

马上搜索

文档翻译

学术文献翻译模型,支持多种主流文档格式。

立即体验