Suppr超能文献

经前路椎体间松解并使用 30°可扩张超前凸椎间融合器行前路预腹侧融合治疗单节段腰椎滑脱伴矢状面失平衡

Single Level Spondylolisthesis Associated Sagittal Plane Imbalance Corrected by Pre-Psoas Interbody Fusion Using Anterior Column Release with 30° Expandable Hyperlordotic Cage.

机构信息

Department of Neurological Surgery, Ochsner Health, New Orleans, LA 70121, USA.

Department of Neurosurgery, Northwell Health, Manhasset, NY 11030, USA.

出版信息

Medicina (Kaunas). 2022 Aug 29;58(9):1172. doi: 10.3390/medicina58091172.

Abstract

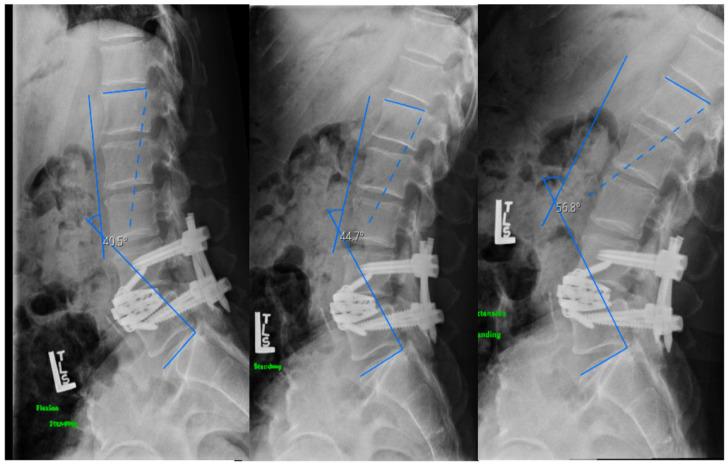
Loss of lumbar lordosis caused by single level degenerative spondylolisthesis can trigger significant sagittal plane imbalance and failure to correct lumbopelvic parameters during lumbar fusion can lead to poor outcome or worsening deformity. Anterior column release (ACR) through a pre-psoas approach allows the placement of a hyperlordotic cage (HLC) to improve lumbar lordosis, but it is unclear if the amount of cage lordosis affects radiological outcomes in real-life patient conditions. Three patients were treated with ACR and 30° expandable HLC for positive sagittal imbalance secondary to single-level spondylolisthesis. Patients reported baseline and post-operative Oswestry Disability Index (ODI) and Numeric Pain Score (NRS). Radiographic parameters of sagittal balance included lumbar lordosis (LL), sagittal vertical axis (SVA) and pelvic incidence-lumbar lordosis mismatch (PI-LL). Surgical indications were sagittal plane imbalance caused by L4-L5 degenerative spondylolisthesis (n = 2) and L3-L4 spondylolisthesis secondary to adjacent segmental degeneration (n = 1). Average post-operative length of stay was 3 days (range 2-4) and estimated blood loss was 266 mL (range 200-300). NRS and ODI improved in all patients. All experienced improvements in LL (x¯preop = 33°, x¯postop = 56°), SVA (x¯preop = 180 mm, x¯postop = 61 mm) and PI-LL (x¯preop = 26°, x¯postop = 5°). ACR with expandable HLC can restore sagittal plane balance associated with single-level spondylolisthesis. Failure to perform ACR with HLC placement during pre-psoas interbody fusion may result in under correction of lordosis and poorer outcome for these patients.

摘要

单节段退变性脊椎滑脱导致腰椎前凸丢失可引发明显矢状面失衡,如果在腰椎融合过程中不能纠正腰骨盆参数,可导致不良结果或畸形恶化。前路柱松解(ACR)经前路松解可使超前凸椎间融合器(HLC)的放置,从而改善腰椎前凸,但尚不清楚在现实患者情况下,椎间融合器的前凸角度是否会影响影像学结果。3 例单节段脊椎滑脱继发阳性矢状面失衡患者采用 ACR 和 30°可扩张 HLC 治疗。患者报告术前和术后 Oswestry 功能障碍指数(ODI)和数字疼痛评分(NRS)。矢状面平衡的影像学参数包括腰椎前凸(LL)、矢状垂直轴(SVA)和骨盆入射角-腰椎前凸不匹配(PI-LL)。手术指征为 L4-L5 退变性脊椎滑脱(n = 2)和 L3-L4 脊椎滑脱继发邻近节段退变(n = 1)导致的矢状面失衡。术后平均住院时间为 3 天(范围 2-4 天),估计失血量为 266 mL(范围 200-300 mL)。所有患者的 NRS 和 ODI 均改善。所有患者均改善了 LL(x¯术前=33°,x¯术后=56°)、SVA(x¯术前=180mm,x¯术后=61mm)和 PI-LL(x¯术前=26°,x¯术后=5°)。前路柱松解联合可扩张 HLC 可恢复与单节段脊椎滑脱相关的矢状面平衡。如果在前路融合过程中未能进行 ACR 和 HLC 放置,可能会导致前凸角度矫正不足,这些患者的结果较差。

https://cdn.ncbi.nlm.nih.gov/pmc/blobs/8d85/9502586/d8421fab0d3b/medicina-58-01172-g001.jpg

文献AI研究员

20分钟写一篇综述,助力文献阅读效率提升50倍。

立即体验

用中文搜PubMed

大模型驱动的PubMed中文搜索引擎

马上搜索

文档翻译

学术文献翻译模型,支持多种主流文档格式。

立即体验