Suppr超能文献

真武汤治疗不同阶段肾纤维化的机制:?的作用是什么?

Mechanisms of Zhenwu decoction for the treatment of renal fibrosis at various stages: What is the role of ?

作者信息

Du Lijing, Zhang Yiping, Ji Shuai, Wang Leqi, Zhao Xiaoshan, Yan Shikai, Xiao Xue, Li Shasha

机构信息

The Second Clinical College of Guangzhou University of Chinese Medicine, Guangzhou, China.

School of Pharmacy, Shanghai Jiao Tong University, Shanghai, China.

出版信息

Front Microbiol. 2022 Sep 6;13:913465. doi: 10.3389/fmicb.2022.913465. eCollection 2022.

Abstract

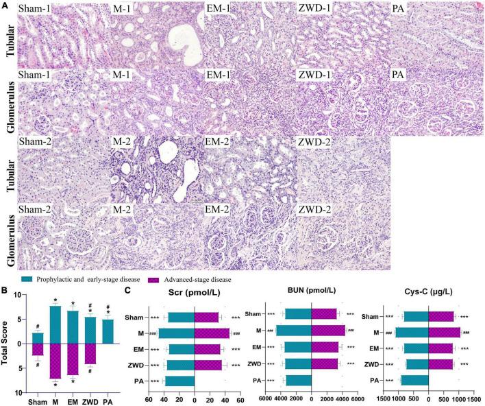
Many studies demonstrated that Zhenwu decoction (ZWD) is effective in the treatment of kidney fibrosis, whereas the mechanism remains unclear. In this work, a microbiomics-based strategy was used to investigate the mechanism of protective effects of ZWD on kidney fibrosis. Unilateral ureteral obstruction was used to replicate a rat model of renal fibrosis, and rats were divided into prophylactic, early, and progression stages according to the timing of administration. Feces was collected to perform microbiota evaluation by high-throughput 16S DNA sequencing. The results indicated that , , , and were highlighted as key targeted flora of ZWD in the treatment of renal fibrosis, and their biological functions were related to inflammation, immunity, and renal excretion. Especially, presented a significant positive correlation with the concentration of Cys-C, Scr, and BUN. The studies on the changes in inflammatory cytokines (INF-γ, IL-1β, IL-4, and TNF-α) and immunoglobulin (IgA, IgM, and IgG) confirmed the beneficial effects of ZWD on kidney fibrosis. Therefore, this study confirmed the protective effect of ZWD against renal fibrosis at various disease stages, and its mechanism was associated with re-establishing dysbiosis of the intestinal microbiota, reducing inflammation, as well as regulating immune functions. In particular, may be a key flora in the treatment of renal fibrosis.

摘要

许多研究表明,真武汤(ZWD)在治疗肾纤维化方面有效,但其机制仍不清楚。在这项工作中,采用基于微生物组学的策略来研究真武汤对肾纤维化保护作用的机制。采用单侧输尿管梗阻复制大鼠肾纤维化模型,并根据给药时间将大鼠分为预防、早期和进展期。收集粪便,通过高通量16S DNA测序进行微生物群评估。结果表明,[此处原文缺失具体菌种名称]、[此处原文缺失具体菌种名称]、[此处原文缺失具体菌种名称]和[此处原文缺失具体菌种名称]被突出显示为真武汤治疗肾纤维化的关键靶向菌群,它们的生物学功能与炎症、免疫和肾脏排泄有关。特别是,[此处原文缺失具体菌种名称]与Cys-C、Scr和BUN的浓度呈显著正相关。对炎性细胞因子(INF-γ、IL-1β、IL-4和TNF-α)和免疫球蛋白(IgA、IgM和IgG)变化的研究证实了真武汤对肾纤维化的有益作用。因此,本研究证实了真武汤在不同疾病阶段对肾纤维化的保护作用,其机制与重建肠道微生物群失调、减轻炎症以及调节免疫功能有关。特别是,[此处原文缺失具体菌种名称]可能是治疗肾纤维化的关键菌群。

https://cdn.ncbi.nlm.nih.gov/pmc/blobs/cb68/9485941/783acdf41a1c/fmicb-13-913465-g001.jpg

文献AI研究员

20分钟写一篇综述,助力文献阅读效率提升50倍。

立即体验

用中文搜PubMed

大模型驱动的PubMed中文搜索引擎

马上搜索

文档翻译

学术文献翻译模型,支持多种主流文档格式。

立即体验