Suppr超能文献

[胆囊结肠瘘作为晚期胆囊癌的一种并发症]

[Cholecystocolonic fistula as a complication of advanced gallbladder cancer].

作者信息

Gasque Rodrigo Antonio, Mollard Lourdes, Cervantes José Gabriel, Lenz Virreira Marcelo Enrique, Quiñonez Emilio Gastón, Mattera Francisco Juan

机构信息

Unidad de Cirugía hepatobiliar compleja, pancreática y trasplante hepático, Hospital de Alta Complejidad en Red "El Cruce", Florencio Varela, Buenos Aires, Argentina.

Unidad de Cirugía hepatobiliar compleja, pancreática y trasplante hepático, Hospital de Alta Complejidad en Red "El Cruce", Florencio Varela, Buenos Aires, Argentina .

出版信息

Rev Fac Cien Med Univ Nac Cordoba. 2022 Sep 16;79(3):301-303. doi: 10.31053/1853.0605.v79.n3.37351.

Abstract

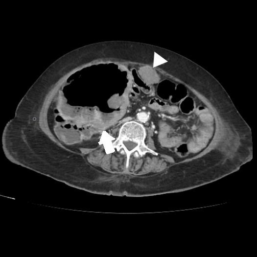
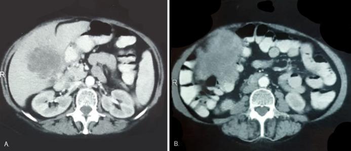
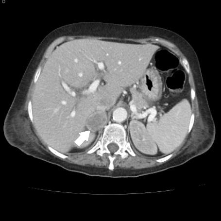
Cholecystocolonic fistula (CCF) is the second most common cholecystoenteric fistula, associated in most cases with stone disease. Symptoms are usually minimal or nonspecific, and preoperative diagnosis is uncommon. Although the incidence of FCC caused by gallbladder cancer comprises 1.7% of cases, it is necessary to suspect it in order to adopt the best therapeutic strategy.

摘要

胆囊结肠瘘(CCF)是第二常见的胆囊肠瘘,多数情况下与结石病相关。症状通常轻微或不具特异性,术前诊断并不常见。尽管胆囊癌导致的胆囊结肠瘘发病率占病例的1.7%,但为了采取最佳治疗策略,仍有必要怀疑此病。

https://cdn.ncbi.nlm.nih.gov/pmc/blobs/059f/9590816/48763995ed39/1853-0605-79-3-301-g001.jpg

相似文献

1
[Cholecystocolonic fistula as a complication of advanced gallbladder cancer].
Rev Fac Cien Med Univ Nac Cordoba. 2022 Sep 16;79(3):301-303. doi: 10.31053/1853.0605.v79.n3.37351.
2
Treatment of cholecystocolonic fistula by laparoscopy.
Surg Endosc. 1995 Jun;9(6):728-9. doi: 10.1007/BF00187951.
3
Cholecystocolonic fistulas.
Gastrointest Endosc. 2004 Mar;59(3):460-1; author reply 461. doi: 10.1016/s0016-5107(03)02556-2.
4
Cholecystocolonic fistula.
Del Med J. 2014 Dec;86(12):373-5.
5
A rolling stone plugging the colon: Consequence of a cholecystocolonic fistula from gallbladder cancer.
Presse Med. 2017 Jul-Aug;46(7-8 Pt 1):784-785. doi: 10.1016/j.lpm.2017.04.009. Epub 2017 Jun 29.
6
Cholecystocolonic fistula: facts and myths. A review of the 231 published cases.
J Hepatobiliary Pancreat Surg. 2009;16(1):8-18. doi: 10.1007/s00534-008-0014-1. Epub 2008 Dec 17.
7
Gallbladder papillomatosis and cholecystocolonic fistula: a rare combination.
Am J Case Rep. 2014 Oct 29;15:466-70. doi: 10.12659/AJCR.891190.
8
Cholecystocolonic fistula mimicking acute cholecystitis diagnosed unequivocally by computed tomography.
Emerg Radiol. 2013 Dec;20(6):569-72. doi: 10.1007/s10140-013-1132-x. Epub 2013 May 31.
9
[Spontaneous cholecystocolonic fistulas. Presentation of 5 cases].
Rev Esp Enferm Apar Dig. 1989 Feb;75(2):192-7.

引用本文的文献

1
Cholecystoenteric fistula in a patient with advanced gallbladder cancer: A case report and review of literature.
World J Clin Cases. 2023 Dec 26;11(36):8519-8526. doi: 10.12998/wjcc.v11.i36.8519.

本文引用的文献

1
Eosinophilic pneumonia: A review of the previous literature, causes, diagnosis, and management.
Allergol Int. 2019 Oct;68(4):413-419. doi: 10.1016/j.alit.2019.05.006. Epub 2019 Jun 25.
2
Imaging of Eosinophilic Lung Diseases.
Radiol Clin North Am. 2016 Nov;54(6):1151-1164. doi: 10.1016/j.rcl.2016.05.008. Epub 2016 Aug 12.
3
Eosinophilic Lung Diseases.
Clin Chest Med. 2016 Sep;37(3):535-56. doi: 10.1016/j.ccm.2016.04.015. Epub 2016 Jun 25.
4
Eosinophilic lung diseases: a clinical, radiologic, and pathologic overview.
Radiographics. 2007 May-Jun;27(3):617-37; discussion 637-9. doi: 10.1148/rg.273065051.

文献AI研究员

20分钟写一篇综述,助力文献阅读效率提升50倍。

立即体验

用中文搜PubMed

大模型驱动的PubMed中文搜索引擎

马上搜索

文档翻译

学术文献翻译模型,支持多种主流文档格式。

立即体验