• 文献检索
  • 文档翻译
  • 深度研究
  • 学术资讯
  • Suppr Zotero 插件Zotero 插件
  • 邀请有礼
  • 套餐&价格
  • 历史记录
应用&插件
Suppr Zotero 插件Zotero 插件浏览器插件Mac 客户端Windows 客户端微信小程序
定价
高级版会员购买积分包购买API积分包
服务
文献检索文档翻译深度研究API 文档MCP 服务
关于我们
关于 Suppr公司介绍联系我们用户协议隐私条款
关注我们

Suppr 超能文献

核心技术专利:CN118964589B侵权必究
粤ICP备2023148730 号-1Suppr @ 2026

文献检索

告别复杂PubMed语法,用中文像聊天一样搜索,搜遍4000万医学文献。AI智能推荐,让科研检索更轻松。

立即免费搜索

文件翻译

保留排版,准确专业,支持PDF/Word/PPT等文件格式,支持 12+语言互译。

免费翻译文档

深度研究

AI帮你快速写综述,25分钟生成高质量综述,智能提取关键信息,辅助科研写作。

立即免费体验

2021 年 2 月至 3 月,在迪拜一家三级保健医院,使用恢复期血浆治疗处于 COVID-19 感染早期阶段的孕妇:病例系列研究。

Use of convalescent plasma in pregnant women with early stage COVID-19 infection in a tertiary care hospital in Dubai, February to March 2021: a case series study.

机构信息

Latifa Women and Children Hospital, Dubai Health Authority, Dubai, United Arab Emirates.

College of Medicine, Mohammed Bin Rashid University of Medicine and Health Sciences (MBRU), Dubai Health Care City, Dubai, United Arab Emirates.

出版信息

BMC Pregnancy Childbirth. 2022 Sep 25;22(1):730. doi: 10.1186/s12884-022-05043-w.

DOI:10.1186/s12884-022-05043-w
PMID:36155102
原文链接:https://pmc.ncbi.nlm.nih.gov/articles/PMC9509581/
Abstract

BACKGROUND

The use of COVID-19 convalescent plasma (CCP) for the treatment of SARS-CoV-2 infection in pregnancy is intriguing in view of its safety profile in pregnancy and historical precedence of the use of plasma for other viral illnesses. This study aimed to evaluate the use of CCP in pregnant women with early COVID-19 infection.

METHODS

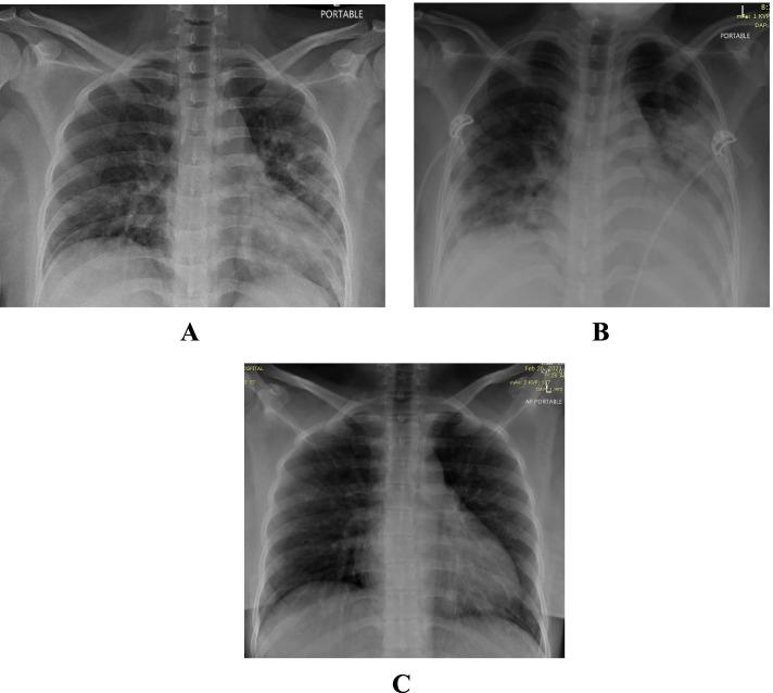
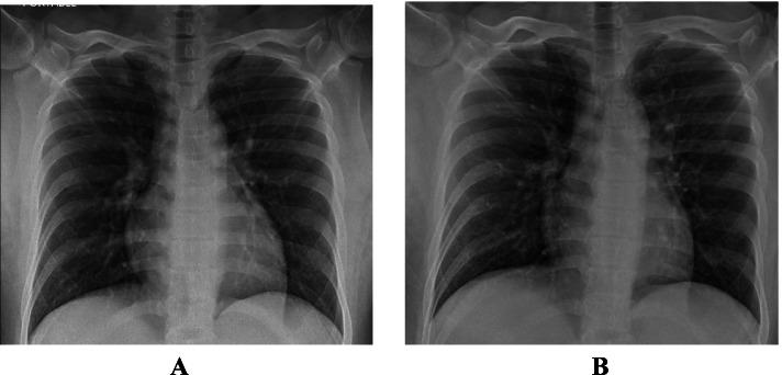
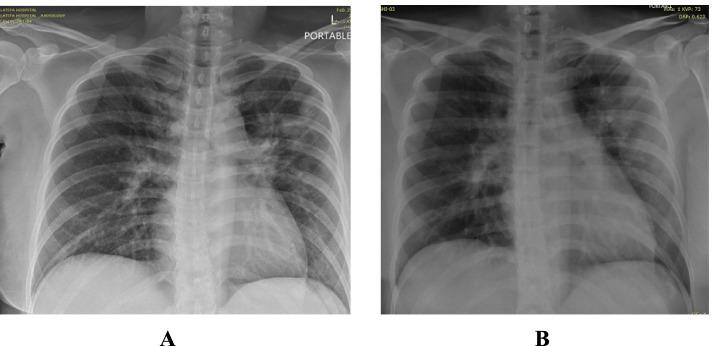
This is a retrospective case series study. We have included seven pregnant women admitted with early COVID-19 infection to a tertiary care hospital, Latifa Maternity Hospital in Dubai, United Arab Emirates between 12 February and 04 March 2021 and who consented to receive COVID-19 convalescent plasma as part of their treatment plan. Main outcomes measured were clinical and radiological features, laboratory tests, WHO clinical progression scale pre and post treatment, and maternal, fetal outcomes. COVID-19 clinical severity was classified according to the NIH guidelines for criteria of SARS-CoV-2. For the radiological features, a modified chest X-ray scoring system was used where each lung was divided into 6 zones (3 on each side upper, middle, and lower). Opacities were classified into reticular, ground glass, patchy and dense consolidations patterns.

RESULTS

Seven pregnant women with early COVID-19 were enrolled in this study, their mean age was 28 years (SD 3.6). Four had comorbidities: 2 with diabetes, 1 with asthma, and 1 was obese. Five patients were admitted with a WHO clinical progression score of 4 (hospitalized; with no oxygen therapy) and 2 with a score of 5 (hospitalized; oxygen by mask/nasal prongs). Upon follow up on day 10, 6 patients had a WHO score of 1 or 2 (asymptomatic/mild symptoms) indicating clinical recovery. Adverse reactions were reported in 2 patients, one reported a mild skin rash, and another developed transfusion related circulatory overload. All patients were discharged alive.

CONCLUSION

CCP seems to be a promising modality of treating COVID-19 infected pregnant women. However, further studies are needed to ascertain the efficacy of CCP in preventing progressive disease in the management of COVID-19 infection in pregnant women.

摘要

背景

鉴于 COVID-19 恢复期血浆(CCP)在妊娠期间的安全性,以及其在治疗其他病毒性疾病时使用血浆的历史先例,将 CCP 用于 SARS-CoV-2 感染的妊娠治疗具有一定吸引力。本研究旨在评估 CCP 在早期 COVID-19 感染孕妇中的应用。

方法

这是一项回顾性病例系列研究。我们纳入了 2021 年 2 月 12 日至 3 月 4 日期间在阿拉伯联合酋长国迪拜拉蒂法妇产医院因早期 COVID-19 感染住院且同意接受 COVID-19 恢复期血浆治疗的 7 名孕妇。主要观察指标为临床和影像学特征、实验室检查、治疗前后世界卫生组织临床进展量表(WHO 临床进展量表)以及母婴结局。根据 NIH 指南,COVID-19 临床严重程度分为 SARS-CoV-2 标准。对于影像学特征,使用改良的胸部 X 线评分系统,每个肺分为 6 个区(每侧上、中、下各 3 个区)。将不透明性分为网状、磨玻璃、斑片状和致密性实变。

结果

本研究纳入了 7 名早期 COVID-19 孕妇,平均年龄为 28 岁(标准差 3.6)。4 名患者合并有基础疾病:2 例糖尿病、1 例哮喘、1 例肥胖。5 例患者因 WHO 临床进展评分 4 分(住院;无吸氧治疗)入院,2 例患者因评分 5 分(住院;面罩/鼻插吸氧)入院。第 10 天随访时,6 名患者的 WHO 评分降至 1 分或 2 分(无症状/轻度症状),表明临床康复。2 名患者出现不良反应,1 例报告轻度皮疹,另 1 例发生输血相关循环超负荷。所有患者均存活出院。

结论

CCP 似乎是治疗 COVID-19 感染孕妇的一种很有前景的方法。然而,还需要进一步研究以确定 CCP 在预防 COVID-19 感染孕妇疾病进展方面的疗效。

https://cdn.ncbi.nlm.nih.gov/pmc/blobs/57ec/9509581/6f8fca517af8/12884_2022_5043_Fig8_HTML.jpg
https://cdn.ncbi.nlm.nih.gov/pmc/blobs/57ec/9509581/391340733676/12884_2022_5043_Fig1_HTML.jpg
https://cdn.ncbi.nlm.nih.gov/pmc/blobs/57ec/9509581/85a838637aa5/12884_2022_5043_Fig2_HTML.jpg
https://cdn.ncbi.nlm.nih.gov/pmc/blobs/57ec/9509581/5fe511918083/12884_2022_5043_Fig4_HTML.jpg
https://cdn.ncbi.nlm.nih.gov/pmc/blobs/57ec/9509581/6b502415b5fc/12884_2022_5043_Fig5_HTML.jpg
https://cdn.ncbi.nlm.nih.gov/pmc/blobs/57ec/9509581/dbeecac0c615/12884_2022_5043_Fig7_HTML.jpg
https://cdn.ncbi.nlm.nih.gov/pmc/blobs/57ec/9509581/6f8fca517af8/12884_2022_5043_Fig8_HTML.jpg
https://cdn.ncbi.nlm.nih.gov/pmc/blobs/57ec/9509581/391340733676/12884_2022_5043_Fig1_HTML.jpg
https://cdn.ncbi.nlm.nih.gov/pmc/blobs/57ec/9509581/85a838637aa5/12884_2022_5043_Fig2_HTML.jpg
https://cdn.ncbi.nlm.nih.gov/pmc/blobs/57ec/9509581/5fe511918083/12884_2022_5043_Fig4_HTML.jpg
https://cdn.ncbi.nlm.nih.gov/pmc/blobs/57ec/9509581/6b502415b5fc/12884_2022_5043_Fig5_HTML.jpg
https://cdn.ncbi.nlm.nih.gov/pmc/blobs/57ec/9509581/dbeecac0c615/12884_2022_5043_Fig7_HTML.jpg
https://cdn.ncbi.nlm.nih.gov/pmc/blobs/57ec/9509581/6f8fca517af8/12884_2022_5043_Fig8_HTML.jpg

相似文献

1
Use of convalescent plasma in pregnant women with early stage COVID-19 infection in a tertiary care hospital in Dubai, February to March 2021: a case series study.2021 年 2 月至 3 月,在迪拜一家三级保健医院,使用恢复期血浆治疗处于 COVID-19 感染早期阶段的孕妇:病例系列研究。
BMC Pregnancy Childbirth. 2022 Sep 25;22(1):730. doi: 10.1186/s12884-022-05043-w.
2
Reconvalescent plasma/camostat mesylate in early SARS-CoV-2 Q-PCR positive high-risk individuals (RES-Q-HR): a structured summary of a study protocol for a randomized controlled trial.恢复期血浆/甲磺酸卡莫司他用于早期SARS-CoV-2 Q-PCR阳性高危个体(RES-Q-HR):一项随机对照试验研究方案的结构化总结
Trials. 2021 May 17;22(1):343. doi: 10.1186/s13063-021-05181-0.
3
Randomized clinical trial to evaluate safety and efficacy of convalescent plasma use among hospitalized patients with COVID-19 (PERUCONPLASMA): a structured summary of a study protocol for a randomized controlled trial.随机临床试验评估 COVID-19 住院患者使用恢复期血浆的安全性和疗效(PERUCONPLASMA):一项随机对照试验研究方案的结构化总结。
Trials. 2021 May 17;22(1):342. doi: 10.1186/s13063-021-05189-6.
4
Covid-19 infection in pregnant women in Dubai: a case-control study.迪拜孕妇的新冠病毒感染:一项病例对照研究。
BMC Pregnancy Childbirth. 2021 Sep 28;21(1):658. doi: 10.1186/s12884-021-04130-8.
5
Convalescent plasma or hyperimmune immunoglobulin for people with COVID-19: a rapid review.新冠康复者血浆或超免疫球蛋白用于新冠患者:快速综述
Cochrane Database Syst Rev. 2020 May 14;5(5):CD013600. doi: 10.1002/14651858.CD013600.
6
Convalescent plasma transfusion therapy in severe COVID-19 patients- a safety, efficacy and dose response study: A structured summary of a study protocol of a phase II randomized controlled trial.重症 COVID-19 患者恢复期血浆输血治疗——一项安全性、有效性和剂量反应研究:一项 II 期随机对照试验研究方案的结构化总结
Trials. 2020 Oct 26;21(1):883. doi: 10.1186/s13063-020-04734-z.
7
Evaluating the efficacy and safety of human anti-SARS-CoV-2 convalescent plasma in severely ill adults with COVID-19: A structured summary of a study protocol for a randomized controlled trial.评估人抗 SARS-CoV-2 恢复期血浆在 COVID-19 重症成人中的疗效和安全性:一项随机对照试验研究方案的结构化总结。
Trials. 2020 Jun 8;21(1):499. doi: 10.1186/s13063-020-04422-y.
8
Outcome of SARS CoV-2 inpatients treated with convalescent plasma: One-year of data from the Veneto region (Italy) Registry.恢复期血浆治疗的 SARS-CoV-2 住院患者的结局:来自威尼托地区(意大利)登记处的一年数据。
Eur J Intern Med. 2022 Mar;97:42-49. doi: 10.1016/j.ejim.2021.12.023. Epub 2021 Dec 27.
9
Convalescent plasma in hospitalized pediatric and obstetric coronavirus disease 2019 (COVID-19) patients.COVID-19 患儿和孕产妇住院患者恢复期血浆治疗。
Pediatr Int. 2022 Jan;64(1):e15407. doi: 10.1111/ped.15407.
10
A Randomized Open label Phase-II Clinical Trial with or without Infusion of Plasma from Subjects after Convalescence of SARS-CoV-2 Infection in High-Risk Patients with Confirmed Severe SARS-CoV-2 Disease (RECOVER): A structured summary of a study protocol for a randomised controlled trial.一项针对高风险确诊严重 SARS-CoV-2 疾病患者的随机开放标签 II 期临床试验,比较 SARS-CoV-2 感染后恢复期患者输注血浆与未输注血浆的疗效(RECOVER):一项随机对照试验的研究方案的结构化总结。
Trials. 2020 Oct 6;21(1):828. doi: 10.1186/s13063-020-04735-y.

本文引用的文献

1
An evaluation of the results of convalescent plasma therapy applied to pregnant women diagnosed as COVID-19- positive in a pandemic center: A prospective cohort study.对在一家大流行疾病中心被诊断为新冠病毒阳性的孕妇应用恢复期血浆疗法的结果评估:一项前瞻性队列研究。
Turk J Med Sci. 2022 Jun;52(3):554-564. doi: 10.55730/1300-0144.5346. Epub 2022 Jun 16.
2
COVID-19 Convalescent Plasma and Clinical Trials: Understanding Conflicting Outcomes.COVID-19 恢复期血浆与临床试验:解读相悖的结果
Clin Microbiol Rev. 2022 Sep 21;35(3):e0020021. doi: 10.1128/cmr.00200-21. Epub 2022 Mar 9.
3
Convalescent Plasma Treatment in Patients with Covid-19: A Systematic Review and Meta-Analysis.
Covid-19 患者恢复期血浆治疗:系统评价和荟萃分析。
Front Immunol. 2022 Feb 7;13:817829. doi: 10.3389/fimmu.2022.817829. eCollection 2022.
4
Convalescent Plasma for Pregnant Women with COVID-19: A Systematic Literature Review.COVID-19 孕妇恢复期血浆:系统文献综述。
Viruses. 2021 Jun 22;13(7):1194. doi: 10.3390/v13071194.
5
Immune Response to COVID-19 During Pregnancy.妊娠期对 COVID-19 的免疫反应。
Front Immunol. 2021 May 3;12:675476. doi: 10.3389/fimmu.2021.675476. eCollection 2021.
6
Potential benefit of convalescent plasma transfusions in immunocompromised patients with COVID-19.恢复期血浆输注对免疫功能低下的COVID-19患者的潜在益处。
Lancet Microbe. 2021 Apr;2(4):e138. doi: 10.1016/S2666-5247(21)00030-6. Epub 2021 Mar 30.
7
COVID-19 convalescent plasma: Interim recommendations from the AABB.新型冠状病毒肺炎康复者血浆:美国血库协会临时建议
Transfusion. 2021 Apr;61(4):1313-1323. doi: 10.1111/trf.16328. Epub 2021 Mar 7.
8
Clinical and laboratory findings of COVID-19: A systematic review and meta-analysis.新型冠状病毒肺炎的临床和实验室研究结果:系统评价和荟萃分析。
J Formos Med Assoc. 2021 Sep;120(9):1706-1718. doi: 10.1016/j.jfma.2020.12.003. Epub 2020 Dec 15.
9
Convalescent plasma treatment of severe COVID-19: a propensity score-matched control study.恢复期血浆治疗重症 COVID-19:一项倾向评分匹配对照研究。
Nat Med. 2020 Nov;26(11):1708-1713. doi: 10.1038/s41591-020-1088-9. Epub 2020 Sep 15.
10
Clinical manifestations, risk factors, and maternal and perinatal outcomes of coronavirus disease 2019 in pregnancy: living systematic review and meta-analysis.妊娠期 2019 年冠状病毒病的临床表现、危险因素和母婴围产结局:系统评价的实时更新和荟萃分析。
BMJ. 2020 Sep 1;370:m3320. doi: 10.1136/bmj.m3320.