Division of Gastroenterology and Hepatology, Department of Medicine, Northwestern University Feinberg School of Medicine, Chicago, IL, USA.
Division of Gastroenterology and Hepatology, Department of Medicine, Northwestern University Feinberg School of Medicine, Chicago, IL, USA.
J Lipid Res. 2022 Nov;63(11):100289. doi: 10.1016/j.jlr.2022.100289. Epub 2022 Sep 24.
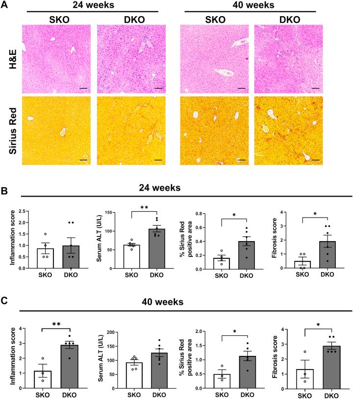
FXR regulates bile acid metabolism, and FXR null (Fxr) mice have elevated bile acid levels and progressive liver injury. The inositol-requiring enzyme 1α/X-box binding protein 1 (XBP1) pathway is a protective unfolded protein response pathway activated in response to endoplasmic reticulum stress. Here, we sought to determine the role of the inositol-requiring enzyme 1α/XBP1 pathway in hepatic bile acid toxicity using the Fxr mouse model. Western blotting and quantitative PCR analysis demonstrated that hepatic XBP1 and other unfolded protein response pathways were activated in 24-week-old Fxr compared with 10-week-old Fxr mice but not in WT mice. To further determine the role of the liver XBP1 activation in older Fxr mice, we generated mice with whole-body FXR and liver-specific XBP1 double KO (DKO, FxrXbp1) and FxrXbp1 single KO (SKO) mice and characterized the role of hepatic XBP1 in cholestatic liver injury. Histologic staining demonstrated increased liver injury and fibrosis in DKO compared with SKO mice. RNA sequencing revealed increased gene expression in apoptosis, inflammation, and cell proliferation pathways in DKO mice. The proapoptotic C/EBP-homologous protein pathway and cell cycle marker cyclin D1 were also activated in DKO mice. Furthermore, we found that total hepatic bile acid levels were similar between the two genotypes. At age 60 weeks, all DKO mice and no SKO mice spontaneously developed liver tumors. In conclusion, the hepatic XBP1 pathway is activated in older Fxr mice and has a protective role. The potential interaction between XBP1 and FXR signaling may be important in modulating the hepatocellular cholestatic stress responses.
FXR 调节胆汁酸代谢,而 FXR 缺失(Fxr)小鼠的胆汁酸水平升高且进行性肝损伤。肌醇需求酶 1α/X 盒结合蛋白 1(XBP1)途径是一种在应对内质网应激时被激活的保护性未折叠蛋白反应途径。在这里,我们试图使用 Fxr 小鼠模型来确定肌醇需求酶 1α/XBP1 途径在肝胆汁酸毒性中的作用。Western blot 和定量 PCR 分析表明,与 10 周龄 Fxr 小鼠相比,24 周龄 Fxr 小鼠的肝 XBP1 和其他未折叠蛋白反应途径被激活,但 WT 小鼠没有被激活。为了进一步确定老年 Fxr 小鼠中肝 XBP1 激活的作用,我们生成了全身 FXR 和肝特异性 XBP1 双重敲除(DKO,FxrXbp1)和 FxrXbp1 单敲除(SKO)小鼠,并研究了肝 XBP1 在胆汁淤积性肝损伤中的作用。组织学染色表明,与 SKO 小鼠相比,DKO 小鼠的肝损伤和纤维化增加。RNA 测序显示,DKO 小鼠中凋亡、炎症和细胞增殖途径的基因表达增加。DKO 小鼠中的促凋亡 C/EBP 同源蛋白途径和细胞周期标志物 cyclin D1 也被激活。此外,我们发现两种基因型之间的总肝胆汁酸水平相似。在 60 周龄时,所有 DKO 小鼠均自发发生肝肿瘤,而没有 SKO 小鼠发生肝肿瘤。总之,老年 Fxr 小鼠的肝 XBP1 途径被激活,并具有保护作用。XBP1 和 FXR 信号之间的潜在相互作用可能在调节肝细胞胆汁淤积应激反应中很重要。