Suppr超能文献

左颈总动脉缺如,颈外动脉和颈内动脉分别起自主动脉弓:强直性脊柱炎患者中的罕见病例

Left Common Carotid Artery Agenesis With Independent Origins of the External and Internal Carotid Arteries From the Aortic Arch: A Rare Case in a Patient With Ankylosing Spondylitis.

作者信息

AlAni Ahmed M, Al-Ekeer Ahmad N, Kolleri Jouhar J, Omer Maki Abdalla

机构信息

Radiology Department, Hamad General Hospital, Doha, QAT.

Clinical Imaging Department, Hamad Medical Corporation, Doha, QAT.

出版信息

Cureus. 2022 Aug 26;14(8):e28456. doi: 10.7759/cureus.28456. eCollection 2022 Aug.

Abstract

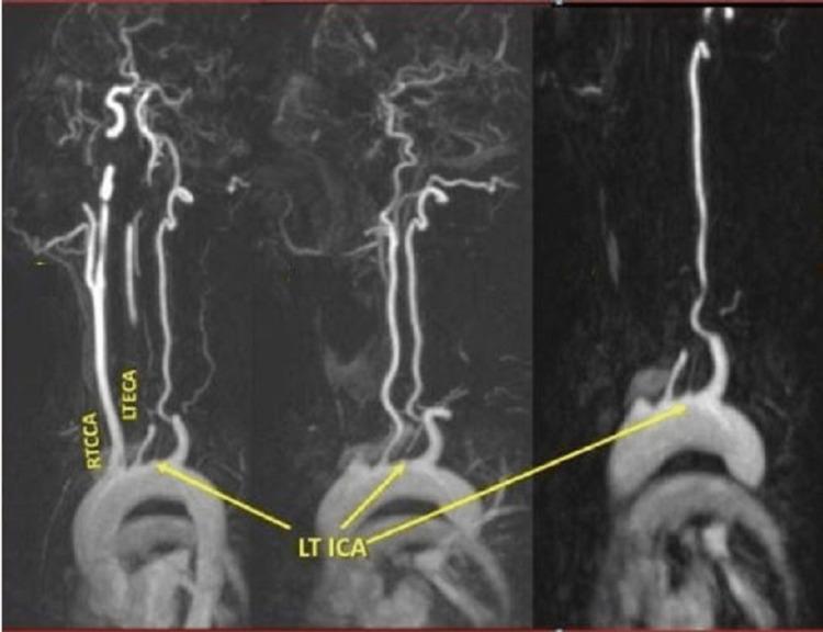
The agenesis of the left common carotid artery, with independent origins of the external and internal carotid arteries from the aortic arch, is a well-described but extremely rare congenital anomaly. We present a case of agenesis of the left common carotid artery with the independent origin of the left internal and left external arteries from the arch of the aorta in a patient with ankylosing spondylitis which was depicted by CT angiogram and magnetic resonance angiography. The diagnosis of this anatomical variant especially before interventional procedures is of great importance, as it could complicate the catheterization of these arteries.

摘要

左颈总动脉缺如,颈外动脉和颈内动脉分别独立起自主动脉弓,是一种已被充分描述但极为罕见的先天性异常。我们报告一例患有强直性脊柱炎的患者,其左颈总动脉缺如,左颈内动脉和左颈外动脉分别独立起自主动脉弓,通过CT血管造影和磁共振血管造影得以显示。诊断这种解剖变异,尤其是在进行介入操作之前,非常重要,因为这可能会使这些动脉的插管复杂化。

https://cdn.ncbi.nlm.nih.gov/pmc/blobs/4c28/9512318/dfe19be20f53/cureus-0014-00000028456-i01.jpg

文献AI研究员

20分钟写一篇综述,助力文献阅读效率提升50倍。

立即体验

用中文搜PubMed

大模型驱动的PubMed中文搜索引擎

马上搜索

文档翻译

学术文献翻译模型,支持多种主流文档格式。

立即体验