Suppr超能文献

节段性冷冻自体骨移植在四肢骨肿瘤切除后骨缺损中的应用

Intercalary frozen autografts for reconstruction of bone defects following meta-/diaphyseal tumor resection at the extremities.

机构信息

Department of Pathology, The Second Hospital of Shandong University, Jinan, Shandong, China.

Department of Orthopaedics, Shandong Provincial Hospital Affiliated to Shandong First Medical University, No. 324, Jingwu Road, 250021, Jinan, Shandong, China.

出版信息

BMC Musculoskelet Disord. 2022 Sep 30;23(1):890. doi: 10.1186/s12891-022-05840-6.

Abstract

BACKGROUND

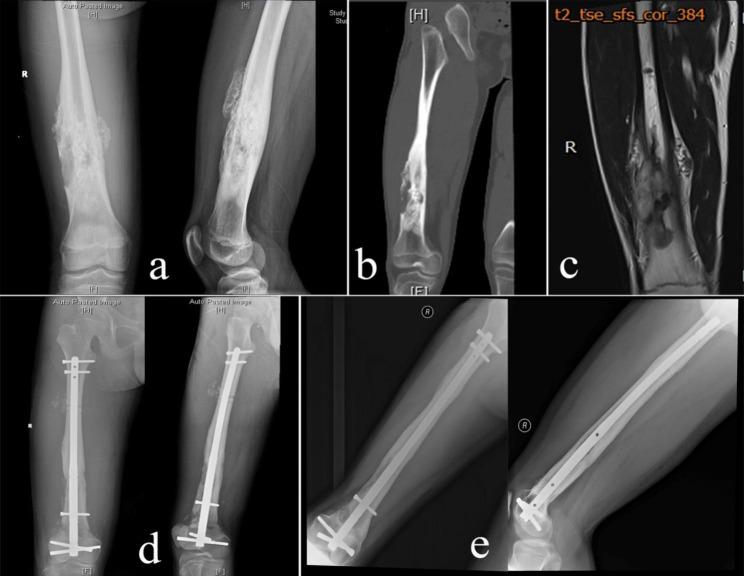
For patients with malignant limb tumors, salvage surgery can be achieved using endoprosthesis or biological reconstructions like allograft or autograft. In carefully selected patients, resected bone can be recycled after sterilization using methods like autoclaving, irradiation, pasteurization or freezing with liquid nitrogen. We evaluated the clinical outcome and complications of malignant limb tumors treated with intercalary resection and frozen autograft reconstruction.

METHODS

We reviewed 33 patients whose malignant bone tumors were treated by wide resection and reconstruction with recycling liquid nitrogen-treated autografts between 2006 and 2017. Limb function, bone union at the osteotomy site and complications were evaluated. Functional outcome was assessed using the Musculoskeletal Tumor Society (MSTS) scoring system.

RESULTS

The cohort comprised 16 males and 17 females, with a mean age of 35.4 years (14-76 years). The most common tumor was osteosarcoma (7 cases). Tumors were located in the humerus (5), ulna (1), femur (10) and tibia (17). The mean follow-up was 49.9 months (range 12-127 months). Of the 33 patients, 16 remained disease-free, and 3 were alive with disease. The mean size of the defect after tumor resection was 11.6 cm (range 6-25 cm). Bone union was achieved in 32 patients, with a mean union time of 8.8 months (range 4-18 months). Complications included 1 graft nonunion, 2 infections (1 superficial, 1 deep infection), 1 leg length discrepancy, 2 graft fractures and 3 local recurrences. The mean MSTS score was 87.2% (range 70-100%).

CONCLUSION

Liquid nitrogen-treated tumor-bearing autograft is an effective option for biological reconstruction after meta-/diaphyseal tumor resection of long bones. This method has excellent clinical outcomes and is especially recommended for patients with no severe osteolytic bone tumors.

摘要

背景

对于患有恶性肢体肿瘤的患者,可通过使用假体或同种异体或自体等生物重建来实现保肢手术。在经过精心选择的患者中,切除的骨头可以在经过消毒后使用高压灭菌、辐照、巴氏消毒或液氮冷冻等方法进行回收利用。我们评估了采用节段性切除和冷冻自体骨重建治疗恶性肢体肿瘤的临床结果和并发症。

方法

我们回顾了 2006 年至 2017 年间,33 例接受广泛切除和使用回收的液氮处理自体骨重建的恶性骨肿瘤患者。评估了肢体功能、骨切开部位的骨愈合和并发症。使用肌肉骨骼肿瘤学会(MSTS)评分系统评估功能结果。

结果

该队列包括 16 名男性和 17 名女性,平均年龄为 35.4 岁(14-76 岁)。最常见的肿瘤是骨肉瘤(7 例)。肿瘤位于肱骨(5 例)、尺骨(1 例)、股骨(10 例)和胫骨(17 例)。平均随访时间为 49.9 个月(范围 12-127 个月)。33 例患者中,16 例无疾病,3 例有疾病但存活。肿瘤切除后缺损的平均大小为 11.6cm(范围 6-25cm)。32 例患者实现了骨愈合,平均愈合时间为 8.8 个月(范围 4-18 个月)。并发症包括 1 例移植物骨不连、2 例感染(1 例浅表感染,1 例深部感染)、1 例肢体长度差异、2 例移植物骨折和 3 例局部复发。平均 MSTS 评分为 87.2%(范围 70-100%)。

结论

液氮处理的含肿瘤自体骨是长骨骨干/干骺端肿瘤切除后生物重建的有效选择。这种方法具有出色的临床结果,特别推荐用于无严重溶骨性骨肿瘤的患者。

https://cdn.ncbi.nlm.nih.gov/pmc/blobs/6a73/9526247/ea063d97fcaa/12891_2022_5840_Fig1_HTML.jpg

相似文献

5
Are Vascularized Fibula Autografts a Long-lasting Reconstruction After Intercalary Resection of the Humerus for Primary Bone Tumors?
Clin Orthop Relat Res. 2023 Nov 1;481(11):2185-2197. doi: 10.1097/CORR.0000000000002739. Epub 2023 Jun 26.
7
Outcomes of a Modular Intercalary Endoprosthesis as Treatment for Segmental Defects of the Femur, Tibia, and Humerus.
Clin Orthop Relat Res. 2016 Feb;474(2):539-48. doi: 10.1007/s11999-015-4588-z.
8
Is the Induced-membrane Technique Successful for Limb Reconstruction After Resecting Large Bone Tumors in Children?
Clin Orthop Relat Res. 2015 Jun;473(6):2067-75. doi: 10.1007/s11999-015-4164-6. Epub 2015 Jan 30.

引用本文的文献

1
Intercalary Diaphyseal Endoprosthetic Reconstruction.
J Am Acad Orthop Surg Glob Res Rev. 2025 Jul 2;9(7). doi: 10.5435/JAAOSGlobal-D-24-00201. eCollection 2025 Jul 1.
4
[Research progress in repair and reconstruction of tumor-related bone defects in proximal femur].
Zhongguo Xiu Fu Chong Jian Wai Ke Za Zhi. 2024 Oct 15;38(10):1269-1275. doi: 10.7507/1002-1892.202404018.
5
Does liquid nitrogen recycled autograft for treatment of bone sarcoma impact local recurrence rate? A systematic review.
J Bone Oncol. 2024 Aug 8;48:100628. doi: 10.1016/j.jbo.2024.100628. eCollection 2024 Oct.
9
Frozen inactivated autograft replantation for bone and soft tissue sarcomas.
Front Oncol. 2024 Feb 23;14:1278237. doi: 10.3389/fonc.2024.1278237. eCollection 2024.
10
Inactivation and replantation of the knee joint: an infeasible surgical method.
World J Surg Oncol. 2024 Jan 25;22(1):33. doi: 10.1186/s12957-024-03311-x.

本文引用的文献

1
Surgical treatment of bone metastasis from osteophilic cancer. Results in 401 peripheral and spinal locations.
Orthop Traumatol Surg Res. 2022 Jun;108(4):103193. doi: 10.1016/j.otsr.2021.103193. Epub 2021 Dec 22.
2
Intercalary reconstruction of the distal femur with or without physeal preservation: results and impact on limb growth.
Eur J Orthop Surg Traumatol. 2022 Dec;32(8):1651-1659. doi: 10.1007/s00590-021-03149-z. Epub 2021 Oct 21.
4
Leg Length Discrepancy- Treatment Indications and Strategies.
Dtsch Arztebl Int. 2020 Jun 12;117(24):405-411. doi: 10.3238/arztebl.2020.0405.
5
Intercalary Allograft to Reconstruct Large-Segment Diaphysis Defects After Resection of Lower Extremity Malignant Bone Tumor.
Cancer Manag Res. 2020 Jun 8;12:4299-4308. doi: 10.2147/CMAR.S257564. eCollection 2020.
6
Intercalary bone graft of the tibia: case series and review of the literature.
Eur J Orthop Surg Traumatol. 2020 Dec;30(8):1421-1427. doi: 10.1007/s00590-020-02718-y. Epub 2020 Jun 19.
7
Limb Salvage Using Liquid Nitrogen-Treated Tumour-Bearing Autograft: A Single Institutional Experience of 10 Patients.
Indian J Orthop. 2020 Jan 13;54(2):200-207. doi: 10.1007/s43465-019-00001-9. eCollection 2020 Apr.

文献AI研究员

20分钟写一篇综述,助力文献阅读效率提升50倍。

立即体验

用中文搜PubMed

大模型驱动的PubMed中文搜索引擎

马上搜索

文档翻译

学术文献翻译模型,支持多种主流文档格式。

立即体验