Suppr超能文献

磷酸甘油酸变位酶 1 是糖酵解的必需酶,可能成为预测胃癌患者预后不良的新的代谢靶点。

Phosphoglycerate mutase 1 that is essential for glycolysis may act as a novel metabolic target for predicating poor prognosis for patients with gastric cancer.

机构信息

Institute of Basic Medicine and Forensic Medicine, North Sichuan Medical College, Nanchong, China.

Department of Biochemistry and Molecular Biology, School of Preclinical Medicine and Forensic Medicine, North Sichuan Medical College, Nanchong, China.

出版信息

J Clin Lab Anal. 2022 Nov;36(11):e24718. doi: 10.1002/jcla.24718. Epub 2022 Sep 30.

Abstract

BACKGROUND

To identify a novel marker for gastric cancer, we examined the usefulness of phosphoglycerate mutase 1 (PGAM1) as a potential diagnostic marker using isobaric tags for relative and absolute quantitation (iTRAQ)-based quantitative proteomics and evaluated its clinical significance.

METHODS

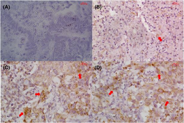
Proteins from a discovery group of four paired gastric cancer tissues and adjacent gastric tissues were labeled with iTRAQ reagents and then identified and quantified using LC-MS/MS. The expression of PGAM1 was further validated in 139 gastric cancer patients using immunohistochemistry. Furthermore, the correlation of PGAM1 expression with clinical parameters was analyzed. Gene set enrichment analysis (GSEA) was performed to identify gene sets that were activated in PGAM1-overexpressing patients with gastric cancer.

RESULTS

PGAM1 was significantly overexpressed in most cancers but particularly so in gastric cancer, with a sensitivity of 82.01% (95% confidence interval [CI]: 75.5%-88.5%) and specificity of 79.13% (95% CI: 72.3%-86%). Its expression was significantly associated with histological grade II and III tumors (p = 0.033), lymph node metastasis (p = 0.031), and TNM III-IV staging (p = 0.025). The area under the receiver operating characteristic (ROC) curve for the detection of PGAM1 overexpression in gastric cancer was 0.718 (p < 0.01). Furthermore, GSEA revealed that several important pathways such as glycolysis pathway and immune pathways were significantly enriched in patients with gastric cancer with PGAM1 overexpression.

CONCLUSIONS

This study provided a sensitive method for detecting PGAM1, which may serve as a novel indicator for poor prognosis of gastric cancer, as well as a potent drug target for gastric cancer.

摘要

背景

为了鉴定胃癌的新型标志物,我们使用基于等重标记相对和绝对定量技术(iTRAQ)的定量蛋白质组学方法研究了磷酸甘油酸变位酶 1(PGAM1)作为潜在诊断标志物的效用,并评估了其临床意义。

方法

采用 iTRAQ 试剂对 4 对胃癌组织及其配对的癌旁组织的蛋白质进行标记,然后使用 LC-MS/MS 进行鉴定和定量。采用免疫组织化学法进一步验证了 139 例胃癌患者中 PGAM1 的表达情况。此外,分析了 PGAM1 表达与临床参数的相关性。进行基因集富集分析(GSEA)以鉴定在胃癌中 PGAM1 过表达患者中被激活的基因集。

结果

PGAM1 在大多数癌症中均显著过表达,在胃癌中尤其如此,其灵敏度为 82.01%(95%置信区间[CI]:75.5%-88.5%),特异性为 79.13%(95% CI:72.3%-86.0%)。其表达与组织学分级 II 和 III 肿瘤(p=0.033)、淋巴结转移(p=0.031)和 TNM III-IV 分期(p=0.025)显著相关。用于检测胃癌中 PGAM1 过表达的受试者工作特征(ROC)曲线下面积为 0.718(p<0.01)。此外,GSEA 显示,在 PGAM1 过表达的胃癌患者中,糖酵解途径和免疫途径等几个重要途径显著富集。

结论

本研究提供了一种检测 PGAM1 的敏感方法,它可能成为胃癌预后不良的新型标志物,也是胃癌的潜在药物靶点。

https://cdn.ncbi.nlm.nih.gov/pmc/blobs/7798/9701862/29a7877489b3/JCLA-36-e24718-g005.jpg

文献AI研究员

20分钟写一篇综述,助力文献阅读效率提升50倍。

立即体验

用中文搜PubMed

大模型驱动的PubMed中文搜索引擎

马上搜索

文档翻译

学术文献翻译模型,支持多种主流文档格式。

立即体验