Suppr超能文献

特纳综合征与支气管扩张症罕见巧合:一例报告

A rare coincidence of Turner syndrome and bronchiectasis: A case report.

作者信息

Almoshantaf Mohammad Bader, Swed Sarya, Ezzdean Weaam, Kashkash Fateh, Ghaith Hazem S, Sawaf Bisher, Motawea Karam R

机构信息

Department of Neurosurgery Ibn Al-Nafess Hospital Damascus Syria.

Faculty of Medicine Aleppo University Aleppo Syria.

出版信息

Clin Case Rep. 2022 Sep 23;10(9):e6378. doi: 10.1002/ccr3.6378. eCollection 2022 Sep.

Abstract

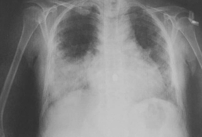
Similar to bronchiectasis, Turner syndrome is possible to have more pathological manifestations or etiologies than what has already been documented. Slower recovery process is expected when treating a patient with several comorbidities like Turner syndrome. Turner syndrome patients are vulnerable and should be extensively monitored to lower late presentation rates.

摘要

与支气管扩张症相似,特纳综合征可能具有比已记录的更多的病理表现或病因。在治疗患有特纳综合征等多种合并症的患者时,预计恢复过程会较慢。特纳综合征患者较为脆弱,应进行广泛监测以降低晚期发病率。

https://cdn.ncbi.nlm.nih.gov/pmc/blobs/a360/9500422/e69b6531858d/CCR3-10-e6378-g001.jpg

文献AI研究员

20分钟写一篇综述,助力文献阅读效率提升50倍。

立即体验

用中文搜PubMed

大模型驱动的PubMed中文搜索引擎

马上搜索

文档翻译

学术文献翻译模型,支持多种主流文档格式。

立即体验