Suppr超能文献

49,XXXXY综合征:一项伊朗人群临床特征的病例研究及系统评价

49,XXXXY syndrome: A case study and a systematic review of clinical features among the Iranian population.

作者信息

Rajabzadeh Mahboubeh, Taheri Nafiseh, Jazayeri Omid

机构信息

Razi Pathobiology Diagnostic Laboratory Department of Genetics Babol Iran.

Department of Molecular and Cell Biology, Faculty of Science University of Mazandaran Babolsar Iran.

出版信息

Clin Case Rep. 2022 Sep 24;10(9):e6342. doi: 10.1002/ccr3.6342. eCollection 2022 Sep.

Abstract

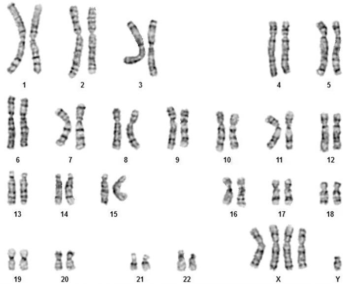
The present study describes the clinical, biochemical, hormonal, and developmental characteristics of a patient affected 49,XXXXY syndrome with routine Fraccaro syndrome features accompanied by sexual masturbation behavior. This study summarized the clinical features and also maternal age on birth time of so far 49,XXXXY reported patients among the Iranian population.

摘要

本研究描述了一名患有49,XXXXY综合征且伴有常规弗拉卡罗综合征特征及性自慰行为的患者的临床、生化、激素和发育特征。本研究总结了伊朗人群中迄今报道的49,XXXXY患者的临床特征以及出生时的母亲年龄。

https://cdn.ncbi.nlm.nih.gov/pmc/blobs/5ebc/9508802/c333ab0375c8/CCR3-10-e6342-g001.jpg

文献AI研究员

20分钟写一篇综述,助力文献阅读效率提升50倍。

立即体验

用中文搜PubMed

大模型驱动的PubMed中文搜索引擎

马上搜索

文档翻译

学术文献翻译模型,支持多种主流文档格式。

立即体验