Cardiology Department, Heart Institute "N. Stăncioiu", 400001 Cluj-Napoca, Romania.
5th Department of Internal Medicine, Faculty of Medicine, "Iuliu Hațieganu" University of Medicine and Pharmacy, 400012 Cluj-Napoca, Romania.
Int J Mol Sci. 2022 Sep 22;23(19):11127. doi: 10.3390/ijms231911127.
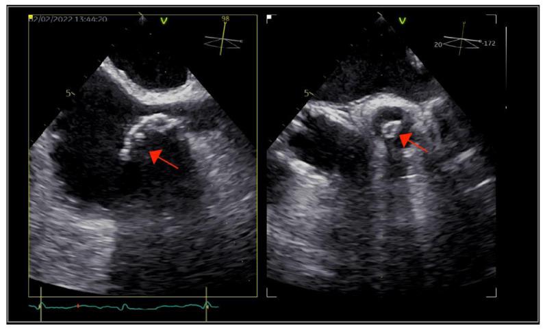
is a rare yet particularly aggressive infective endocarditis pathogen. We describe a case of successfully managed double-valve infective endocarditis, in which the presumed source of bacteremia was a long-term tunneled central venous catheter used for hemodialysis.
是一种罕见但特别侵袭性的感染性心内膜炎病原体。我们描述了一例成功治疗的双瓣膜感染性心内膜炎病例,该病例菌血症的疑似来源是用于血液透析的长期隧道式中心静脉导管。