Department of Nephrology, School of Medicine, Aristotle University of Thessaloniki, General Hospital "Hippokratio", 54642 Thessaloniki, Greece.
Int J Mol Sci. 2022 Sep 29;23(19):11492. doi: 10.3390/ijms231911492.
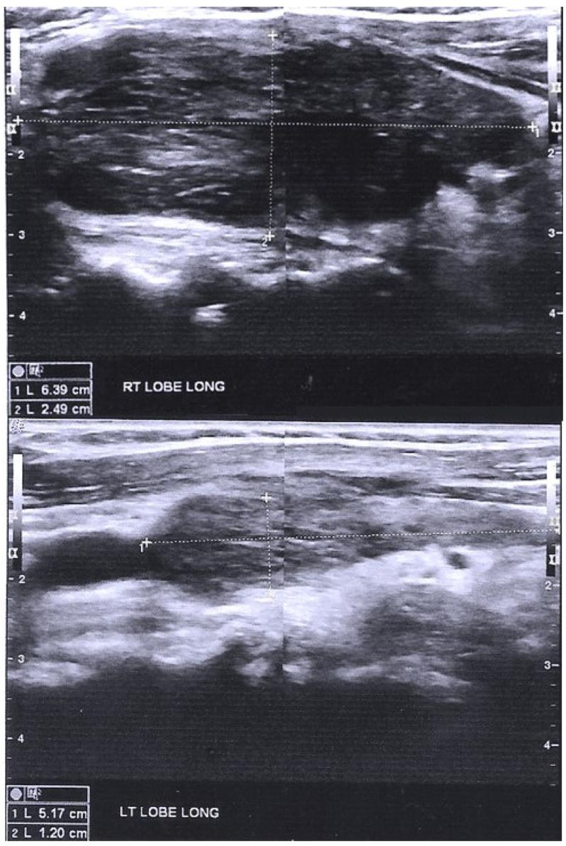
SARS-CoV-2 infection and vaccination have been associated with autoimmune thyroid dysfunctions. Autoimmune/inflammatory syndrome induced by adjuvants (ASIA) and molecular mimicry have been referred to as potential causes. Such a case has not been reported in immunocompromised end-stage renal disease (ESRD) patients. Herein we present two dialysis patients with no previous history of thyroid disease who developed immune mediated thyroid disorders after BNT162b mRNA vaccine against SARS-CoV-2. The first patient is a 29-year-old man on hemodialysis diagnosed with Grave's disease four months post-vaccination and the second one is a 67-year-old female on peritoneal dialysis who developed Hashimoto's thyroiditis two months post-vaccination. Grave's disease is uncommon in dialysis patients, whereas Hashimoto's thyroiditis has a higher incidence in this population. Time proximity in both cases suggests potential causality. To our knowledge, this is the first report of de novo immune-mediated thyroid disorders in dialysis patients following vaccination against SARS-CoV-2.
SARS-CoV-2 感染和疫苗接种与自身免疫性甲状腺功能障碍有关。佐剂诱导的自身免疫/炎症综合征(ASIA)和分子模拟已被认为是潜在的原因。在免疫功能低下的终末期肾脏疾病(ESRD)患者中尚未有此类病例报告。在此,我们报告了两名无甲状腺疾病既往史的透析患者,他们在接种 SARS-CoV-2 的 BNT162b mRNA 疫苗后发生了免疫介导的甲状腺疾病。第一例是一名 29 岁的男性,在接种疫苗后四个月被诊断为格雷夫斯病,第二例是一名 67 岁的女性,在接种疫苗后两个月发生桥本甲状腺炎。在透析患者中,格雷夫斯病并不常见,而桥本甲状腺炎在该人群中的发病率更高。这两种情况在时间上的接近表明可能存在因果关系。据我们所知,这是首例在接种 SARS-CoV-2 疫苗后透析患者新发免疫介导性甲状腺疾病的报告。