Suppr超能文献

起源于纵隔的低级别纤维黏液样肉瘤:病例报告及文献复习

Low-grade fibromyxoid sarcoma arising in the mediastinum: Case report and review of the literature.

作者信息

Aissaoui Rihab, Nasri Siham, Abdelouahab Hajar, Mahjouba Hajar, Aichouni Narjisse, Afkir Said, Kouismi Hatim, Marouf Rachid, Kamaoui Imane, Skiker Imane

机构信息

Department of Radiology, Mohammed VI University Hospital, Faculty of Medicine, University Mohammed First, BP 4806 Oujda University, Oujda 60049, Morocco.

Department of Oncology, Mohammed VI University Hospital, Faculty of Medicine, University Mohammed First, BP 4806 Oujda University, Oujda 60049, Morocco.

出版信息

Radiol Case Rep. 2022 Oct 6;17(12):4814-4817. doi: 10.1016/j.radcr.2022.09.030. eCollection 2022 Dec.

Abstract

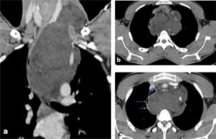
Low-grade fibromyxoid sarcoma (LGFMS) is a rare tumor characterized by bland histological features and aggressive clinical course, it is a distinctive variant of fibrosarcoma with high metastasizing potential and sometimes a long interval between tumor presentation and metastasis, the most common anatomic locations of occurrence are the lower extremities, thorax, inguinal area, and upper limbs, Here, we present the case of a 29-year-old patient with a deceptively benign-appearing mass arising in the mediastinum that had been discovered on computed tomography, a biopsy under cervicotomy was performed and histopathological examination revealed low-grade fibromyxoid sarcoma. In conclusion, LGFMS can arise in the mediastinum, and physicians should consider this entity as a differential diagnosis in the presence of such mass.

摘要

低度纤维黏液样肉瘤(LGFMS)是一种罕见肿瘤,其组织学特征平淡,但临床过程具有侵袭性。它是纤维肉瘤的一种独特变体,具有高转移潜能,有时肿瘤出现与转移之间间隔时间较长。最常见的发病解剖部位是下肢、胸部、腹股沟区和上肢。在此,我们报告一例29岁患者,其纵隔出现一个看似良性的肿块,通过计算机断层扫描发现,经颈部切开活检,组织病理学检查显示为低度纤维黏液样肉瘤。总之,LGFMS可发生于纵隔,医生在遇到此类肿块时应考虑将该实体作为鉴别诊断之一。

https://cdn.ncbi.nlm.nih.gov/pmc/blobs/dd9c/9550846/32a8e8570933/gr1.jpg

文献AI研究员

20分钟写一篇综述,助力文献阅读效率提升50倍。

立即体验

用中文搜PubMed

大模型驱动的PubMed中文搜索引擎

马上搜索

文档翻译

学术文献翻译模型,支持多种主流文档格式。

立即体验