Adam Richard, Herman Mira, Hodges Laura, Duong Tim Q, Fineberg Susan, Roknsharifi Shima
Radiology, Stony Brook University, Stony Brook, USA.
Radiology, Montefiore Medical Center/Albert Einstein College of Medicine, Bronx, USA.
Cureus. 2022 Sep 11;14(9):e29054. doi: 10.7759/cureus.29054. eCollection 2022 Sep.
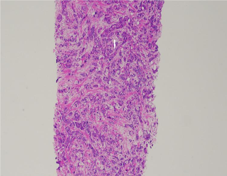
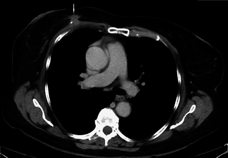
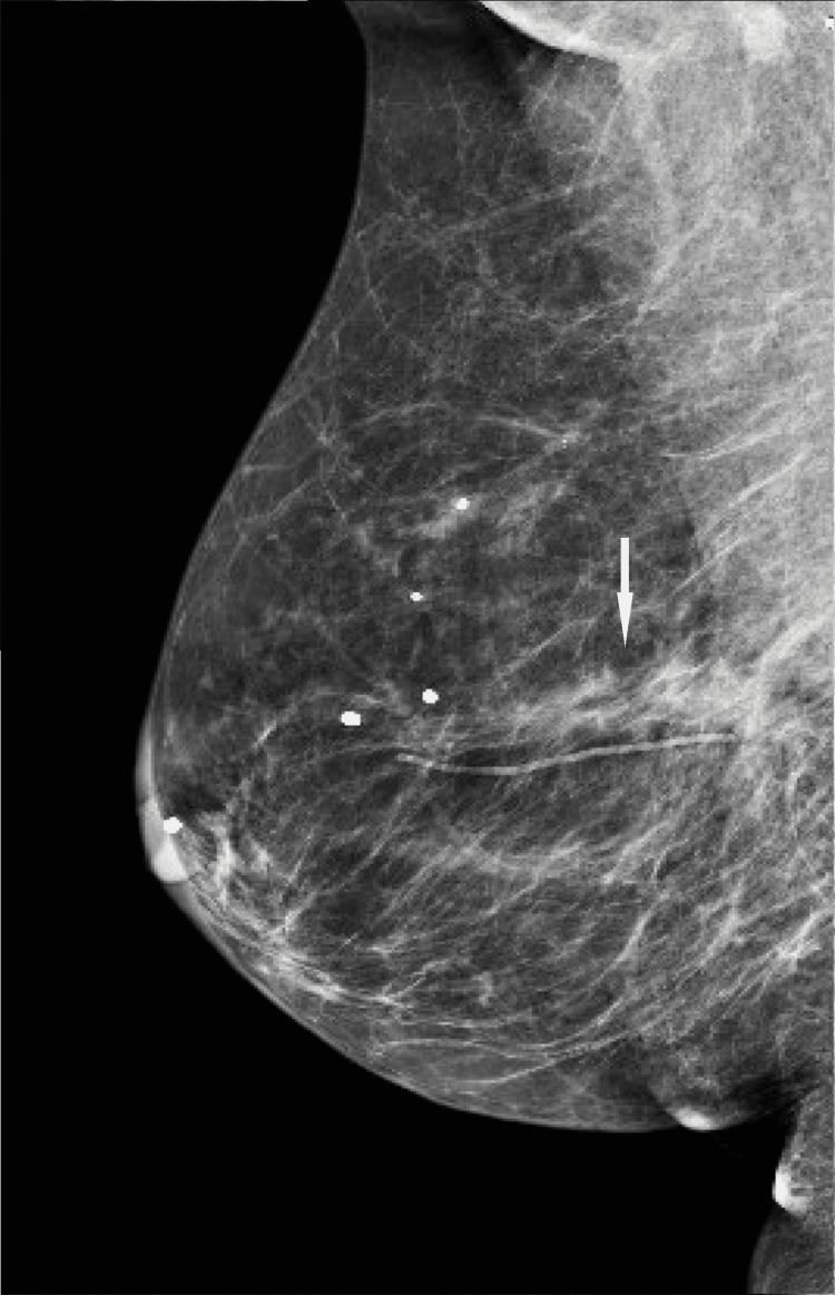
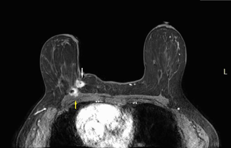
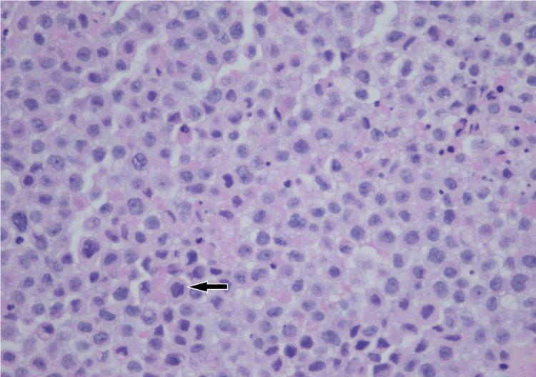
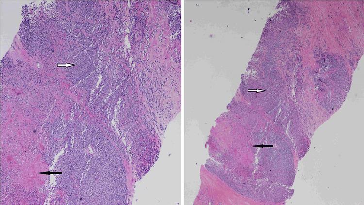
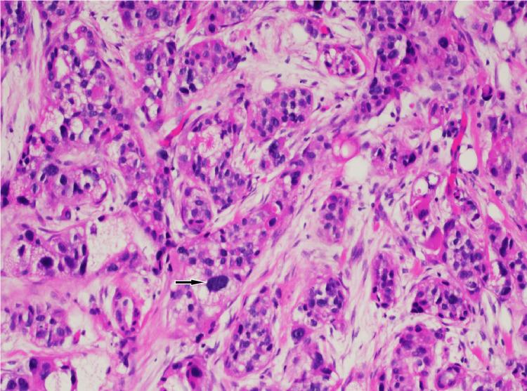
We describe a case of pathology-proven invasive lobular breast cancer (ILC) arising in a scar over 15 years after lumpectomy for previous invasive ductal carcinoma (IDC). The tumor was detected on screening mammography as a new focal asymmetry at the scar site and confirmed at diagnostic mammography. Ultrasound demonstrated an irregular, shadowing, hypoechoic mass at the scar site. Ultrasound-guided biopsy revealed poorly differentiated invasive lobular carcinoma. MRI and CT showed an irregular mass with pectoralis muscle invasion. Multimodality imaging findings are described. This is the first case to our knowledge reporting multimodality imaging findings of a breast cancer developing at the site of a surgical scar that is histologically different from the originally resected cancer.
我们描述了一例经病理证实的浸润性小叶乳腺癌(ILC)病例,该病例发生于先前因浸润性导管癌(IDC)行肿块切除术后15年以上的瘢痕处。肿瘤在筛查乳腺X线摄影中被检测为瘢痕部位新出现的局灶性不对称,并在诊断性乳腺X线摄影中得到证实。超声显示瘢痕部位有一个不规则、有阴影、低回声肿块。超声引导下活检显示为低分化浸润性小叶癌。MRI和CT显示有一个不规则肿块,侵犯胸大肌。描述了多模态成像结果。据我们所知,这是首例报告手术瘢痕部位发生的组织学上与最初切除的癌症不同的乳腺癌的多模态成像结果的病例。