Department Integrative Biology and Pharmacology, McGovern Medical School, University of Texas Health Science Center, Houston, TX, USA.
Institute for Physiology and Pathophysiology, Vegetative Physiology and Marburg Center for Mind, Brain and Behavior MCMBB, Philipps-University of Marburg, Marburg, Germany.
EMBO Rep. 2022 Dec 6;23(12):e55208. doi: 10.15252/embr.202255208. Epub 2022 Oct 18.
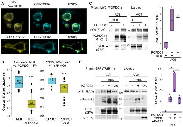
The establishment of macromolecular complexes by scaffolding proteins is key to the local production of cAMP by anchored adenylyl cyclase (AC) and the subsequent cAMP signaling necessary for cardiac functions. We identify a novel AC scaffold, the Popeye domain-containing (POPDC) protein. The POPDC family of proteins is important for cardiac pacemaking and conduction, due in part to their cAMP-dependent binding and regulation of TREK-1 potassium channels. We show that TREK-1 binds the AC9:POPDC1 complex and copurifies in a POPDC1-dependent manner with AC9 activity in heart. Although the AC9:POPDC1 interaction is cAMP-independent, TREK-1 association with AC9 and POPDC1 is reduced upon stimulation of the β-adrenergic receptor (βAR). AC9 activity is required for βAR reduction of TREK-1 complex formation with AC9:POPDC1 and in reversing POPDC1 enhancement of TREK-1 currents. Finally, deletion of the gene-encoding AC9 (Adcy9) gives rise to bradycardia at rest and stress-induced heart rate variability, a milder phenotype than the loss of Popdc1 but similar to the loss of Kcnk2 (TREK-1). Thus, POPDC1 represents a novel adaptor for AC9 interactions with TREK-1 to regulate heart rate control.
支架蛋白形成的大分子复合物对于锚定的腺苷酸环化酶(AC)局部产生 cAMP 以及随后的心脏功能所需的 cAMP 信号传导至关重要。我们确定了一种新型的 AC 支架,即 Popeye 结构域包含蛋白(POPDC)。POPDC 蛋白家族对于心脏起搏和传导很重要,部分原因是它们与 TREK-1 钾通道的 cAMP 依赖性结合和调节有关。我们表明,TREK-1 结合 AC9:POPDC1 复合物,并以 POPDC1 依赖性方式与心脏中的 AC9 活性共纯化。尽管 AC9:POPDC1 相互作用不依赖于 cAMP,但 TREK-1 与 AC9 和 POPDC1 的结合在β肾上腺素能受体(βAR)刺激时减少。AC9 活性对于βAR 减少 TREK-1 与 AC9:POPDC1 的复合物形成以及逆转 POPDC1 增强 TREK-1 电流是必需的。最后,编码 AC9(Adcy9)的基因缺失导致静息时心动过缓和应激诱导的心率变异性,其表型比 Popdc1 缺失更轻,但与 Kcnk2(TREK-1)缺失相似。因此,POPDC1 代表与 TREK-1 相互作用的 AC9 的新型接头,以调节心率控制。