• 文献检索
  • 文档翻译
  • 深度研究
  • 学术资讯
  • Suppr Zotero 插件Zotero 插件
  • 邀请有礼
  • 套餐&价格
  • 历史记录
应用&插件
Suppr Zotero 插件Zotero 插件浏览器插件Mac 客户端Windows 客户端微信小程序
定价
高级版会员购买积分包购买API积分包
服务
文献检索文档翻译深度研究API 文档MCP 服务
关于我们
关于 Suppr公司介绍联系我们用户协议隐私条款
关注我们

Suppr 超能文献

核心技术专利:CN118964589B侵权必究
粤ICP备2023148730 号-1Suppr @ 2026

文献检索

告别复杂PubMed语法,用中文像聊天一样搜索,搜遍4000万医学文献。AI智能推荐,让科研检索更轻松。

立即免费搜索

文件翻译

保留排版,准确专业,支持PDF/Word/PPT等文件格式,支持 12+语言互译。

免费翻译文档

深度研究

AI帮你快速写综述,25分钟生成高质量综述,智能提取关键信息,辅助科研写作。

立即免费体验

upfront放射外科治疗脑肿瘤所致症状性梗阻性脑积水

Upfront Radiosurgery for Treatment of Symptomatic Obstructive Hydrocephalus due to Brain Tumors.

作者信息

Moreira Alejandra, Rodezno Alejandra, Santos David, Telles Adriana, Ramirez Juliana, Lovo Eduardo E

机构信息

Neurosurgery, International Cancer Center, San Salvador, SLV.

Radiosurgery, International Cancer Center, San Salvador, SLV.

出版信息

Cureus. 2022 Sep 13;14(9):e29129. doi: 10.7759/cureus.29129. eCollection 2022 Sep.

DOI:10.7759/cureus.29129
PMID:36258982
原文链接:https://pmc.ncbi.nlm.nih.gov/articles/PMC9560016/
Abstract

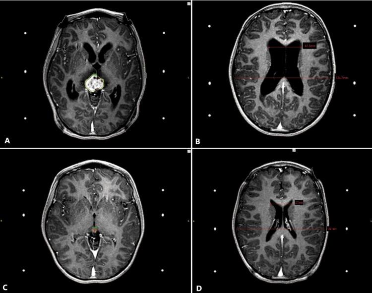
Introduction Hydrocephalus is a build-up of cerebrospinal fluid (CSF) in the brain and is characterized by abnormal dilatation of the cerebral ventricles. Patients can be either asymptomatic, have symptoms related to primary tumors, or have hydrocephalus-related symptoms. Generally, symptomatic patients are candidates for ventriculoperitoneal (VP) shunt placement to reduce acute symptoms. Little evidence exists regarding the resolution of symptomatic hydrocephalus secondary to brain tumors using stereotactic radiosurgery (SRS) alone as a primary treatment option. Methods The present study is a retrospective series of eight patients (six men and two women) diagnosed with obstructive hydrocephalus due to brain tumors treated with radiosurgery between April 2013 and February 2021. The primary endpoint of the present study is to report our institutional experience regarding the control of symptomatic obstructive hydrocephalus due to brain tumors treated with upfront radiosurgery. Results The mean age was 52 years (range, 5-79). The most common presenting symptoms included headache (100%), vision-related symptoms (75%), and ataxia (37.5%). All patients showed symptom improvement after radiosurgery, five (62.5%) patients showed resolution in less than three days and the rest of the patients resolved hydrocephalus in a longer timeframe (more than three days). All patients lowered their Evans index compared to the index documented before radiosurgery, in a range from 0.02 to 0.17. Conclusion Radiosurgery is a non-invasive alternative treatment for primary and secondary brain tumors that debut with obstructive hydrocephalus, tumors expected to have a high alpha/beta ratio might be suitable to attempt radiosurgery to avoid permanently implanted devices such as VP shunts or other invasive procedures such as a third ventriculostomy. The present study demonstrated that in selected cases SRS can lead to hydrocephalus symptom resolution along with a decrease in ventricular size in a relatively short time frame. Little evidence exists regarding the effect of SRS on symptomatic hydrocephalus resolution and further histology-specific studies are required. We acknowledge that this approach requires immediate access to radiosurgery and close clinical follow-up to ensure success.

摘要

引言

脑积水是指脑脊液(CSF)在脑内积聚,其特征为脑室异常扩张。患者可能无症状,或出现与原发性肿瘤相关的症状,亦或有与脑积水相关的症状。一般而言,有症状的患者是脑室腹腔(VP)分流术的候选对象,以减轻急性症状。关于单独使用立体定向放射外科(SRS)作为主要治疗选择来解决继发于脑肿瘤的症状性脑积水,几乎没有证据。

方法

本研究是一项回顾性系列研究,纳入了2013年4月至2021年2月期间接受放射外科治疗的8例因脑肿瘤导致梗阻性脑积水的患者(6例男性和2例女性)。本研究的主要终点是报告我们机构对于采用 upfront 放射外科治疗因脑肿瘤导致的症状性梗阻性脑积水的控制经验。

结果

平均年龄为52岁(范围5 - 79岁)。最常见的首发症状包括头痛(100%)、视力相关症状(75%)和共济失调(37.5%)。放射外科治疗后所有患者症状均有改善,5例(62.5%)患者在不到三天内症状缓解,其余患者在更长时间内(超过三天)脑积水得到缓解。与放射外科治疗前记录的指数相比,所有患者的Evans指数均降低,范围为0.02至0.17。

结论

放射外科是一种针对首发梗阻性脑积水的原发性和继发性脑肿瘤的非侵入性替代治疗方法,预期具有高α/β比值的肿瘤可能适合尝试放射外科治疗,以避免永久性植入装置如VP分流术或其他侵入性手术如第三脑室造瘘术。本研究表明,在特定病例中,SRS可在相对较短的时间内使脑积水症状缓解并使脑室大小减小。关于SRS对症状性脑积水缓解的影响几乎没有证据,需要进一步进行组织学特异性研究。我们承认这种方法需要能够立即进行放射外科治疗并进行密切的临床随访以确保成功。

https://cdn.ncbi.nlm.nih.gov/pmc/blobs/2c82/9560016/c2525aa93bf5/cureus-0014-00000029129-i03.jpg
https://cdn.ncbi.nlm.nih.gov/pmc/blobs/2c82/9560016/0e845ae15cf8/cureus-0014-00000029129-i01.jpg
https://cdn.ncbi.nlm.nih.gov/pmc/blobs/2c82/9560016/a5ca4d2c0d3a/cureus-0014-00000029129-i02.jpg
https://cdn.ncbi.nlm.nih.gov/pmc/blobs/2c82/9560016/c2525aa93bf5/cureus-0014-00000029129-i03.jpg
https://cdn.ncbi.nlm.nih.gov/pmc/blobs/2c82/9560016/0e845ae15cf8/cureus-0014-00000029129-i01.jpg
https://cdn.ncbi.nlm.nih.gov/pmc/blobs/2c82/9560016/a5ca4d2c0d3a/cureus-0014-00000029129-i02.jpg
https://cdn.ncbi.nlm.nih.gov/pmc/blobs/2c82/9560016/c2525aa93bf5/cureus-0014-00000029129-i03.jpg

相似文献

1
Upfront Radiosurgery for Treatment of Symptomatic Obstructive Hydrocephalus due to Brain Tumors.upfront放射外科治疗脑肿瘤所致症状性梗阻性脑积水
Cureus. 2022 Sep 13;14(9):e29129. doi: 10.7759/cureus.29129. eCollection 2022 Sep.
2
Lower rates of symptom recurrence and surgical revision after primary compared with secondary endoscopic third ventriculostomy for obstructive hydrocephalus secondary to aqueductal stenosis in adults.与成人中因导水管狭窄继发梗阻性脑积水行二期内镜下第三脑室造瘘术相比,一期手术症状复发率和手术翻修率更低。
J Neurosurg. 2016 May;124(5):1413-20. doi: 10.3171/2015.4.JNS15129. Epub 2015 Oct 30.
3
The role of Ommaya reservoir and endoscopic third ventriculostomy in the management of post-hemorrhagic hydrocephalus of prematurity.奥马亚贮液器及内镜下第三脑室造瘘术在早产儿出血后脑积水治疗中的作用
Childs Nerv Syst. 2007 Jul;23(7):765-71. doi: 10.1007/s00381-006-0291-4. Epub 2007 Jan 17.
4
Endoscopic third ventriculostomy for treatment of adult hydrocephalus: long-term follow-up of 163 patients.内镜下第三脑室造瘘术治疗成人脑积水:163例患者的长期随访
Neurosurg Focus. 2016 Sep;41(3):E3. doi: 10.3171/2016.6.FOCUS16193.
5
A randomized phase III trial of stereotactic radiosurgery (SRS) versus observation for patients with asymptomatic cerebral oligo-metastases in non-small-cell lung cancer.一项针对非小细胞肺癌无症状性脑寡转移患者立体定向放射外科治疗(SRS)与观察的随机 III 期临床试验。
Ann Oncol. 2015 Apr;26(4):762-768. doi: 10.1093/annonc/mdu584. Epub 2014 Dec 23.
6
Predictors of Hydrocephalus Risk After Stereotactic Radiosurgery for Vestibular Schwannomas: Utility of the Evans Index.前庭神经鞘瘤立体定向放射治疗后脑积水风险的预测因素:埃文斯指数的效用
Neurosurgery. 2025 Mar 1;96(3):650-659. doi: 10.1227/neu.0000000000003140. Epub 2024 Aug 12.
7
Intracranial pressure monitoring and lumbar puncture after endoscopic third ventriculostomy in children.儿童内镜下第三脑室造瘘术后的颅内压监测与腰椎穿刺
Neurosurgery. 2006 Jan;58(1):126-36; discussion 126-36. doi: 10.1227/01.neu.0000195972.48670.86.
8
First 60 fetal in-utero myelomeningocele repairs at Saint Louis Fetal Care Institute in the post-MOMS trial era: hydrocephalus treatment outcomes (endoscopic third ventriculostomy versus ventriculo-peritoneal shunt).在“MOMS”试验后时代,圣路易斯胎儿护理研究所进行的前60例胎儿宫内脊髓脊膜膨出修补术:脑积水治疗结果(内镜下第三脑室造瘘术与脑室腹腔分流术)
Childs Nerv Syst. 2017 Jul;33(7):1157-1168. doi: 10.1007/s00381-017-3428-8. Epub 2017 May 3.
9
Management of hydrocephalus associated with vestibular schwannoma and other cerebellopontine angle tumors.与前庭神经鞘瘤及其他桥小脑角肿瘤相关的脑积水的管理。
Neurosurgery. 2001 Jun;48(6):1246-53; discussion 1253-4. doi: 10.1097/00006123-200106000-00010.
10
Outcomes in patients undergoing single-trajectory endoscopic third ventriculostomy and endoscopic biopsy for midline tumors presenting with obstructive hydrocephalus.接受单轨迹内镜下第三脑室造瘘术及内镜活检治疗伴有梗阻性脑积水的中线肿瘤患者的治疗结果。
J Neurosurg. 2006 Sep;105(3 Suppl):219-26. doi: 10.3171/ped.2006.105.3.219.

本文引用的文献

1
Gamma knife radiosurgery cured hydrocephalus in non-hemorrhagic brain stem arteriovenous malformation.伽玛刀放射外科治疗治愈了非出血性脑干动静脉畸形所致的脑积水。
Radiol Case Rep. 2022 Feb 3;17(4):1076-1081. doi: 10.1016/j.radcr.2022.01.009. eCollection 2022 Apr.
2
Papillary tumor of the pineal region: Is stereotactic radiosurgery efficient for this rare entity?松果体区乳头状肿瘤:立体定向放射外科手术对这种罕见疾病有效吗?
Surg Neurol Int. 2021 Aug 3;12:386. doi: 10.25259/SNI_613_2020. eCollection 2021.
3
Management of Obstructive Hydrocephalus Associated with Pineal Region Cysts and Tumors and Its Implication in Long-Term Outcome.
与松果体区域囊肿和肿瘤相关的梗阻性脑积水的处理及其对长期预后的影响。
World Neurosurg. 2021 May;149:e913-e923. doi: 10.1016/j.wneu.2021.01.078. Epub 2021 Jan 28.
4
Two-staged stereotactic radiosurgery for the treatment of large brain metastases: Single institution experience and review of literature.两阶段立体定向放射外科治疗大脑大转移瘤:单机构经验及文献综述
J Radiosurg SBRT. 2020;7(2):105-114.
5
Frameless radiosurgical third ventriculostomy: Technical report.无框架放射外科第三脑室造瘘术:技术报告。
Surg Neurol Int. 2020 Nov 18;11:398. doi: 10.25259/SNI_247_2020. eCollection 2020.
6
Acute Management of Gamma Knife Radiosurgery for Asymptomatic Obstructive Hydrocephalus Associated with Posterior Fossa Metastases.伽玛刀放射外科治疗无症状性阻塞性脑积水伴后颅窝转移瘤的急性处理。
World Neurosurg. 2020 Dec;144:e714-e722. doi: 10.1016/j.wneu.2020.09.059. Epub 2020 Sep 16.
7
Two-Session Radiosurgery for Large Primary Tumors Affecting the Brain.针对影响脑部的大型原发性肿瘤的两阶段放射外科治疗。
Cureus. 2020 Apr 27;12(4):e7850. doi: 10.7759/cureus.7850.
8
The effect of Gamma Knife radiosurgery on large posterior fossa metastases and the associated mass effect from peritumoral edema.伽玛刀放射外科治疗对后颅窝大型转移瘤及瘤周水肿相关占位效应的影响。
J Neurosurg. 2020 Jan 24;134(2):466-474. doi: 10.3171/2019.11.JNS191485. Print 2021 Feb 1.
9
Two-session Radiosurgery as Initial Treatment for Newly Diagnosed Large, Symptomatic Brain Metastases from Breast and Lung Histology.两阶段放射外科手术作为新诊断的来自乳腺和肺组织学的大型有症状脑转移瘤的初始治疗方法。
Cureus. 2019 Aug 24;11(8):e5472. doi: 10.7759/cureus.5472.
10
Comparison of treatment results between 3- and 2-stage Gamma Knife radiosurgery for large brain metastases: a retrospective multi-institutional study.大型脑转移瘤的3期与2期伽玛刀放射外科治疗结果比较:一项回顾性多机构研究
J Neurosurg. 2018 Sep 7;131(1):227-237. doi: 10.3171/2018.4.JNS172596. Print 2019 Jul 1.