Suppr超能文献

孤立性完全性阴道横隔的处理:一例报告

Management of an isolated complete imperforate transverse vaginal septum: A case report.

作者信息

Barut Adil, Hirsi Zeina Ahmed, Yusuf Khadija

机构信息

Obstetrics and Gynecology Department, Somali-Mogadishu Recep Tayyip Erdoğan Research and Training Hospital, Mogadishu, Somalia.

Obstetrics and Gynecology Department, Somali-Mogadishu Recep Tayyip Erdoğan Research and Training Hospital, Mogadishu, Somalia.

出版信息

Int J Surg Case Rep. 2022 Nov;100:107744. doi: 10.1016/j.ijscr.2022.107744. Epub 2022 Oct 17.

Abstract

INTRODUCTION AND IMPORTANCE

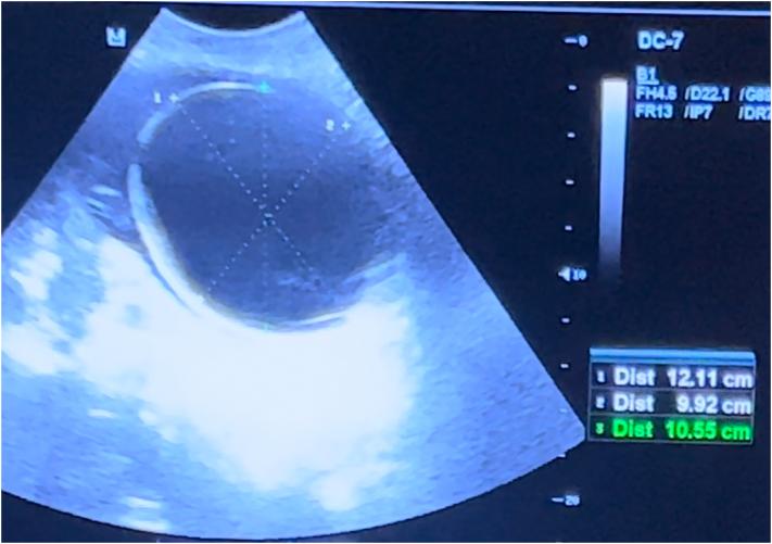
The isolated complete transverse vaginal septum (TVS) is a rare congenital abnormality. Which can completely obstructed the vagina, can cause a hematometrocolpos associated with cyclic severe pelvic pain and primary amenorrhea. Management of this case was discussed.

CASE PRESENTATION

A 14-year-old adelocant girl with primary amenorrhea and severe persistent pelvic pain presented to the gynecology outpatient clinic in our hospital. On pelvic examination, there did not see cervical external os. Radiologic imaging revealed a markedly both fluid intrauterine cavity and upper vaginal canal. The patient underwent general anesthesia, a partial incision of the septum was performed. At discharged time sponge soaked with estrogen cream and 22 number catheter were placed in her vagina to prevent stenosis.

CLINICAL DISCUSSION

Transverse vaginal septum is no symptoms until the age of menarche, and can cause recurrent pelvic pain and amenorrhea. The patient underwent general anesthesia, underwent the partial incision of the septum. Then with end-to-end suturing of the remained vaginal edges, and put urinary 22 number catheter inside the upper vagina for preventing stenosis of the vagina in an operating room.

CONCLUSION

The excision of septum have put catheter for 3 months with estradiol cream to prevent stenosis and failure of the operation. The management can be performed in the transverse vaginal septum, without any complications. This report gave an option in a simple and effective method that allows the gynecologist to treat this case to reach a good result and still needed to follow up in the future.

摘要

引言与重要性

孤立性完全性阴道横隔(TVS)是一种罕见的先天性异常。它可完全阻塞阴道,导致与周期性严重盆腔疼痛和原发性闭经相关的经血潴留。本文讨论了该病例的处理方法。

病例介绍

一名14岁原发性闭经且伴有严重持续性盆腔疼痛的青春期女孩到我院妇科门诊就诊。盆腔检查时未见到宫颈外口。影像学检查显示子宫腔和阴道上段均有明显积液。患者接受全身麻醉,进行了横隔部分切开术。出院时,在其阴道内放置浸有雌激素乳膏的海绵和22号导管以预防狭窄。

临床讨论

阴道横隔在初潮年龄前通常无症状,可导致反复盆腔疼痛和闭经。患者接受全身麻醉,进行了横隔部分切开术。然后在手术室对剩余阴道边缘进行端端缝合,并在上段阴道内放置22号尿管以预防阴道狭窄。

结论

切除横隔并放置导管3个月,同时使用雌二醇乳膏预防狭窄和手术失败。这种处理方法可用于阴道横隔,且无任何并发症。本报告提供了一种简单有效的方法,使妇科医生能够治疗该病例并取得良好效果,未来仍需随访。

https://cdn.ncbi.nlm.nih.gov/pmc/blobs/6b97/9579800/750b18819f56/gr1.jpg

相似文献

1
Management of an isolated complete imperforate transverse vaginal septum: A case report.
Int J Surg Case Rep. 2022 Nov;100:107744. doi: 10.1016/j.ijscr.2022.107744. Epub 2022 Oct 17.
2
Management of a transverse vaginal septum complicated with hematocolpos in an adolescent girl: Case report.
Int J Surg Case Rep. 2020;77:748-752. doi: 10.1016/j.ijscr.2020.11.098. Epub 2020 Nov 20.
3
An unusual case report of transverse vaginal septum presenting as primary amenorrhea.
Int J Surg Case Rep. 2024 Jan;114:109132. doi: 10.1016/j.ijscr.2023.109132. Epub 2023 Dec 8.
4
Secondary amenorrhea attributed to occlusion of microperforate transverse vaginal septum.
Fertil Steril. 2010 Jun;94(1):351.e5-10. doi: 10.1016/j.fertnstert.2009.12.052. Epub 2010 Feb 26.
6
Transverse vaginal septum managed by simple flap surgery technique: A case report.
Int J Surg Case Rep. 2021 Jun;83:105990. doi: 10.1016/j.ijscr.2021.105990. Epub 2021 May 20.
7
Rare Müllerian Anomaly: Complete Septate Uterus with Simultaneous Longitudinal and Transverse Vaginal Septa.
J Pediatr Adolesc Gynecol. 2015 Dec;28(6):e189-91. doi: 10.1016/j.jpag.2015.04.012. Epub 2015 May 9.
8
Aqueous vaginal contrast and scheduled hematocolpos with magnetic resonance imaging to delineate complex müllerian anomalies.
Fertil Steril. 2022 Jan;117(1):221-223. doi: 10.1016/j.fertnstert.2021.08.041. Epub 2021 Sep 20.
9
A Rare Case of Hematometrocolpos due to Transverse Vaginal Septum along with Distal Vaginal Atresia in an Adolescent Girl.
J West Afr Coll Surg. 2024 Jan-Mar;14(1):118-120. doi: 10.4103/jwas.jwas_97_23. Epub 2023 Dec 14.
10
Complete imperforate tranverse vaginal septum with septate uterus: A rare anomaly.
J Hum Reprod Sci. 2013 Jan;6(1):74-6. doi: 10.4103/0974-1208.112387.

引用本文的文献

1
Successful correction of the transverse vaginal septum with a pinhole vaginal foramen using Y-V plasty: A case report.
Case Rep Womens Health. 2024 Mar 27;42:e00598. doi: 10.1016/j.crwh.2024.e00598. eCollection 2024 Jun.

文献AI研究员

20分钟写一篇综述,助力文献阅读效率提升50倍。

立即体验

用中文搜PubMed

大模型驱动的PubMed中文搜索引擎

马上搜索

文档翻译

学术文献翻译模型,支持多种主流文档格式。

立即体验