• 文献检索
  • 文档翻译
  • 深度研究
  • 学术资讯
  • Suppr Zotero 插件Zotero 插件
  • 邀请有礼
  • 套餐&价格
  • 历史记录
应用&插件
Suppr Zotero 插件Zotero 插件浏览器插件Mac 客户端Windows 客户端微信小程序
定价
高级版会员购买积分包购买API积分包
服务
文献检索文档翻译深度研究API 文档MCP 服务
关于我们
关于 Suppr公司介绍联系我们用户协议隐私条款
关注我们

Suppr 超能文献

核心技术专利:CN118964589B侵权必究
粤ICP备2023148730 号-1Suppr @ 2026

文献检索

告别复杂PubMed语法,用中文像聊天一样搜索,搜遍4000万医学文献。AI智能推荐,让科研检索更轻松。

立即免费搜索

文件翻译

保留排版,准确专业,支持PDF/Word/PPT等文件格式,支持 12+语言互译。

免费翻译文档

深度研究

AI帮你快速写综述,25分钟生成高质量综述,智能提取关键信息,辅助科研写作。

立即免费体验

RBCK1 是通过 hippo/YAP 轴抑制三阴性乳腺癌的内源性抑制剂。

RBCK1 is an endogenous inhibitor for triple negative breast cancer via hippo/YAP axis.

机构信息

Xinxiang Key Laboratory of Tumor Migration and Invasion Precision Medicine, School of Laboratory Medicine, Xinxiang Medical University, Xinxiang, 453003, Henan Province, People's Republic of China.

Department of Pathology, Shandong University Qilu Hospital, Cheeloo College of Medicine, Shandong University, Shandong, Shandong Province, People's Republic of China.

出版信息

Cell Commun Signal. 2022 Oct 24;20(1):164. doi: 10.1186/s12964-022-00963-8.

DOI:10.1186/s12964-022-00963-8
PMID:36280829
原文链接:https://pmc.ncbi.nlm.nih.gov/articles/PMC9590148/
Abstract

BACKGROUND

Triple negative breast cancer (TNBC) is one of the most lethal breast cancer subtypes. Due to a lack of effective therapeutic targets, chemotherapy is still the main medical treatment for TNBC patients. Thus, it is important and necessary to find new therapeutic targets for TNBC. Recent genomic studies implicated the Hippo / Yap signal is over activated in TNBC, manifesting it plays a key role in TNBC carcinogenesis and cancer progression. RBCK1 was firstly identified as an important component for linear ubiquitin assembly complex (LUBAC) and facilitates NFKB signaling in immune response. Further studies showed RBCK1 also facilitated luminal type breast cancer growth and endocrine resistance via trans-activation estrogen receptor alpha.

METHODS

RBCK1 and YAP protein expression levels were measured by western blotting, while the mRNA levels of YAP target genes were measured by RT-PCR. RNA sequencing data were analyzed by Ingenuity Pathway Analysis. Identification of Hippo signaling activity was accomplished with luciferase assays, RT-PCR and western blotting. Protein stability assays and ubiquitin assays were used to detect YAP protein degradation. Ubiquitin-based immunoprecipitation assays were used to detect the specific ubiquitination modification on the YAP protein.

RESULTS

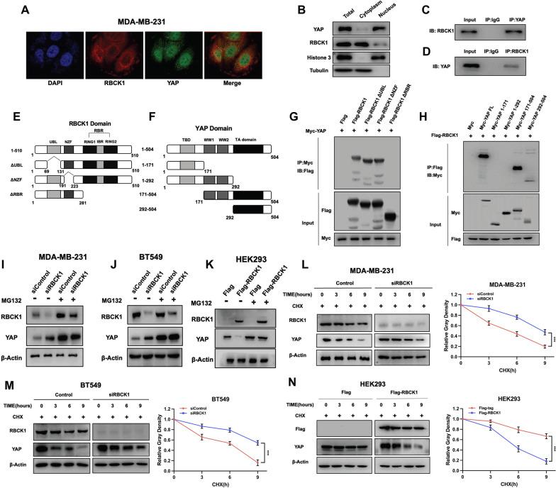
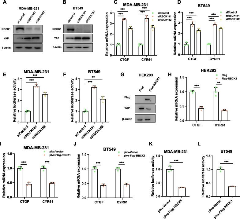
In our current study, our data revealed an opposite function for RBCK1 in TNBC progression. RBCK1 over-expression inhibited TNBC cell progression in vitro and in vivo, while RBCK1 depletion promoted TNBC cell invasion. The whole genomic expression profiling showed that RBCK1 depletion activated Hippo/YAP axis. RBCK1 depletion increased YAP protein level and Hippo target gene expression in TNBC. The molecular biology studies confirmed that RBCK1 could bind to YAP protein and enhance the stability of YAP protein by promoting YAP K48-linked poly-ubiquitination at several YAP lysine sites (K76, K204 and K321).

CONCLUSION

Our study revealed the multi-faced RBCK1 function in different subtypes of breast cancer patients and a promising therapeutic target for TNBC treatment. Video abstract.

摘要

背景

三阴性乳腺癌(TNBC)是最致命的乳腺癌亚型之一。由于缺乏有效的治疗靶点,化疗仍然是 TNBC 患者的主要治疗方法。因此,寻找 TNBC 的新治疗靶点非常重要和必要。最近的基因组研究表明,Hippo/Yap 信号在 TNBC 中过度激活,表明它在 TNBC 的发生和癌症进展中发挥关键作用。RBCK1 最初被鉴定为线性泛素组装复合物(LUBAC)的重要组成部分,在免疫反应中促进 NFKB 信号转导。进一步的研究表明,RBCK1 还通过反式激活雌激素受体α促进腔型乳腺癌的生长和内分泌耐药性。

方法

通过 Western blot 测定 RBCK1 和 YAP 蛋白表达水平,通过 RT-PCR 测定 YAP 靶基因的 mRNA 水平。通过 Ingenuity Pathway Analysis 分析 RNA 测序数据。通过荧光素酶测定、RT-PCR 和 Western blot 测定鉴定 Hippo 信号活性。蛋白稳定性测定和泛素测定用于检测 YAP 蛋白降解。基于泛素的免疫沉淀测定用于检测 YAP 蛋白的特异性泛素化修饰。

结果

在我们目前的研究中,我们的数据揭示了 RBCK1 在 TNBC 进展中的相反作用。RBCK1 过表达抑制 TNBC 细胞的体外和体内进展,而 RBCK1 耗竭促进 TNBC 细胞侵袭。全基因组表达谱分析显示,RBCK1 耗竭激活 Hippo/YAP 轴。RBCK1 耗竭增加了 TNBC 中的 YAP 蛋白水平和 Hippo 靶基因表达。分子生物学研究证实,RBCK1 可以与 YAP 蛋白结合,并通过促进 YAP 赖氨酸位点(K76、K204 和 K321)上的 YAP K48 连接多泛素化来增强 YAP 蛋白的稳定性。

结论

我们的研究揭示了 RBCK1 在不同亚型乳腺癌患者中的多面功能,以及治疗 TNBC 的有前途的治疗靶点。视频摘要。

https://cdn.ncbi.nlm.nih.gov/pmc/blobs/70d2/9590148/f8bf97fba386/12964_2022_963_Fig8_HTML.jpg
https://cdn.ncbi.nlm.nih.gov/pmc/blobs/70d2/9590148/5d9b894b173f/12964_2022_963_Fig1_HTML.jpg
https://cdn.ncbi.nlm.nih.gov/pmc/blobs/70d2/9590148/5aef0b538334/12964_2022_963_Fig2_HTML.jpg
https://cdn.ncbi.nlm.nih.gov/pmc/blobs/70d2/9590148/590b4fd9f70f/12964_2022_963_Fig3_HTML.jpg
https://cdn.ncbi.nlm.nih.gov/pmc/blobs/70d2/9590148/da5871dd425b/12964_2022_963_Fig4_HTML.jpg
https://cdn.ncbi.nlm.nih.gov/pmc/blobs/70d2/9590148/d5ab8d84747c/12964_2022_963_Fig5_HTML.jpg
https://cdn.ncbi.nlm.nih.gov/pmc/blobs/70d2/9590148/ea8aaa67bff1/12964_2022_963_Fig6_HTML.jpg
https://cdn.ncbi.nlm.nih.gov/pmc/blobs/70d2/9590148/d78eb197848c/12964_2022_963_Fig7_HTML.jpg
https://cdn.ncbi.nlm.nih.gov/pmc/blobs/70d2/9590148/f8bf97fba386/12964_2022_963_Fig8_HTML.jpg
https://cdn.ncbi.nlm.nih.gov/pmc/blobs/70d2/9590148/5d9b894b173f/12964_2022_963_Fig1_HTML.jpg
https://cdn.ncbi.nlm.nih.gov/pmc/blobs/70d2/9590148/5aef0b538334/12964_2022_963_Fig2_HTML.jpg
https://cdn.ncbi.nlm.nih.gov/pmc/blobs/70d2/9590148/590b4fd9f70f/12964_2022_963_Fig3_HTML.jpg
https://cdn.ncbi.nlm.nih.gov/pmc/blobs/70d2/9590148/da5871dd425b/12964_2022_963_Fig4_HTML.jpg
https://cdn.ncbi.nlm.nih.gov/pmc/blobs/70d2/9590148/d5ab8d84747c/12964_2022_963_Fig5_HTML.jpg
https://cdn.ncbi.nlm.nih.gov/pmc/blobs/70d2/9590148/ea8aaa67bff1/12964_2022_963_Fig6_HTML.jpg
https://cdn.ncbi.nlm.nih.gov/pmc/blobs/70d2/9590148/d78eb197848c/12964_2022_963_Fig7_HTML.jpg
https://cdn.ncbi.nlm.nih.gov/pmc/blobs/70d2/9590148/f8bf97fba386/12964_2022_963_Fig8_HTML.jpg

相似文献

1
RBCK1 is an endogenous inhibitor for triple negative breast cancer via hippo/YAP axis.RBCK1 是通过 hippo/YAP 轴抑制三阴性乳腺癌的内源性抑制剂。
Cell Commun Signal. 2022 Oct 24;20(1):164. doi: 10.1186/s12964-022-00963-8.
2
ZNF213 negatively controls triple negative breast cancer progression via Hippo/YAP signaling.ZNF213 通过 Hippo/YAP 信号通路负向调控三阴性乳腺癌的进展。
Cancer Sci. 2021 Jul;112(7):2714-2727. doi: 10.1111/cas.14916. Epub 2021 May 3.
3
RNF31 represses cell progression and immune evasion via YAP/PD-L1 suppression in triple negative breast Cancer.环状指蛋白 31 通过抑制 YAP/PD-L1 抑制三阴性乳腺癌细胞的进展和免疫逃逸。
J Exp Clin Cancer Res. 2022 Dec 29;41(1):364. doi: 10.1186/s13046-022-02576-y.
4
RNF181 modulates Hippo signaling and triple negative breast cancer progression.RNF181调节Hippo信号通路和三阴性乳腺癌进展。
Cancer Cell Int. 2020 Jul 6;20:291. doi: 10.1186/s12935-020-01397-3. eCollection 2020.
5
[Hydnocarpin inhibits malignant progression of triple negative breast cancer via CNOT4-mediated ubiquitination and degradation of YAP].[大风子素通过CNOT4介导的YAP泛素化和降解抑制三阴性乳腺癌的恶性进展]
Zhongguo Zhong Yao Za Zhi. 2023 Aug;48(16):4483-4492. doi: 10.19540/j.cnki.cjcmm.20230510.706.
6
Regulation of Hippo signaling and triple negative breast cancer progression by an ubiquitin ligase RNF187.泛素连接酶RNF187对Hippo信号通路及三阴性乳腺癌进展的调控
Oncogenesis. 2020 Mar 20;9(3):36. doi: 10.1038/s41389-020-0220-5.
7
Regulation of Hippo/YAP signaling and Esophageal Squamous Carcinoma progression by an E3 ubiquitin ligase PARK2.E3 泛素连接酶 PARK2 调控 Hippo/YAP 信号通路及食管鳞癌的进展
Theranostics. 2020 Jul 25;10(21):9443-9457. doi: 10.7150/thno.46078. eCollection 2020.
8
HMGA2 promotes breast cancer metastasis by modulating Hippo-YAP signaling pathway.HMGA2 通过调节 Hippo-YAP 信号通路促进乳腺癌转移。
Cancer Biol Ther. 2021 Jan 2;22(1):5-11. doi: 10.1080/15384047.2020.1832429. Epub 2020 Dec 13.
9
SMURF1 facilitates estrogen receptor ɑ signaling in breast cancer cells.SMURF1 促进乳腺癌细胞中雌激素受体 α 的信号转导。
J Exp Clin Cancer Res. 2018 Feb 12;37(1):24. doi: 10.1186/s13046-018-0672-z.
10
YAP transduction drives triple-negative breast cancer aggressiveness through modulating the EGFR‒AKT axis in patient-derived xenograft cells.YAP 转导通过调节患者来源的异种移植细胞中的 EGFR-AKT 轴驱动三阴性乳腺癌的侵袭性。
Med Oncol. 2023 Apr 4;40(5):137. doi: 10.1007/s12032-023-02007-8.

引用本文的文献

1
Posttranslational modifications of YAP/TAZ: molecular mechanisms and therapeutic opportunities.YAP/TAZ的翻译后修饰:分子机制与治疗机遇
Cell Mol Biol Lett. 2025 Jul 17;30(1):83. doi: 10.1186/s11658-025-00760-4.
2
LINC00525 drives aggressive phenotypes in bladder cancer via YAP stabilization-mediated transcriptional activation.LINC00525通过YAP稳定介导的转录激活驱动膀胱癌的侵袭性表型。
Cancer Cell Int. 2025 Jun 17;25(1):214. doi: 10.1186/s12935-025-03851-6.
3
USP12 facilitates gastric cancer progression via stabilizing YAP.

本文引用的文献

1
DUB1 suppresses Hippo signaling by modulating TAZ protein expression in gastric cancer.DUB1 通过调节胃癌中 TAZ 蛋白的表达来抑制 Hippo 信号通路。
J Exp Clin Cancer Res. 2022 Jul 12;41(1):219. doi: 10.1186/s13046-022-02410-5.
2
Investigation of BRCAness associated miRNA-gene axes in breast cancer: cell-free miR-182-5p as a potential expression signature of BRCAness.BRCAness 相关 miRNA-基因轴在乳腺癌中的研究:无细胞 miR-182-5p 作为 BRCAness 的潜在表达特征。
BMC Cancer. 2022 Jun 17;22(1):668. doi: 10.1186/s12885-022-09761-4.
3
Evaluating the effect of Alantolactone on the expression of N-cadherin and Vimentin genes effective in epithelial-mesenchymal transition (EMT) in breast cancer cell line (MDA-MB-231).
USP12通过稳定YAP促进胃癌进展。
Cell Death Discov. 2024 Apr 11;10(1):174. doi: 10.1038/s41420-024-01943-2.
4
RBCK1 overexpression is associated with immune cell infiltration and poor prognosis in hepatocellular carcinoma.RBCK1过表达与肝细胞癌中的免疫细胞浸润及不良预后相关。
Aging (Albany NY). 2024 Jan 11;16(1):538-549. doi: 10.18632/aging.205393.
5
Mechanisms underlying linear ubiquitination and implications in tumorigenesis and drug discovery.线性泛素化的作用机制及其在肿瘤发生和药物发现中的意义。
Cell Commun Signal. 2023 Nov 28;21(1):340. doi: 10.1186/s12964-023-01239-5.
6
Regulation of the Hippo/YAP axis by CXCR7 in the tumorigenesis of gastric cancer.CXCR7 对胃癌发生过程中 Hippo/YAP 轴的调控
J Exp Clin Cancer Res. 2023 Nov 10;42(1):297. doi: 10.1186/s13046-023-02870-3.
7
PANoptosis-related prognostic signature predicts overall survival of cutaneous melanoma and provides insights into immune infiltration landscape.PANoptosis 相关预后标志物预测皮肤黑色素瘤患者的总生存期,并为免疫浸润景观提供见解。
Sci Rep. 2023 May 25;13(1):8449. doi: 10.1038/s41598-023-35462-4.
评估土木香内酯对乳腺癌细胞系(MDA-MB-231)中上皮-间质转化(EMT)相关的N-钙黏蛋白和波形蛋白基因表达的影响。
Ann Med Surg (Lond). 2022 Jan 4;73:103240. doi: 10.1016/j.amsu.2021.103240. eCollection 2022 Jan.
4
Systemic treatment for triple negative breast cancer in older patients: A Young International Society of Geriatric Oncology Review Paper.老年三阴性乳腺癌的全身治疗:老年肿瘤国际协作组青年委员会综述。
J Geriatr Oncol. 2022 Jun;13(5):563-571. doi: 10.1016/j.jgo.2022.01.002. Epub 2022 Jan 23.
5
Circular RNA-associated ceRNA network involved in HIF-1 signalling in triple-negative breast cancer: circ_0047303 as a potential key regulator.环状 RNA 相关 ceRNA 网络参与三阴性乳腺癌中的 HIF-1 信号转导:circ_0047303 作为一个潜在的关键调节因子。
J Cell Mol Med. 2021 Dec;25(24):11322-11332. doi: 10.1111/jcmm.17066. Epub 2021 Nov 17.
6
YAP and TAZ are transcriptional co-activators of AP-1 proteins and STAT3 during breast cellular transformation.YAP 和 TAZ 是乳腺癌细胞转化过程中 AP-1 蛋白和 STAT3 的转录共激活因子。
Elife. 2021 Aug 31;10:e67312. doi: 10.7554/eLife.67312.
7
Utilizing the Hippo pathway as a therapeutic target for combating endocrine-resistant breast cancer.将Hippo信号通路作为治疗内分泌抵抗性乳腺癌的靶点。
Cancer Cell Int. 2021 Jun 10;21(1):306. doi: 10.1186/s12935-021-01999-5.
8
ZNF213 negatively controls triple negative breast cancer progression via Hippo/YAP signaling.ZNF213 通过 Hippo/YAP 信号通路负向调控三阴性乳腺癌的进展。
Cancer Sci. 2021 Jul;112(7):2714-2727. doi: 10.1111/cas.14916. Epub 2021 May 3.
9
Immune checkpoint inhibitors: review of the existing evidence and challenges in breast cancer.免疫检查点抑制剂:乳腺癌现有证据的综述和挑战。
Immunotherapy. 2021 May;13(7):587-603. doi: 10.2217/imt-2020-0283. Epub 2021 Mar 29.
10
The ubiquitin ligase RNF181 stabilizes ERα and modulates breast cancer progression.泛素连接酶 RNF181 稳定 ERα 并调节乳腺癌的进展。
Oncogene. 2020 Oct;39(44):6776-6788. doi: 10.1038/s41388-020-01464-z. Epub 2020 Sep 24.