Suppr超能文献

获得性因子 VIII 缺乏症的诊断与治疗:病例报告并文献复习。

Diagnosis and treatment of acquired factor VIII deficiency: a case report and literature review.

机构信息

Department of Poisoning and Occupational Diseases, Qilu Hospital, Cheeloo College of Medicine, Shandong University, Jinan, Shandong Province, China.

Department of Intensive Care Medicine, The Affiliated Hospital of Shandong University of Traditional Chinese Medicine, Jinan, Shandong Province, China.

出版信息

J Int Med Res. 2022 Oct;50(10):3000605221132882. doi: 10.1177/03000605221132882.

Abstract

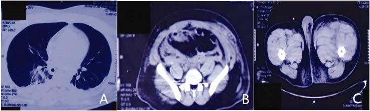
Acquired haemophilia A (AHA) is a rare haemorrhagic disease characterized by spontaneous extensive subcutaneous haemorrhage and soft tissue haematoma. The activated partial thromboplastin time is significantly prolonged and cannot be corrected by normal plasma. Approximately 50% of AHA patients lack a specific aetiology, so this can easily result in a misdiagnosis. This current case report describes a 27-year-old male that presented with gingival bleeding, haematuria and haematochezia with no obvious cause. At first, it was thought that he might have experienced anticoagulant rodenticide poisoning, but the subsequent anticoagulant rodenticide test was negative. At the same time, the patient was screened for mutations associated with bleeding and coagulation diseases. Two mutations were identified: a p.Y471H mutation the plasminogen activator, tissue type () gene; and a p.Y244Y mutation the serpin family E member 1 () gene. It should be noted that patient had no previous history of thrombosis or haemorrhagic disease, which confused the diagnosis. A professional haemophilia research centre provided clarification of the diagnosis when anti-factor VIII antibodies were detected. The patient was treated with 30 mg/day prednisone orally. Multiple follow-up examinations showed continuous complete remission. No factor VIII antibodies were detected in his blood and coagulation factor VIII increased significantly.

摘要

获得性血友病 A (AHA) 是一种罕见的出血性疾病,其特征为自发性广泛皮下出血和软组织血肿。活化部分凝血活酶时间显著延长,且不能被正常血浆纠正。约 50%的 AHA 患者缺乏特定病因,因此容易导致误诊。本病例报告描述了一名 27 岁男性,因牙龈出血、血尿和血便就诊,无明显病因。起初,考虑可能是抗凝剂中毒,但随后的抗凝剂检测为阴性。同时,对患者进行了与出血和凝血疾病相关的基因突变筛查。发现了两个突变:纤溶酶原激活物,组织型(p.Y471H)基因和丝氨酸蛋白酶抑制剂家族 E 成员 1(p.Y244Y)基因。值得注意的是,患者无既往血栓或出血性疾病史,这增加了诊断的难度。当检测到抗因子 VIII 抗体时,专业的血友病研究中心明确了诊断。给予患者 30mg/天泼尼松口服治疗。多次随访检查显示持续完全缓解。患者血液中未检测到因子 VIII 抗体,凝血因子 VIII 显著增加。

https://cdn.ncbi.nlm.nih.gov/pmc/blobs/c473/9608068/0ec097523e59/10.1177_03000605221132882-fig1.jpg

文献AI研究员

20分钟写一篇综述,助力文献阅读效率提升50倍。

立即体验

用中文搜PubMed

大模型驱动的PubMed中文搜索引擎

马上搜索

文档翻译

学术文献翻译模型,支持多种主流文档格式。

立即体验