Suppr超能文献

孤立性骨髓外髓系肉瘤伴心包和胸腔积液为首发表现:病例报告。

Isolated myeloid sarcoma with pericardial and pleural effusions as first manifestation: A case report.

机构信息

Clinical Laboratory, Zhongshan Boai Hospital Affiliated to Southern Medical University, Zhongshan, Guangdong, China.

Department of Hematology, Zhongshan Boai Hospital Affiliated to Southern Medical University, Zhongshan, Guangdong, China.

出版信息

Medicine (Baltimore). 2022 Oct 21;101(42):e31026. doi: 10.1097/MD.0000000000031026.

Abstract

RATIONALE

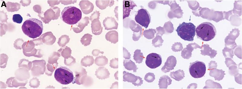
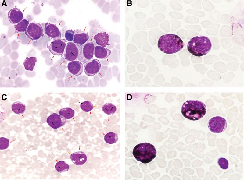
Myeloid sarcoma (MS) involves the proliferation of extramedullary blasts from 1 or more myeloid lineages, replacing the original tissue structures, and these neoplasias are called granulocytic sarcoma, chloroma, or extramedullary myeloid neoplasms. These tumors develop in lymphoid organs, bones, skin, soft tissues, various mucous membranes, organs, and the central nervous system. MS is rare in non-leukemic patients, while MS patient with effusion as the first manifestation is even rare.

PATIENT CONCERNS

We report the case of 44-year-old woman with abdominal pain, diarrhea, and vomiting.

DIAGNOSIS

Ultrasound examination and computed tomography of the chest revealed large pericardial effusions and bilateral pleural effusions. Cytomorphological examination of the pericardial and pleural effusion, flow cytometry, and immunohistochemical markers suggested myeloid tumor cells. However, concurrent peripheral blood and bone marrow examinations showed no evidence of acute myeloid leukemia. The patient was eventually diagnosed with isolated MS.

INTERVENTIONS AND OUTCOMES

After chemotherapy with pirarubicin + cytarabine and high-dose cytarabine + etoposide, the pericardial effusion and pleural effusion were absorbed, and the mediastinal mass significantly shrunk. One year after patient gave up treatment, acute myeloid leukemia (AML) was confirmed by bone marrow examinations.

CONCLUSION

The early manifestations of the patient lacked specificity and were highly susceptible to misdiagnosis. Cytomorphology and flow cytology indicated important directions for the diagnosis of the disease in the early stage. Administration of chemotherapy regimen containing cytarabine could prolong disease-free survival and time before progress to AML.

摘要

背景

骨髓肉瘤(MS)涉及一个或多个髓系谱系的髓外原始细胞的增殖,取代原始组织结构,这些肿瘤被称为粒细胞肉瘤、绿色瘤或髓外髓性肿瘤。这些肿瘤发生在淋巴器官、骨骼、皮肤、软组织、各种粘膜、器官和中枢神经系统。MS 在非白血病患者中很少见,而以渗液为首发表现的 MS 患者则更为罕见。

病例报告

我们报告了一例 44 岁女性患者,其表现为腹痛、腹泻和呕吐。

超声和胸部 CT 检查发现大量心包积液和双侧胸腔积液。心包和胸腔积液的细胞形态学检查、流式细胞术和免疫组织化学标志物提示髓系肿瘤细胞。然而,同时进行的外周血和骨髓检查未显示急性髓系白血病的证据。患者最终被诊断为孤立性 MS。

干预措施和结果

在接受吡柔比星+阿糖胞苷和高剂量阿糖胞苷+依托泊苷化疗后,心包积液和胸腔积液被吸收,纵隔肿块明显缩小。在患者停止治疗一年后,骨髓检查证实为急性髓系白血病(AML)。

结论

患者的早期表现缺乏特异性,容易误诊。细胞形态学和流式细胞术为疾病的早期诊断提供了重要方向。使用含有阿糖胞苷的化疗方案可以延长无病生存期和进展为 AML 的时间。

https://cdn.ncbi.nlm.nih.gov/pmc/blobs/8661/9592339/0d8fe182404c/medi-101-e31026-g001.jpg

文献AI研究员

20分钟写一篇综述,助力文献阅读效率提升50倍。

立即体验

用中文搜PubMed

大模型驱动的PubMed中文搜索引擎

马上搜索

文档翻译

学术文献翻译模型,支持多种主流文档格式。

立即体验