Suppr超能文献

皮肤和眼部黑色素瘤的形态学与免疫组织化学现状:未来何去何从?一项单中心研究。

Actualities in the Morphology and Immunohistochemistry of Cutaneous and Ocular Melanoma: What Lies Ahead? A Single-Centre Study.

作者信息

Tinca Andreea Cătălina, Moraru Raluca, Cocuz Iuliu Gabriel, Șincu Mihaela Cornelia, Niculescu Raluca, Sabău Adrian Horațiu, Chiorean Diana Maria, Szoke Andreea Raluca, Morariu Silviu-Horia, Cotoi Ovidiu Simion

机构信息

Doctoral School of Medicine and Pharmacy, University of Medicine, Pharmacy, Sciences and Technology "George Emil Palade" of Targu Mures, 540142 Targu Mures, Romania.

Pathology Department, Mures Clinical County Hospital, 540011 Targu Mures, Romania.

出版信息

Biomedicines. 2022 Oct 7;10(10):2500. doi: 10.3390/biomedicines10102500.

Abstract

UNLABELLED

Melanoma is the most aggressive melanocytic tumor whose incidence is continuously increasing worldwide.

METHODS

We highlight the morphological, immunohistochemistry, and particularities of various melanoma types based on the cases diagnosed in our department from 2017 to 2021.

RESULTS

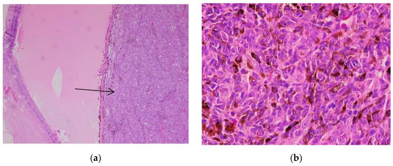
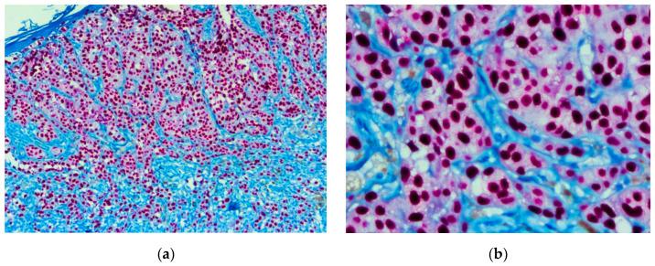
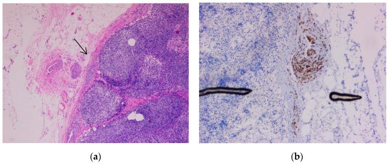
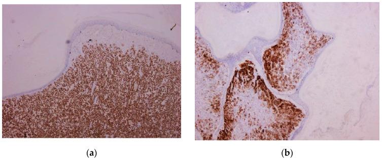
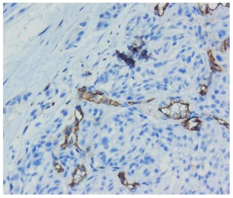
We present 100 melanoma cases and one capsular nevus case. The most common type was nodular melanoma. The immunohistochemistry markers used were SRY-box transcription factor 10 (SOX10), S100 protein, human melanoma black 45 (HMB45), and melanoma antigen recognized by T cells 1 (Melan-A). Uveal melanoma and conjunctival melanoma represent particular tumors with independent prognostic factors. Uveal melanoma requires assessment of macrophages, microvascularisation, and mitoses. Sentinel lymph node metastases are essential targets that provide staging tools. Conjunctival melanoma and capsular nevi are diagnostic pitfalls.

CONCLUSION

Melanoma can appear in various forms, and sometimes the diagnosis might be unclear. Today, immunohistochemistry remains the most important tool in confirming the diagnosis and prognosis for this type of neoplasia.

摘要

未标注

黑色素瘤是最具侵袭性的黑素细胞肿瘤,其发病率在全球范围内持续上升。

方法

基于2017年至2021年在我们科室诊断的病例,我们突出了各种类型黑色素瘤的形态学、免疫组织化学及特点。

结果

我们展示了100例黑色素瘤病例和1例包膜痣病例。最常见的类型是结节性黑色素瘤。所使用的免疫组织化学标志物为SRY盒转录因子10(SOX10)、S100蛋白、人黑色素瘤黑色45(HMB45)和T细胞识别的黑色素瘤抗原1(Melan-A)。葡萄膜黑色素瘤和结膜黑色素瘤是具有独立预后因素的特殊肿瘤。葡萄膜黑色素瘤需要评估巨噬细胞、微血管形成和有丝分裂。前哨淋巴结转移是提供分期工具的重要靶点。结膜黑色素瘤和包膜痣是诊断陷阱。

结论

黑色素瘤可呈现多种形式,有时诊断可能不明确。如今,免疫组织化学仍然是确诊此类肿瘤及判断预后的最重要工具。

https://cdn.ncbi.nlm.nih.gov/pmc/blobs/e097/9599614/eede38541e94/biomedicines-10-02500-g001.jpg

文献检索

告别复杂PubMed语法,用中文像聊天一样搜索,搜遍4000万医学文献。AI智能推荐,让科研检索更轻松。

立即免费搜索

文件翻译

保留排版,准确专业,支持PDF/Word/PPT等文件格式,支持 12+语言互译。

免费翻译文档

深度研究

AI帮你快速写综述,25分钟生成高质量综述,智能提取关键信息,辅助科研写作。

立即免费体验