Suppr超能文献

29岁医用大麻成瘾男子出现伴有心脏骤停和心肌梗死的阵发性持续性室性心动过速——祸不单行。

Paroxysmal Sustained Ventricular Tachycardia with Cardiac Arrest and Myocardial Infarction in 29-Year-Old Man Addicted to Medical Marijuana-It Never Rains but It Pours.

作者信息

Wiliński Jerzy, Skwarek Anna, Chrzan Iwona, Zeliaś Aleksander, Borek Radosław, Dykla Dominika Elżbieta, Bober-Fotopoulos Maria, Dudek Dariusz

机构信息

Center for Invasive Cardiology, Electrotherapy and Angiology, 33-300 Nowy Sącz, Poland.

Department of Internal Medicine with Cardiology Subdivision, Blessed Marta Wiecka District Hospital, 32-700 Bochnia, Poland.

出版信息

Healthcare (Basel). 2022 Oct 13;10(10):2024. doi: 10.3390/healthcare10102024.

Abstract

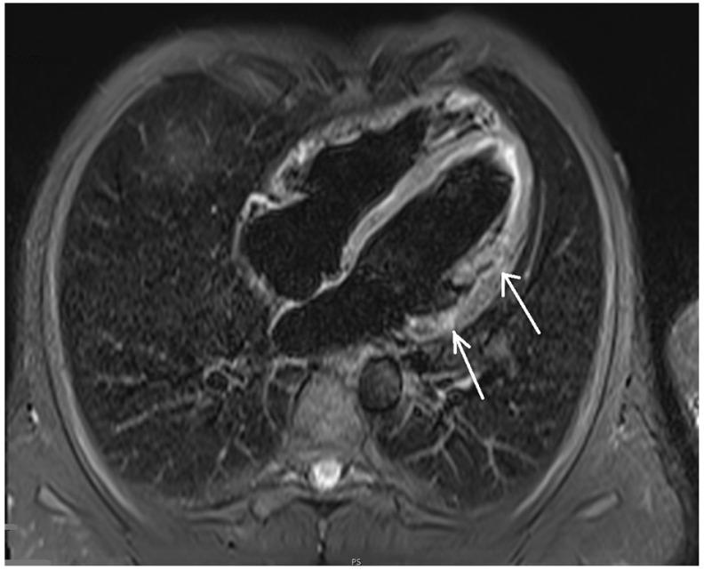
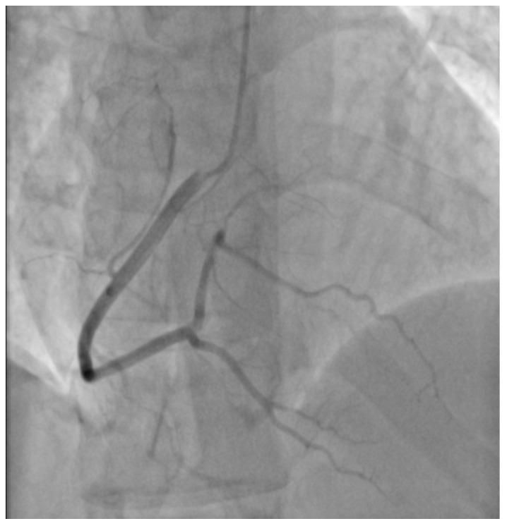
This article presents the case of a 29-year-old male patient, addicted to prescribed medical marijuana administered for mixed anxiety and depressive disorder and without classic cardiovascular risk factors and history of myocarditis, suffering from episodes of paroxysmal hemodynamically unstable ventricular tachycardia. Cardiovascular magnetic resonance imaging of the heart revealed disseminated non-ischemic myocardial injury lesions of subepicardial and intramuscular location. Additionally, the individual experienced myocardial infarction without ST segment elevation following marijuana intake. Treatment required implantation of a cardioverter-defibrillator and ablation of the myocardial areas responsible for the origin of the arrhythmia, as well as appropriate pharmacotherapy and marijuana addiction treatment.

摘要

本文介绍了一名29岁男性患者的病例,该患者因混合性焦虑和抑郁障碍而服用处方医用大麻成瘾,无典型心血管危险因素及心肌炎病史,却出现阵发性血流动力学不稳定的室性心动过速发作。心脏心血管磁共振成像显示,心外膜下和肌内有散在的非缺血性心肌损伤病灶。此外,该患者在吸食大麻后发生了无ST段抬高的心肌梗死。治疗需要植入心脏复律除颤器,消融导致心律失常起源的心肌区域,并进行适当的药物治疗和大麻成瘾治疗。

https://cdn.ncbi.nlm.nih.gov/pmc/blobs/992f/9602483/cbe7809c4bc6/healthcare-10-02024-g001.jpg

文献AI研究员

20分钟写一篇综述,助力文献阅读效率提升50倍。

立即体验

用中文搜PubMed

大模型驱动的PubMed中文搜索引擎

马上搜索

文档翻译

学术文献翻译模型,支持多种主流文档格式。

立即体验