• 文献检索
  • 文档翻译
  • 深度研究
  • 学术资讯
  • Suppr Zotero 插件Zotero 插件
  • 邀请有礼
  • 套餐&价格
  • 历史记录
应用&插件
Suppr Zotero 插件Zotero 插件浏览器插件Mac 客户端Windows 客户端微信小程序
定价
高级版会员购买积分包购买API积分包
服务
文献检索文档翻译深度研究API 文档MCP 服务
关于我们
关于 Suppr公司介绍联系我们用户协议隐私条款
关注我们

Suppr 超能文献

核心技术专利:CN118964589B侵权必究
粤ICP备2023148730 号-1Suppr @ 2026

文献检索

告别复杂PubMed语法,用中文像聊天一样搜索,搜遍4000万医学文献。AI智能推荐,让科研检索更轻松。

立即免费搜索

文件翻译

保留排版,准确专业,支持PDF/Word/PPT等文件格式,支持 12+语言互译。

免费翻译文档

深度研究

AI帮你快速写综述,25分钟生成高质量综述,智能提取关键信息,辅助科研写作。

立即免费体验

磁共振成像在发育性髋关节发育不良髋臼和股骨扭转评估中的作用。

Role of magnetic resonance imaging in assessment of acetabular and femoral version in developmental dysplasia of the hip.

作者信息

Elsharkawi Karim Mohamed, Barakat Mohamed Samy, Farahat Ali Abdel Karim, Ahmed Amin Abdel-Razek Youssef, Bastawi Rim Aly

机构信息

Alexandria University Faculty of Medicine, Alexandria, Egypt.

出版信息

Radiol Bras. 2022 Sep-Oct;55(5):299-304. doi: 10.1590/0100-3984.2021.0133.

DOI:10.1590/0100-3984.2021.0133
PMID:36320369
原文链接:https://pmc.ncbi.nlm.nih.gov/articles/PMC9620843/
Abstract

OBJECTIVE

To evaluate the role of magnetic resonance imaging (MRI) in the assessment of femoral and acetabular version in developmental dysplasia of the hip (DDH).

MATERIALS AND METHODS

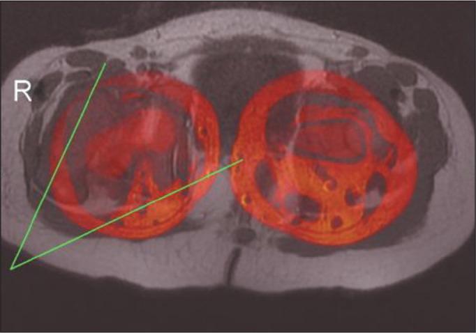
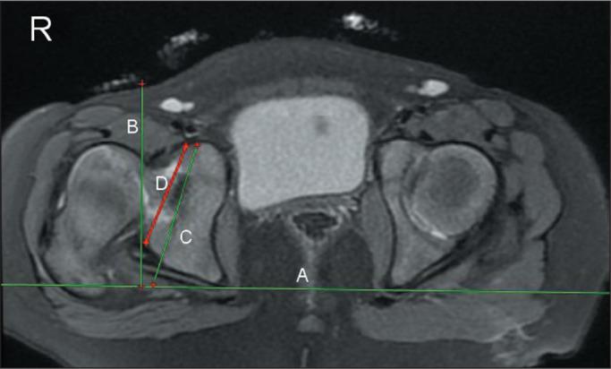
This was a cross-sectional study of 20 consecutive patients with DDH (27 dysplastic hips) who were examined with MRI. In dysplastic and normal hips (DDH and comparison groups, respectively), we evaluated the following parameters: osseous acetabular anteversion (OAA); cartilaginous acetabular anteversion (CAA); femoral anteversion; osseous Mckibbin index (OMI); cartilaginous Mckibbin index (CMI); and the thickness of the anterior and posterior acetabular cartilage.

RESULTS

The OAA was significantly greater in the dysplastic hips. The CAA, femoral anteversion, OMI, and CMI did not differ significantly between the normal and dysplastic hips. In the DDH and comparison groups, the OAA was significantly lower than the CAA, the OMI was significantly lower than the CMI, and the posterior acetabular cartilage was significantly thicker than the anterior cartilage.

CONCLUSION

Our findings confirm that MRI is a valuable tool for the assessment of femoral and acetabular version in DDH. Preoperative MRI evaluation has great potential to improve the planning of pelvic and femoral osteotomies.

摘要

目的

评估磁共振成像(MRI)在发育性髋关节发育不良(DDH)中对股骨和髋臼旋转角度评估的作用。

材料与方法

这是一项对20例连续的DDH患者(27个发育不良髋关节)进行MRI检查的横断面研究。在发育不良髋关节和正常髋关节(分别为DDH组和对照组)中,我们评估了以下参数:骨性髋臼前倾角(OAA);软骨性髋臼前倾角(CAA);股骨前倾角;骨性麦基宾指数(OMI);软骨性麦基宾指数(CMI);以及髋臼前后软骨的厚度。

结果

发育不良髋关节的OAA显著更大。正常髋关节和发育不良髋关节之间的CAA、股骨前倾角、OMI和CMI无显著差异。在DDH组和对照组中,OAA显著低于CAA,OMI显著低于CMI,髋臼后软骨显著厚于前软骨。

结论

我们的研究结果证实,MRI是评估DDH中股骨和髋臼旋转角度的有价值工具。术前MRI评估对于改善骨盆和股骨截骨术的规划具有巨大潜力。

https://cdn.ncbi.nlm.nih.gov/pmc/blobs/0dbd/9620843/2d9f3401bc13/rb-55-05-0299-g03.jpg
https://cdn.ncbi.nlm.nih.gov/pmc/blobs/0dbd/9620843/ecc7f06d7045/rb-55-05-0299-g01.jpg
https://cdn.ncbi.nlm.nih.gov/pmc/blobs/0dbd/9620843/92bccc251302/rb-55-05-0299-g02.jpg
https://cdn.ncbi.nlm.nih.gov/pmc/blobs/0dbd/9620843/2d9f3401bc13/rb-55-05-0299-g03.jpg
https://cdn.ncbi.nlm.nih.gov/pmc/blobs/0dbd/9620843/ecc7f06d7045/rb-55-05-0299-g01.jpg
https://cdn.ncbi.nlm.nih.gov/pmc/blobs/0dbd/9620843/92bccc251302/rb-55-05-0299-g02.jpg
https://cdn.ncbi.nlm.nih.gov/pmc/blobs/0dbd/9620843/2d9f3401bc13/rb-55-05-0299-g03.jpg

相似文献

1
Role of magnetic resonance imaging in assessment of acetabular and femoral version in developmental dysplasia of the hip.磁共振成像在发育性髋关节发育不良髋臼和股骨扭转评估中的作用。
Radiol Bras. 2022 Sep-Oct;55(5):299-304. doi: 10.1590/0100-3984.2021.0133.
2
Development of acetabular anteversion in children with normal hips and those with developmental dysplasia of the hip: a cross-sectional study using magnetic resonance imaging.正常髋关节儿童和发育性髋关节发育不良儿童髋臼前倾角的发育:磁共振成像的横断面研究。
Acta Orthop. 2021 Jun;92(3):341-346. doi: 10.1080/17453674.2020.1866928. Epub 2021 Jan 8.
3
Femoral anteversion is correlated with acetabular version and coverage in Asian women with anterior and global deficient subgroups of hip dysplasia: a CT study.股骨前倾角与髋臼覆盖在亚洲女性髋关节发育不良前向和整体不足亚组中与髋臼覆盖相关:一项 CT 研究。
Skeletal Radiol. 2012 Nov;41(11):1411-8. doi: 10.1007/s00256-012-1368-7. Epub 2012 Feb 13.
4
[Effect of acetabular tilt angle on acetabular version in adults with developmental dysplasia of the hip].[髋臼倾斜角对成人发育性髋关节发育不良患者髋臼前倾角的影响]
Zhongguo Xiu Fu Chong Jian Wai Ke Za Zhi. 2017 Jun 15;31(6):647-652. doi: 10.7507/1002-1892.201610040.
5
MRI evaluation of femoral and acetabular anteversion in developmental dysplasia of the hip. A study in an early walking age group.髋关节发育不良中股骨和髋臼前倾角的MRI评估。一项针对早期步行年龄组的研究。
Acta Orthop Belg. 2010 Apr;76(2):174-80.
6
Bone maturation of MRI residual developmental dysplasia of the hip with discrepancy between osseous and cartilaginous acetabular index.髋关节MRI残留发育性发育不良的骨成熟情况,伴有骨性和软骨性髋臼指数的差异。
J Pediatr Orthop B. 2019 Sep;28(5):419-423. doi: 10.1097/BPB.0000000000000581.
7
Evaluation of Bernese periacetabular osteotomy: prospective studies examining projected load-bearing area, bone density, cartilage thickness and migration.伯尔尼髋臼周围截骨术的评估:关于预计承重面积、骨密度、软骨厚度和移位情况的前瞻性研究。
Acta Orthop Suppl. 2008 Jun;79(329):4-43. doi: 10.1080/17453690610046558.
8
Three dimensional-CT evaluation of femoral neck anteversion, acetabular anteversion and combined anteversion in unilateral DDH in an early walking age group.在早期行走年龄组中,对单侧发育性髋关节脱位进行三维 CT 评估股骨颈前倾角、髋臼前倾角和联合前倾角。
Int Orthop. 2012 Jan;36(1):119-24. doi: 10.1007/s00264-011-1337-0. Epub 2011 Aug 21.
9
Hip dysplasia is more severe in Charcot-Marie-Tooth disease than in developmental dysplasia of the hip.髋关节发育不良在夏科-马里-图思病中比在发育性髋关节发育不良中更为严重。
Clin Orthop Relat Res. 2014 Feb;472(2):665-73. doi: 10.1007/s11999-013-3127-z.
10
Evaluation of the thickness of acetabular cartilage by ultrasound in developmental dysplasia of the hip.超声评估发育性髋关节发育不良中髋臼软骨厚度
Front Pediatr. 2024 Sep 10;12:1351296. doi: 10.3389/fped.2024.1351296. eCollection 2024.

引用本文的文献

1
Analysis of the association between the acetabular morphology and femoral head in children aged 0-3 years with developmental hip dysplasia.0至3岁发育性髋关节发育不良儿童髋臼形态与股骨头之间相关性的分析
Front Pediatr. 2023 Nov 27;11:1310411. doi: 10.3389/fped.2023.1310411. eCollection 2023.

本文引用的文献

1
Development of acetabular anteversion in children with normal hips and those with developmental dysplasia of the hip: a cross-sectional study using magnetic resonance imaging.正常髋关节儿童和发育性髋关节发育不良儿童髋臼前倾角的发育:磁共振成像的横断面研究。
Acta Orthop. 2021 Jun;92(3):341-346. doi: 10.1080/17453674.2020.1866928. Epub 2021 Jan 8.
2
Should Acetabular Retroversion Be Treated Arthroscopically? A Systematic Review of Open Versus Arthroscopic Techniques.髋臼后倾是否应行关节镜治疗?开放与关节镜技术的系统评价。
Arthroscopy. 2018 Mar;34(3):953-966. doi: 10.1016/j.arthro.2017.09.013. Epub 2018 Jan 17.
3
Can Computed Tomography Accurately Measure Acetabular Anterversion in Developmental Dysplasia of the Hip? Verification and Characterization Using 3D Printing Technology.
计算机断层扫描能否准确测量发育性髋关节发育不良中的髋臼前倾角?使用3D打印技术进行验证和特征分析。
J Pediatr Orthop. 2018 Apr;38(4):e180-e185. doi: 10.1097/BPO.0000000000001141.
4
Periacetabular quadruple osteotomy of the pelvis in older children: computed tomography scan analysis of acetabular retroversion and anterior overcoverage of the hip, preventing femoral acetabular impingement.大龄儿童骨盆髋臼周围四重截骨术:髋臼后倾及髋关节前方覆盖的计算机断层扫描分析,预防股骨髋臼撞击症
J Pediatr Orthop B. 2018 May;27(3):257-263. doi: 10.1097/BPB.0000000000000472.
5
Measurement of Femoral Version by MRI is as Reliable and Reproducible as CT in Children and Adolescents With Hip Disorders.在患有髋关节疾病的儿童和青少年中,通过MRI测量股骨扭转角与CT一样可靠且可重复。
J Pediatr Orthop. 2017 Dec;37(8):557-562. doi: 10.1097/BPO.0000000000000712.
6
Hip instability: a review of hip dysplasia and other contributing factors.髋关节不稳:髋关节发育不良及其他相关因素综述
Muscles Ligaments Tendons J. 2016 Dec 21;6(3):343-353. doi: 10.11138/mltj/2016.6.3.343. eCollection 2016 Jul-Sep.
7
Magnetic resonance imaging evaluation of acetabular orientation in normal Chinese children.正常中国儿童髋臼方向的磁共振成像评估
Medicine (Baltimore). 2016 Sep;95(37):e4878. doi: 10.1097/MD.0000000000004878.
8
Acetabular Version Increases After Closure of the Triradiate Cartilage Complex.髋臼扭转角在三辐射软骨复合体闭合后增加。
Clin Orthop Relat Res. 2017 Apr;475(4):983-994. doi: 10.1007/s11999-016-5048-0.
9
The effect of femoral and acetabular version on clinical outcomes after arthroscopic femoroacetabular impingement surgery.股骨和髋臼旋转角度对关节镜下股骨髋臼撞击症手术后临床疗效的影响。
J Bone Joint Surg Am. 2015 Apr 1;97(7):537-43. doi: 10.2106/JBJS.N.00266.
10
Femoral anteversion is correlated with acetabular version and coverage in Asian women with anterior and global deficient subgroups of hip dysplasia: a CT study.股骨前倾角与髋臼覆盖在亚洲女性髋关节发育不良前向和整体不足亚组中与髋臼覆盖相关:一项 CT 研究。
Skeletal Radiol. 2012 Nov;41(11):1411-8. doi: 10.1007/s00256-012-1368-7. Epub 2012 Feb 13.