Suppr超能文献

因 Turner 综合征患者行手术辅助推进式内镜检查诊断为小肠血管畸形导致的反复胃肠道出血。

Recurrent Gastrointestinal Bleed Due to Small Bowel Vascular Malformation in a Patient with Turner Syndrome Diagnosed with Surgically Assisted Push Enteroscopy.

机构信息

Department of Pediatric Gastroenterology, Hepatology and Nutrition, University of Nebraska Medical Center and Children's Hospital and Medical Center, Omaha, NE, USA.

Department of Pediatric Surgery, University of Nebraska Medical Center and Boys Town National Research Hospital, Omaha, NE, USA.

出版信息

Am J Case Rep. 2022 Nov 3;23:e937259. doi: 10.12659/AJCR.937259.

Abstract

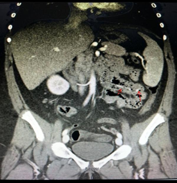
BACKGROUND Obscure gastrointestinal bleeding accounts for approximately 5% of all cases of gastrointestinal bleeding and the most frequent site is the small bowel. Turner syndrome (TS) is a genetic disorder of the second X chromosome in females. The association between gastrointestinal vascular malformations and Turner syndrome has been described in some case reports. Vascular malformation in Turner's syndrome can vary from asymptomatic to severe recurrent GI bleeds, but data on diagnosis and management of these patients are lacking. CASE REPORT A 14-year-old girl with TS presented with recurrent symptomatic melena. The initial work-up included a negative upper endoscopy, negative bidirectional endoscopies, and a video capsule endoscopy (VCE) that demonstrated large amount of blood and small erythematous lesion in the small bowel without active bleeding, and a negative Meckel scan. CT angiography was remarkable for prominent left lower mesenteric blood vessels, and a single-balloon enteroscopy demonstrated prominent vasculature throughout the small bowel. A a clip was placed at the site of a questionable bleed. The patient underwent a surgically assisted push enteroscopy due to recurrent bleeding; findings were consistent with diffuse vascular malformations. She was started on tranexamic acid and later transitioned to estrogen therapy without further reports of GI bleeding, anemia, or adverse effects from treatment 6 months after initial presentation. CONCLUSIONS Small bowel bleeding can be life-threating, and evidence-based guidelines in children are needed. Turner syndrome is associated with gastrointestinal vascular malformations, and suspicion for this diagnosis should be high for these patients when presenting with gastrointestinal bleeding. Estrogen might be an effective therapy in TS adolescent patients in the setting of diffuse vascular malformations (DVM).

摘要

背景

不明原因的胃肠道出血约占所有胃肠道出血病例的 5%,最常见的部位是小肠。特纳综合征(TS)是女性第二 X 染色体的遗传性疾病。一些病例报告描述了胃肠道血管畸形与特纳综合征之间的关联。特纳综合征的血管畸形可以从无症状到严重反复的胃肠道出血不等,但缺乏这些患者的诊断和治疗数据。

病例报告

一名 14 岁的 TS 女孩因反复出现有症状的黑便就诊。最初的检查包括阴性上消化道内镜检查、阴性双内镜检查和视频胶囊内镜(VCE),VCE 显示小肠内有大量血液和小的红斑病变,但无活动性出血,梅克尔扫描阴性。CT 血管造影显示左下方肠系膜血管明显突出,单球囊内镜显示整个小肠明显的血管。在可疑出血部位放置了一个夹子。由于反复出血,患者接受了手术辅助推进式内镜检查;检查结果与弥漫性血管畸形一致。她开始使用氨甲环酸,后来转为雌激素治疗,初始表现 6 个月后无进一步的胃肠道出血、贫血或治疗相关不良反应报告。

结论

小肠出血可能危及生命,需要有儿童的循证指南。特纳综合征与胃肠道血管畸形有关,当这些患者出现胃肠道出血时,应高度怀疑这种诊断。对于弥漫性血管畸形(DVM)的 TS 青少年患者,雌激素可能是一种有效的治疗方法。

https://cdn.ncbi.nlm.nih.gov/pmc/blobs/711d/9641551/8650f5b3631d/amjcaserep-23-e937259-g001.jpg

文献AI研究员

20分钟写一篇综述,助力文献阅读效率提升50倍。

立即体验

用中文搜PubMed

大模型驱动的PubMed中文搜索引擎

马上搜索

文档翻译

学术文献翻译模型,支持多种主流文档格式。

立即体验