Suppr超能文献

急性前庭功能丧失后出现类似下前庭神经炎的后半规管骨化:一例报告。

Posterior semicircular canal ossification following acute vestibular loss mimicking inferior vestibular neuritis: A case report.

作者信息

Comacchio Francesco, Castellucci Andrea

机构信息

ENT Unit, Regional Vertigo Specialized Center, University Hospital of Padova, Sant'Antonio Hospital, Padova, Italy.

ENT Unit, Department of Surgery, Azienda USL-IRCCS di Reggio Emilia, Reggio Emilia, Italy.

出版信息

Front Neurol. 2022 Oct 17;13:1015555. doi: 10.3389/fneur.2022.1015555. eCollection 2022.

Abstract

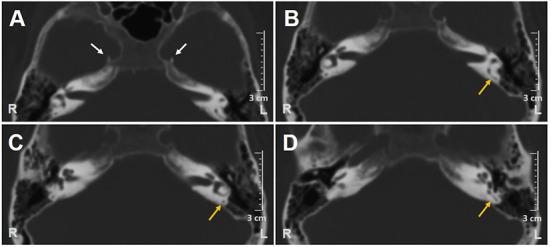
Vestibular neuritis (VN) mostly involves the superior vestibular nerve. Isolated inferior vestibular neuritis (IVN) has been more rarely described. The diagnosis of IVN is based on an abnormal head impulse test (HIT) for the posterior semicircular canal (PSC), pathological cervical vestibular-evoked myogenic potentials (C-VEMPs), and spontaneous downbeat nystagmus consistent with acute functional loss of inner ear sensors lying within the inferior part of the labyrinth. HIT for both lateral and superior semicircular canals is normal, as are ocular VEMPs and bithermal caloric irrigations. The etiology of IVN is debated since peripheral acute vestibular loss with a similar lesion pattern can often be associated with ipsilesional sudden hearing loss (HL). Viral inflammation of vestibular nerves is considered the most likely cause, although reports suggest that VN usually spares the inferior division. On the other hand, an ischemic lesion involving the terminal branches of the common cochlear artery has been hypothesized in cases with concurrent HL. Debated is also the lesion site in the case of IVN without HL since different instrumental patterns have been documented. Either isolated posterior ampullary nerve involvement presenting with selective PSC functional loss on video-HIT, or only saccular lesion with isolated ipsilesional C-VEMPs impairment, or inferior vestibular nerve damage (including both saccular and posterior ampullary afferents) exhibiting an impairment of both C-VEMPs and PSC-HIT. We report an interesting case of a patient with an acute vestibular loss consistent with IVN without HL who developed a PSC ossification on follow-up, questioning the viral origin of the lesion and rather orienting toward an occlusion of the posterior vestibular artery. To the best of our knowledge, this is the first report of PSC ossification after a clinical picture consistent with IVN.

摘要

前庭神经炎(VN)大多累及上前庭神经。孤立性下前庭神经炎(IVN)的描述则较为少见。IVN的诊断基于后半规管(PSC)的头部脉冲试验(HIT)异常、病理性颈前庭诱发肌源性电位(C-VEMP)以及与内耳迷路下部的内耳感受器急性功能丧失相符的自发性下跳性眼球震颤。外半规管和上半规管的HIT均正常,眼VEMP和冷热试验也正常。IVN的病因存在争议,因为具有相似病变模式的外周急性前庭功能丧失通常与同侧突发性听力损失(HL)有关。尽管有报告表明VN通常不累及下部分支,但前庭神经的病毒感染仍被认为是最可能的原因。另一方面,在并发HL的病例中,有人推测是涉及共同耳蜗动脉终末分支的缺血性病变。对于无HL的IVN病例,病变部位也存在争议,因为已记录到不同的检查模式。要么是孤立的后壶腹神经受累,视频HIT显示选择性PSC功能丧失,要么只是球囊病变伴孤立的同侧C-VEMP损害,要么是下前庭神经损伤(包括球囊和后壶腹传入神经),表现为C-VEMP和PSC-HIT均受损。我们报告了一例有趣的病例,一名患者出现与IVN相符的急性前庭功能丧失且无HL,随访时出现PSC骨化,这对病变的病毒起源提出了质疑,而更倾向于后前庭动脉闭塞。据我们所知,这是第一例临床表现与IVN相符后出现PSC骨化的报告。

https://cdn.ncbi.nlm.nih.gov/pmc/blobs/95bb/9621331/ba7bc85d4b3f/fneur-13-1015555-g0001.jpg

文献AI研究员

20分钟写一篇综述,助力文献阅读效率提升50倍。

立即体验

用中文搜PubMed

大模型驱动的PubMed中文搜索引擎

马上搜索

文档翻译

学术文献翻译模型,支持多种主流文档格式。

立即体验