Dahamou Mohamed, Elfarissi Mohammed Alamine, Lhamlili Mohammed, Mehfoud Ibrahim, Khoulali Mohamed, Oulali Noureddine, Moufid Fayçal
Department of Neurosurgery, Mohammed VI University Hospital center, Mohammed First University, Oujda, Morocco.
Surg Neurol Int. 2022 Sep 9;13:414. doi: 10.25259/SNI_303_2022. eCollection 2022.
Vestibular schwannomas (VSs) are one of the most common tumors of the cerebellopontine angle and internal meatus, the evolution of this type of tumors is defined as unpredictable, it can enlarge or present a spontaneous regression as described in rare cases.
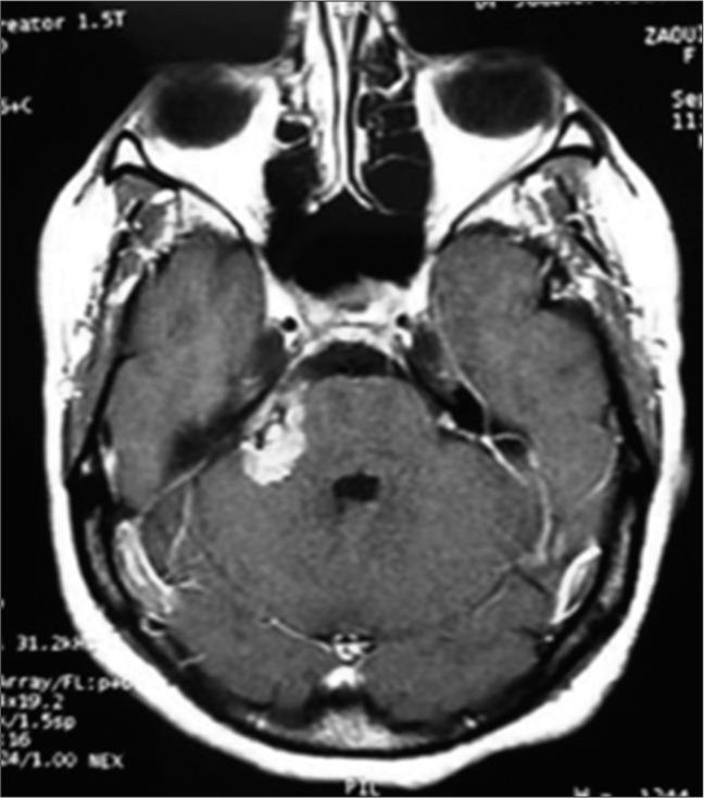
We report the case of a 50-year-old woman who presented with a large right full cystic VS revealed by a balance disorder associated with deafness in the right ear which spontaneously regressed. The patient was lost to follow-up for 3 years, the symptomatology improved, and the tumor clearly regressed without any surgical treatment.
Spontaneous regression of solid-cystic VS is possible but rare, it can be part of conservative treatment, which requires regular follow-up.
前庭神经鞘瘤(VSs)是桥小脑角和内耳道最常见的肿瘤之一,这类肿瘤的发展被定义为不可预测,它可能会增大,也可能如罕见病例中所描述的那样出现自发消退。
我们报告了一例50岁女性患者,其因右耳听力丧失伴平衡障碍发现了一个巨大的右侧全囊性VS,该肿瘤自发消退。患者失访3年,症状改善,肿瘤在未进行任何手术治疗的情况下明显消退。
实性囊性VS自发消退是可能的,但很罕见,它可以作为保守治疗的一部分,这需要定期随访。