Suppr超能文献

膜联蛋白 A2 的合作折叠依赖于瞬时的非天然中间态。

The cooperative folding of annexin A2 relies on a transient nonnative intermediate.

机构信息

Department of Biomedicine, University of Bergen, Bergen, Norway.

Équipe Labellisée Ligue 2015, Department of Integrated Structural Biology, Institut de Génétique et de Biologie Moléculaire et Cellulaire (IGBMC), INSERM U1258/CNRS UMR 7104/Université de Strasbourg, Illkirch, France.

出版信息

Biophys J. 2022 Dec 6;121(23):4492-4504. doi: 10.1016/j.bpj.2022.10.043. Epub 2022 Nov 2.

Abstract

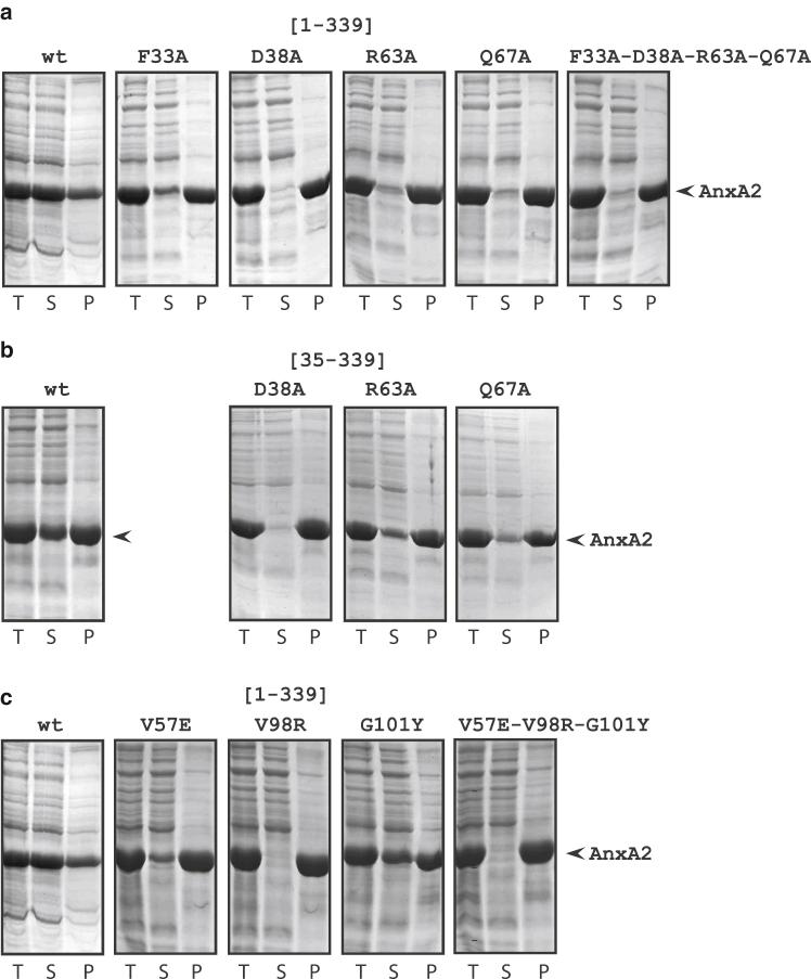
Annexins (Anxs) are a family of highly homologous proteins that bind and aggregate lipid vesicles in the presence of calcium. All members of the family contain a variable N-terminus determining specific functions, followed by a conserved core region responsible for the general calcium-dependent lipid-binding property. The core structure consists of four homologous domains (D-D), each consisting of a right-handed super-helix of five α-helices. We present data from a combination of site-directed mutagenesis, NMR, and circular dichroism showing that the G25-D34 region of the N-terminus as well as the contacts between residues D38A, R63A, and Q67A of AnxA2-D are crucial for the autonomous folding and stability of D of AnxA2. However, we also show that the folding of the full-length protein is very robust in that mutations and truncations that disrupted the folding of AnxA2-D did not abolish the folding of full-length AnxA2, only lowering its thermal stability. This robustness of the folding of full-length AnxA2 is likely to be mediated by the existence of at least one transient nonnative intermediate as suggested by our kinetic data using stopped-flow fluorescence experiments. We also show that hydrophobic amino acids in AnxA2-D involved in interfacial contacts with AnxA2-D are important for the cooperative folding and stability of the full-length protein. Mutating all of the V57E-V98R-G101Y residues in AnxA2-D did not affect the folding of the domain, only its stability, but prevented the cooperative folding of the full-length protein. Our collective results favor a highly cooperative and robust folding process mediated by alternative intermediate steps. Since AnxA2 is a multifunctional protein involved in several steps of the progression of cell transformation, these data on structure and folding pathways are therefore crucial to designing anticancer drugs targeting AnxA2.

摘要

膜联蛋白(Anxins)是一组高度同源的蛋白质,在钙离子存在的情况下,它们可以结合和聚集脂质体。该家族的所有成员都包含一个可变的 N 端,决定了特定的功能,然后是一个保守的核心区域,负责一般的依赖于钙的脂质结合特性。核心结构由四个同源结构域(D-D)组成,每个结构域由一个右手超螺旋的五个α-螺旋组成。我们提供了组合定点突变、NMR 和圆二色性的数据,这些数据表明,N 端的 G25-D34 区域以及 AnxA2-D 中的残基 D38A、R63A 和 Q67A 之间的接触对于 AnxA2-D 的自主折叠和稳定性至关重要。然而,我们还表明,全长蛋白质的折叠非常稳健,以至于破坏 AnxA2-D 折叠的突变和截断并没有完全破坏全长 AnxA2 的折叠,只是降低了其热稳定性。全长 AnxA2 折叠的这种稳健性很可能是由至少一种瞬时非天然中间体的存在介导的,这是我们使用停流荧光实验的动力学数据所表明的。我们还表明,AnxA2-D 中与 AnxA2-D 界面接触的疏水性氨基酸对于全长蛋白质的协同折叠和稳定性很重要。突变 AnxA2-D 中的所有 V57E-V98R-G101Y 残基不会影响结构域的折叠,只会影响其稳定性,但会阻止全长蛋白质的协同折叠。我们的集体结果支持一种高度协同和稳健的折叠过程,由替代的中间步骤介导。由于 AnxA2 是一种多功能蛋白质,参与细胞转化的几个步骤,因此这些关于结构和折叠途径的数据对于设计针对 AnxA2 的抗癌药物至关重要。

https://cdn.ncbi.nlm.nih.gov/pmc/blobs/0cc0/9748365/b829684234f1/fx1.jpg

文献检索

告别复杂PubMed语法,用中文像聊天一样搜索,搜遍4000万医学文献。AI智能推荐,让科研检索更轻松。

立即免费搜索

文件翻译

保留排版,准确专业,支持PDF/Word/PPT等文件格式,支持 12+语言互译。

免费翻译文档

深度研究

AI帮你快速写综述,25分钟生成高质量综述,智能提取关键信息,辅助科研写作。

立即免费体验