Suppr超能文献

真核细胞中 eIF3j 抑制了一组环状 RNA 的翻译。

eIF3j inhibits translation of a subset of circular RNAs in eukaryotic cells.

机构信息

School of Life Sciences, Chongqing University, Chongqing 401331, China.

School of Basic Medical Sciences, Division of Life Science and Medicine, University of Science and Technology of China, Hefei 230027, China.

出版信息

Nucleic Acids Res. 2022 Nov 11;50(20):11529-11549. doi: 10.1093/nar/gkac980.

Abstract

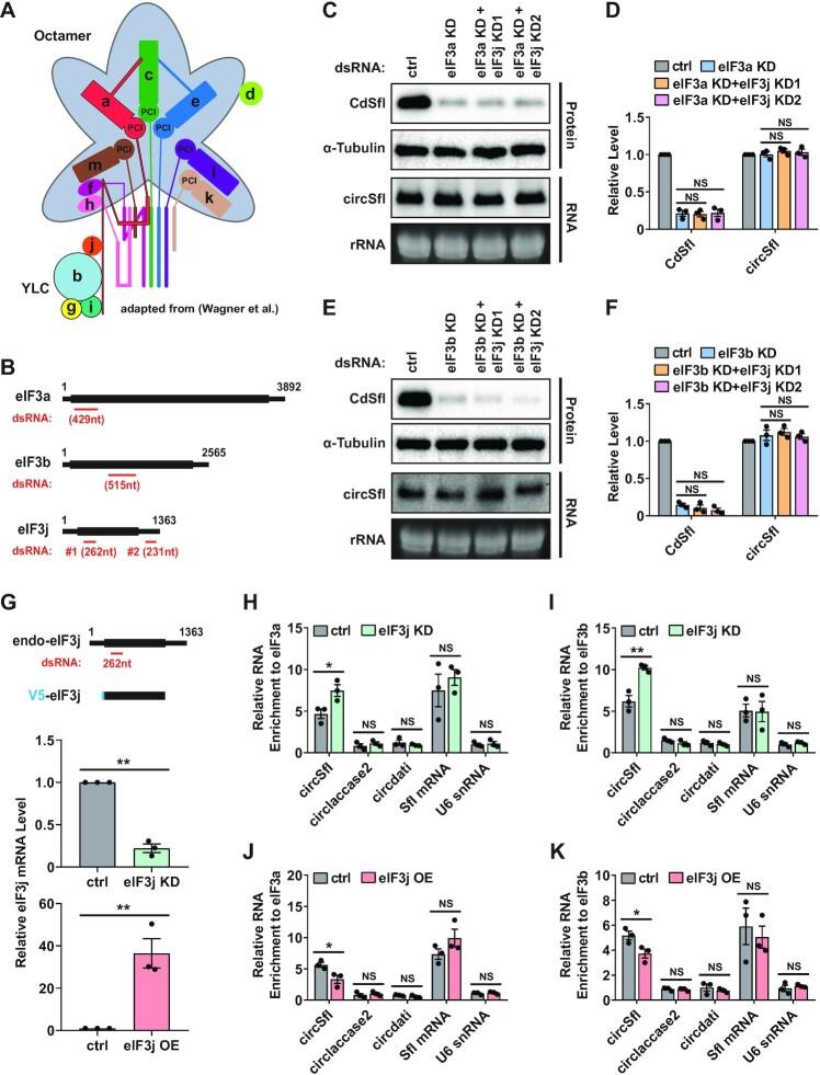
Increasing studies have revealed that a subset of circular RNAs (circRNAs) harbor an open reading frame and can act as protein-coding templates to generate functional proteins that are closely associated with multiple physiological and disease-relevant processes, and thus proper regulation of synthesis of these circRNA-derived proteins is a fundamental cellular process required for homeostasis maintenance. However, how circRNA translation initiation is coordinated by different trans-acting factors remains poorly understood. In particular, the impact of different eukaryotic translation initiation factors (eIFs) on circRNA translation and the physiological relevance of this distinct regulation have not yet been characterized. In this study, we screened all 43 Drosophila eIFs and revealed the conflicting functions of eIF3 subunits in the translational control of the translatable circRNA circSfl: eIF3 is indispensable for circSfl translation, while the eIF3-associated factor eIF3j is the most potent inhibitor. Mechanistically, the binding of eIF3j to circSfl promotes the disassociation of eIF3. The C-terminus of eIF3j and an RNA regulon within the circSfl untranslated region (UTR) are essential for the inhibitory effect of eIF3j. Moreover, we revealed the physiological relevance of eIF3j-mediated circSfl translation repression in response to heat shock. Finally, additional translatable circRNAs were identified to be similarly regulated in an eIF3j-dependent manner. Altogether, our study provides a significant insight into the field of cap-independent translational regulation and undiscovered functions of eIF3.

摘要

越来越多的研究表明,一小部分环状 RNA(circRNA)含有开放阅读框,可以作为蛋白质编码模板,产生与多种生理和疾病相关过程密切相关的功能性蛋白质,因此这些 circRNA 衍生蛋白的合成的适当调节是维持内稳态所必需的基本细胞过程。然而,不同的反式作用因子如何协调 circRNA 翻译起始仍知之甚少。特别是,不同的真核翻译起始因子(eIFs)对 circRNA 翻译的影响以及这种独特调节的生理相关性尚未得到表征。在这项研究中,我们筛选了所有 43 种果蝇 eIF,并揭示了 eIF3 亚基在可翻译 circRNA circSfl 的翻译控制中的相互矛盾的功能:eIF3 对于 circSfl 翻译是不可或缺的,而 eIF3 相关因子 eIF3j 是最强的抑制剂。从机制上讲,eIF3j 与 circSfl 的结合促进了 eIF3 的解离。eIF3j 的 C 末端和 circSfl 非翻译区(UTR)内的 RNA 调节子对于 eIF3j 的抑制作用是必需的。此外,我们揭示了 eIF3j 介导的 circSfl 翻译抑制在热休克反应中的生理相关性。最后,还确定了其他可翻译的 circRNA 以依赖于 eIF3j 的方式进行类似调节。总之,我们的研究为无帽依赖翻译调节领域和 eIF3 的未发现功能提供了重要的见解。

https://cdn.ncbi.nlm.nih.gov/pmc/blobs/1250/9723666/2f7da6e18ef7/gkac980fig1.jpg

文献检索

告别复杂PubMed语法,用中文像聊天一样搜索,搜遍4000万医学文献。AI智能推荐,让科研检索更轻松。

立即免费搜索

文件翻译

保留排版,准确专业,支持PDF/Word/PPT等文件格式,支持 12+语言互译。

免费翻译文档

深度研究

AI帮你快速写综述,25分钟生成高质量综述,智能提取关键信息,辅助科研写作。

立即免费体验