Suppr超能文献

溶酶体贮积病GLB1谱系中的β-半乳糖苷酶缺乏症可表现为严重的肌肉无力和萎缩。

β-Galactosidase deficiency in the GLB1 spectrum of lysosomal storage disease can present with severe muscle weakness and atrophy.

作者信息

Pedersen Jonas Jalili, Duno Morten, Wibrand Flemming, Hammer Christian, Krag Thomas, Vissing John

机构信息

Copenhagen Neuromuscular Center, Department of Neurology Rigshospitalet, University Hospital Copenhagen Copenhagen Denmark.

Molecular Genetic Laboratory, Department of Clinical Genetics Rigshospitalet, University Hospital Copenhagen Copenhagen Denmark.

出版信息

JIMD Rep. 2022 Sep 6;63(6):540-545. doi: 10.1002/jmd2.12324. eCollection 2022 Nov.

Abstract

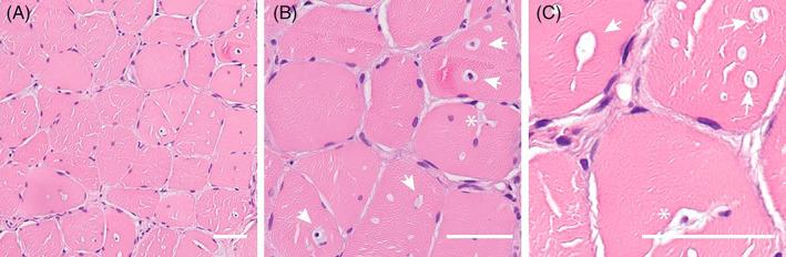
Deficiency of the enzyme β-galactosidase due to variants in the -gene is associated with metabolic disorders: Morquio B and GM1-gangliosidosis. Here, we report a case compound heterozygous for variants in the -gene and a severe muscular phenotype. Full body T1-w MRI was conducted for muscular involvement. Biopsy was stained with hematoxylin and eosin for histopathological evaluation. EDTA blood-sample was subjected to whole exome sequencing. Metabolic analysis included residual enzyme activity and evaluation urinary substrate secretion. Additionally, electroneurography, echocardiography, forced volume capacity and biochemistry were evaluated. Examination showed severe proximal weakness (MRC: hip flexion 2, hip extension 2, and shoulder rotation 2), Gower's sign, no extrapyramidal symptoms and normal creatine kinase levels. MRI showed severe muscle wasting of the thigh and shoulder girdle. Muscle biopsy showed mild myopathic changes. β-galactosidase activity was reduced to 28%-34%. Urinary glycosaminoglycan was elevated by 5.9-8.6 mg/mmol (ref.:0-5.1 mg/mmol). Electrophoresis indicated excess keratan sulfate. Exome sequencing revealed two missense variants in the gene. Clinical features, genetic testing and laboratory findings indicate a case of β-galactosidase-deficiency with a muscular phenotype.

摘要

由于该基因变异导致的β-半乳糖苷酶缺乏与代谢紊乱有关:莫尔基奥B病和GM1神经节苷脂贮积症。在此,我们报告一例该基因变异的复合杂合子病例,其具有严重的肌肉表型。对全身进行了T1加权磁共振成像以评估肌肉受累情况。活检组织用苏木精和伊红染色进行组织病理学评估。采集乙二胺四乙酸抗凝血样本进行全外显子组测序。代谢分析包括残余酶活性测定和尿中底物分泌评估。此外,还评估了神经电生理检查、超声心动图、用力肺活量和生化指标。检查显示严重的近端肌无力(医学研究委员会肌力评分:髋关节屈曲2级,髋关节伸展2级,肩关节旋转2级),Gowers征阳性,无锥体外系症状,肌酸激酶水平正常。磁共振成像显示大腿和肩胛带严重肌肉萎缩。肌肉活检显示轻度肌病改变。β-半乳糖苷酶活性降至28%-34%。尿糖胺聚糖升高至5.9-8.6毫克/毫摩尔(参考值:0-5.1毫克/毫摩尔)。电泳显示硫酸角质素过量。外显子组测序在该基因中发现两个错义变异。临床特征、基因检测和实验室检查结果表明这是一例具有肌肉表型的β-半乳糖苷酶缺乏症病例。

https://cdn.ncbi.nlm.nih.gov/pmc/blobs/cb90/9626661/c114113ef62f/JMD2-63-540-g003.jpg

相似文献

2
GM1 gangliosidosis and Morquio B disease: an update on genetic alterations and clinical findings.
Biochim Biophys Acta. 2011 Jul;1812(7):782-90. doi: 10.1016/j.bbadis.2011.03.018. Epub 2011 Apr 7.
3
Morquio B disease: From pathophysiology towards diagnosis.
Mol Genet Metab. 2021 Mar;132(3):180-188. doi: 10.1016/j.ymgme.2021.01.008. Epub 2021 Feb 1.
4
Characterization of glycan substrates accumulating in GM1 Gangliosidosis.
Mol Genet Metab Rep. 2019 Nov 3;21:100524. doi: 10.1016/j.ymgmr.2019.100524. eCollection 2019 Dec.
6
Case report: Preimplantation genetic testing for infantile GM1 gangliosidosis.
Front Genet. 2024 Feb 9;15:1344051. doi: 10.3389/fgene.2024.1344051. eCollection 2024.
7
Diagnostic challenge for the rare lysosomal storage disease: Late infantile GM1 gangliosidosis.
Brain Dev. 2018 May;40(5):383-390. doi: 10.1016/j.braindev.2018.01.009. Epub 2018 Feb 10.
9
Comprehensive behavioral and biochemical outcomes of novel murine models of GM1-gangliosidosis and Morquio syndrome type B.
Mol Genet Metab. 2019 Feb;126(2):139-150. doi: 10.1016/j.ymgme.2018.11.002. Epub 2018 Nov 22.
10
Morquio B disease: a case report.
Front Pediatr. 2024 Mar 4;12:1285414. doi: 10.3389/fped.2024.1285414. eCollection 2024.

本文引用的文献

1
Are GMI gangliosidosis and Morquio type B two different disorders or part of one phenotypic spectrum?
JIMD Rep. 2021 Mar 18;59(1):90-103. doi: 10.1002/jmd2.12204. eCollection 2021 May.
2
Morquio B disease: From pathophysiology towards diagnosis.
Mol Genet Metab. 2021 Mar;132(3):180-188. doi: 10.1016/j.ymgme.2021.01.008. Epub 2021 Feb 1.
4
Morquio-B disease: Clinical and genetic characteristics of a distinct -related dysostosis multiplex.
JIMD Rep. 2019 Nov 28;51(1):30-44. doi: 10.1002/jmd2.12065. eCollection 2020 Jan.
5
Lysosomal storage disease overview.
Ann Transl Med. 2018 Dec;6(24):476. doi: 10.21037/atm.2018.11.39.
6
Three-dimensional comparison of intramuscular fat content between young and old adults.
BMC Med Imaging. 2017 Feb 10;17(1):12. doi: 10.1186/s12880-017-0185-9.
7
MRI/MRS as a surrogate marker for clinical progression in GM1 gangliosidosis.
Am J Med Genet A. 2016 Mar;170(3):634-44. doi: 10.1002/ajmg.a.37468. Epub 2015 Dec 8.
8
Di-sulfated Keratan Sulfate as a Novel Biomarker for Mucopolysaccharidosis II, IVA, and IVB.
JIMD Rep. 2015;21:1-13. doi: 10.1007/8904_2014_330. Epub 2015 Feb 25.
9
GM1 gangliosidosis and Morquio B disease: an update on genetic alterations and clinical findings.
Biochim Biophys Acta. 2011 Jul;1812(7):782-90. doi: 10.1016/j.bbadis.2011.03.018. Epub 2011 Apr 7.
10
GM1 gangliosidosis: review of clinical, molecular, and therapeutic aspects.
Mol Genet Metab. 2008 Aug;94(4):391-396. doi: 10.1016/j.ymgme.2008.04.012. Epub 2008 Jun 3.

文献AI研究员

20分钟写一篇综述,助力文献阅读效率提升50倍。

立即体验

用中文搜PubMed

大模型驱动的PubMed中文搜索引擎

马上搜索

文档翻译

学术文献翻译模型,支持多种主流文档格式。

立即体验