• 文献检索
  • 文档翻译
  • 深度研究
  • 学术资讯
  • Suppr Zotero 插件Zotero 插件
  • 邀请有礼
  • 套餐&价格
  • 历史记录
应用&插件
Suppr Zotero 插件Zotero 插件浏览器插件Mac 客户端Windows 客户端微信小程序
定价
高级版会员购买积分包购买API积分包
服务
文献检索文档翻译深度研究API 文档MCP 服务
关于我们
关于 Suppr公司介绍联系我们用户协议隐私条款
关注我们

Suppr 超能文献

核心技术专利:CN118964589B侵权必究
粤ICP备2023148730 号-1Suppr @ 2026

文献检索

告别复杂PubMed语法,用中文像聊天一样搜索,搜遍4000万医学文献。AI智能推荐,让科研检索更轻松。

立即免费搜索

文件翻译

保留排版,准确专业,支持PDF/Word/PPT等文件格式,支持 12+语言互译。

免费翻译文档

深度研究

AI帮你快速写综述,25分钟生成高质量综述,智能提取关键信息,辅助科研写作。

立即免费体验

孕期蛋白质限制的老龄雄性大鼠后代心脏的转录组和形态学分析

Transcriptome and morphological analysis on the heart in gestational protein-restricted aging male rat offspring.

作者信息

Folguieri Marina S, Franco Ana Teresa Barufi, Vieira André Schwambach, Gontijo José Antonio Rocha, Boer Patricia Aline

机构信息

Fetal Programming and Hydroelectrolyte Metabolism Laboratory, Nucleus of Medicine and Experimental Surgery, Department of Internal Medicine, FCM, Campinas, Brazil.

Department of Structural and Functional Biology, Biology Institute, State University of Campinas (UNICAMP), Campinas, Brazil.

出版信息

Front Cell Dev Biol. 2022 Oct 24;10:892322. doi: 10.3389/fcell.2022.892322. eCollection 2022.

DOI:10.3389/fcell.2022.892322
PMID:36353510
原文链接:https://pmc.ncbi.nlm.nih.gov/articles/PMC9638007/
Abstract

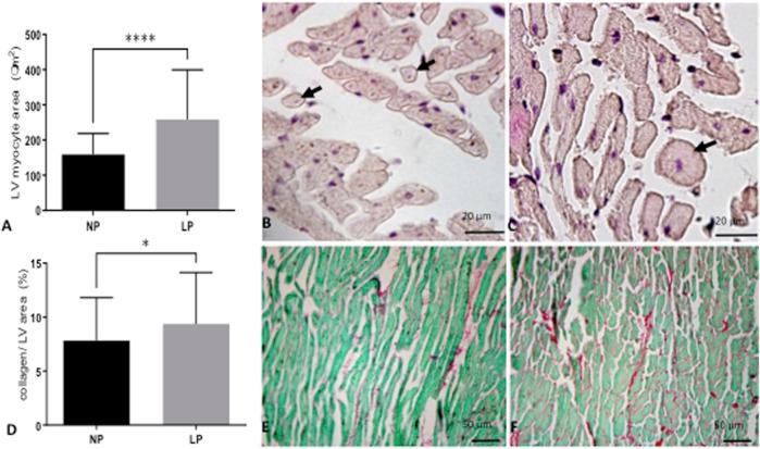
Adverse factors that influence embryo/fetal development are correlated with increased risk of cardiovascular disease (CVD), type-2 diabetes, arterial hypertension, obesity, insulin resistance, impaired kidney development, psychiatric disorders, and enhanced susceptibility to oxidative stress and inflammatory processes in adulthood. Human and experimental studies have demonstrated a reciprocal relationship between birthweight and cardiovascular diseases, implying intrauterine adverse events in the onset of these abnormalities. In this way, it is plausible that confirmed functional and morphological heart changes caused by gestational protein restriction could be related to epigenetic effects anticipating cardiovascular disorders and reducing the survival time of these animals. Wistar rats were divided into two groups according to the protein diet content offered during the pregnancy: a normal protein diet (NP, 17%) or a Low-protein diet (LP, 6%). The arterial pressure was measured, and the cardiac mass, cardiomyocytes area, gene expression, collagen content, and immunostaining of proteins were performed in the cardiac tissue of male 62-weeks old NP compared to LP offspring. In the current study, we showed a low birthweight followed by catch-up growth phenomena associated with high blood pressure development, increased heart collagen content, and cardiomyocyte area in 62-week-old LP offspring. mRNA sequencing analysis identified changes in the expression level of 137 genes, considering genes with a -value < 0.05. No gene was. Significantly changed according to the adj-p-value. After gene-to-gene biological evaluation and relevance, the study demonstrated significant differences in genes linked to inflammatory activity, oxidative stress, apoptosis process, autophagy, hypertrophy, and fibrosis pathways resulting in heart function disorders. The present study suggests that gestational protein restriction leads to early cardiac diseases in the LP progeny. It is hypothesized that heart dysfunction is associated with fibrosis, myocyte hypertrophy, and multiple abnormal gene expression. Considering the above findings, it may suppose a close link between maternal protein restriction, specific gene expression, and progressive heart failure.

摘要

影响胚胎/胎儿发育的不利因素与心血管疾病(CVD)、2型糖尿病、动脉高血压、肥胖、胰岛素抵抗、肾脏发育受损、精神障碍以及成年后对氧化应激和炎症过程易感性增加的风险相关。人类和实验研究表明出生体重与心血管疾病之间存在相互关系,这意味着这些异常的发生存在宫内不良事件。通过这种方式,妊娠蛋白质限制引起的已证实的心脏功能和形态变化可能与预测心血管疾病并缩短这些动物存活时间的表观遗传效应有关。将Wistar大鼠根据孕期提供的蛋白质饮食含量分为两组:正常蛋白质饮食(NP,17%)或低蛋白饮食(LP,6%)。测量动脉血压,并对62周龄雄性NP后代与LP后代的心脏组织进行心脏质量、心肌细胞面积、基因表达、胶原蛋白含量和蛋白质免疫染色检测。在本研究中,我们发现62周龄LP后代出生体重低,随后出现追赶生长现象,伴有高血压发展、心脏胶原蛋白含量增加和心肌细胞面积增大。mRNA测序分析确定了137个基因表达水平的变化,考虑的基因p值<0.05。根据校正p值,没有基因有显著变化。经过基因间生物学评估和相关性分析,研究表明与炎症活动、氧化应激、凋亡过程、自噬、肥大和纤维化途径相关的基因存在显著差异,导致心脏功能障碍。本研究表明妊娠蛋白质限制会导致LP后代早期出现心脏疾病。据推测,心脏功能障碍与纤维化、心肌细胞肥大和多个异常基因表达有关。考虑到上述发现,可能认为母体蛋白质限制、特定基因表达和进行性心力衰竭之间存在密切联系。

https://cdn.ncbi.nlm.nih.gov/pmc/blobs/a56b/9638007/dcd0c280d515/fcell-10-892322-g009.jpg
https://cdn.ncbi.nlm.nih.gov/pmc/blobs/a56b/9638007/efbfa6ea7336/fcell-10-892322-g001.jpg
https://cdn.ncbi.nlm.nih.gov/pmc/blobs/a56b/9638007/ed7f0e477c87/fcell-10-892322-g002.jpg
https://cdn.ncbi.nlm.nih.gov/pmc/blobs/a56b/9638007/00bcde4dd382/fcell-10-892322-g003.jpg
https://cdn.ncbi.nlm.nih.gov/pmc/blobs/a56b/9638007/a403f04d25e1/fcell-10-892322-g004.jpg
https://cdn.ncbi.nlm.nih.gov/pmc/blobs/a56b/9638007/a2b151177e99/fcell-10-892322-g005.jpg
https://cdn.ncbi.nlm.nih.gov/pmc/blobs/a56b/9638007/f6cbcb01a492/fcell-10-892322-g006.jpg
https://cdn.ncbi.nlm.nih.gov/pmc/blobs/a56b/9638007/528e42b2fa2d/fcell-10-892322-g007.jpg
https://cdn.ncbi.nlm.nih.gov/pmc/blobs/a56b/9638007/4f7651417674/fcell-10-892322-g008.jpg
https://cdn.ncbi.nlm.nih.gov/pmc/blobs/a56b/9638007/dcd0c280d515/fcell-10-892322-g009.jpg
https://cdn.ncbi.nlm.nih.gov/pmc/blobs/a56b/9638007/efbfa6ea7336/fcell-10-892322-g001.jpg
https://cdn.ncbi.nlm.nih.gov/pmc/blobs/a56b/9638007/ed7f0e477c87/fcell-10-892322-g002.jpg
https://cdn.ncbi.nlm.nih.gov/pmc/blobs/a56b/9638007/00bcde4dd382/fcell-10-892322-g003.jpg
https://cdn.ncbi.nlm.nih.gov/pmc/blobs/a56b/9638007/a403f04d25e1/fcell-10-892322-g004.jpg
https://cdn.ncbi.nlm.nih.gov/pmc/blobs/a56b/9638007/a2b151177e99/fcell-10-892322-g005.jpg
https://cdn.ncbi.nlm.nih.gov/pmc/blobs/a56b/9638007/f6cbcb01a492/fcell-10-892322-g006.jpg
https://cdn.ncbi.nlm.nih.gov/pmc/blobs/a56b/9638007/528e42b2fa2d/fcell-10-892322-g007.jpg
https://cdn.ncbi.nlm.nih.gov/pmc/blobs/a56b/9638007/4f7651417674/fcell-10-892322-g008.jpg
https://cdn.ncbi.nlm.nih.gov/pmc/blobs/a56b/9638007/dcd0c280d515/fcell-10-892322-g009.jpg

相似文献

1
Transcriptome and morphological analysis on the heart in gestational protein-restricted aging male rat offspring.孕期蛋白质限制的老龄雄性大鼠后代心脏的转录组和形态学分析
Front Cell Dev Biol. 2022 Oct 24;10:892322. doi: 10.3389/fcell.2022.892322. eCollection 2022.
2
Gestational low-protein intake enhances whole-kidney miR-192 and miR-200 family expression and epithelial-to-mesenchymal transition in rat adult male offspring.低蛋白饮食可增强大鼠成年雄性子代肾脏全组织 miR-192 和 miR-200 家族表达并促进上皮-间充质转化。
J Exp Biol. 2018 May 22;221(Pt 10):jeb171694. doi: 10.1242/jeb.171694.
3
Gestational and Breastfeeding Low-Protein Intake on Blood Pressure, Kidney Structure, and Renal Function in Male Rat Offspring in Adulthood.孕期及哺乳期低蛋白摄入对雄性大鼠成年后代血压、肾脏结构和肾功能的影响
Front Physiol. 2021 Apr 22;12:658431. doi: 10.3389/fphys.2021.658431. eCollection 2021.
4
miRNAs, target genes expression and morphological analysis on the heart in gestational protein-restricted offspring.妊娠期蛋白质限制对子代心脏中 miRNAs、靶基因表达和形态分析。
PLoS One. 2019 Apr 29;14(4):e0210454. doi: 10.1371/journal.pone.0210454. eCollection 2019.
5
Impact of gestational low-protein intake on embryonic kidney microRNA expression and in nephron progenitor cells of the male fetus.妊娠期低蛋白摄入对雄性胎仔胚胎肾脏 microRNA 表达和肾祖细胞的影响。
PLoS One. 2021 Feb 5;16(2):e0246289. doi: 10.1371/journal.pone.0246289. eCollection 2021.
6
Gestational Low Protein Diet Modulation on miRNA Transcriptome and Its Target During Fetal and Breastfeeding Nephrogenesis.孕期低蛋白饮食对胎儿及哺乳期肾脏发育过程中miRNA转录组及其靶标的调控作用
Front Physiol. 2021 Jun 22;12:648056. doi: 10.3389/fphys.2021.648056. eCollection 2021.
7
Severe Gestational Low-Protein Intake Impacts Hippocampal Cellularity, Tau, and Amyloid-β Levels, and Memory Performance in Male Adult Offspring: An Alzheimer-Simile Disease Model?孕期严重低蛋白摄入影响成年雄性子代的海马细胞数量、 Tau 蛋白和淀粉样β蛋白水平以及记忆表现:一种类似阿尔茨海默病的疾病模型?
J Alzheimers Dis Rep. 2022 Jan 25;6(1):17-30. doi: 10.3233/ADR-210297. eCollection 2022.
8
Maternal protein restriction that does not have an influence on the birthweight of the offspring induces morphological changes in kidneys reminiscent of phenotypes exhibited by intrauterine growth retardation rats.对后代出生体重没有影响的母体蛋白质限制会诱发肾脏形态学变化,这些变化类似于宫内生长迟缓大鼠所表现出的表型。
Congenit Anom (Kyoto). 2016 Mar;56(2):79-85. doi: 10.1111/cga.12143.
9
Renal sodium handling and blood pressure changes in gestational protein-restricted offspring: Role of renal nerves and ganglia neurokinin expression.孕期蛋白质限制后代的肾钠处理及血压变化:肾神经和神经节神经激肽表达的作用
PLoS One. 2017 Jun 20;12(6):e0179499. doi: 10.1371/journal.pone.0179499. eCollection 2017.
10
Maternal diet-induced obesity programmes cardiac dysfunction in male mice independently of post-weaning diet.母体饮食诱导的肥胖症可使雄性小鼠出现心脏功能障碍,而与断奶后饮食无关。
Cardiovasc Res. 2018 Aug 1;114(10):1372-1384. doi: 10.1093/cvr/cvy082.

引用本文的文献

1
Early metabolic and hemodynamic indicators of kidney dysfunction in mice offspring from parental low protein diet.来自亲代低蛋白饮食的小鼠后代肾功能不全的早期代谢和血流动力学指标
Mol Cell Pediatr. 2024 Oct 16;11(1):11. doi: 10.1186/s40348-024-00184-8.
2
Long-Term Transcriptomic Changes and Cardiomyocyte Hyperpolyploidy after Lactose Intolerance in Neonatal Rats.新生儿大鼠乳糖不耐受后长期转录组变化和心肌细胞超倍性。
Int J Mol Sci. 2023 Apr 11;24(8):7063. doi: 10.3390/ijms24087063.
3
Developmental Programming-Aging Interactions Have Sex-Specific and Developmental Stage of Exposure Outcomes on Life Course Circulating Corticosterone and Dehydroepiandrosterone (DHEA) Concentrations in Rats Exposed to Maternal Protein-Restricted Diets.

本文引用的文献

1
Severe Gestational Low-Protein Intake Impacts Hippocampal Cellularity, Tau, and Amyloid-β Levels, and Memory Performance in Male Adult Offspring: An Alzheimer-Simile Disease Model?孕期严重低蛋白摄入影响成年雄性子代的海马细胞数量、 Tau 蛋白和淀粉样β蛋白水平以及记忆表现:一种类似阿尔茨海默病的疾病模型?
J Alzheimers Dis Rep. 2022 Jan 25;6(1):17-30. doi: 10.3233/ADR-210297. eCollection 2022.
2
Food insecurity and cardiovascular disease: Current trends and future directions.粮食不安全与心血管疾病:当前趋势与未来方向。
Am J Prev Cardiol. 2021 Dec 10;9:100303. doi: 10.1016/j.ajpc.2021.100303. eCollection 2022 Mar.
3
Fetal Undernutrition Programming, Sympathetic Nerve Activity, and Arterial Hypertension Development.
发育编程-衰老相互作用对生命过程循环皮质酮和脱氢表雄酮(DHEA)浓度的性别特异性和暴露阶段具有影响,而这些作用在暴露于母体蛋白质限制饮食的大鼠中表现出来。
Nutrients. 2023 Mar 1;15(5):1239. doi: 10.3390/nu15051239.
胎儿营养不足编程、交感神经活动与动脉高血压的发生
Front Physiol. 2021 Nov 17;12:704819. doi: 10.3389/fphys.2021.704819. eCollection 2021.
4
Gestational and Breastfeeding Low-Protein Intake on Blood Pressure, Kidney Structure, and Renal Function in Male Rat Offspring in Adulthood.孕期及哺乳期低蛋白摄入对雄性大鼠成年后代血压、肾脏结构和肾功能的影响
Front Physiol. 2021 Apr 22;12:658431. doi: 10.3389/fphys.2021.658431. eCollection 2021.
5
Impact of gestational low-protein intake on embryonic kidney microRNA expression and in nephron progenitor cells of the male fetus.妊娠期低蛋白摄入对雄性胎仔胚胎肾脏 microRNA 表达和肾祖细胞的影响。
PLoS One. 2021 Feb 5;16(2):e0246289. doi: 10.1371/journal.pone.0246289. eCollection 2021.
6
miRNAs, target genes expression and morphological analysis on the heart in gestational protein-restricted offspring.妊娠期蛋白质限制对子代心脏中 miRNAs、靶基因表达和形态分析。
PLoS One. 2019 Apr 29;14(4):e0210454. doi: 10.1371/journal.pone.0210454. eCollection 2019.
7
Incidence and prevalence of cardiovascular disease in English primary care: a cross-sectional and follow-up study of the Royal College of General Practitioners (RCGP) Research and Surveillance Centre (RSC).英国初级医疗中心血管疾病的发病率和患病率:皇家全科医师学院(RCGP)研究与监测中心(RSC)的一项横断面和随访研究。
BMJ Open. 2018 Aug 20;8(8):e020282. doi: 10.1136/bmjopen-2017-020282.
8
Gestational low-protein intake enhances whole-kidney miR-192 and miR-200 family expression and epithelial-to-mesenchymal transition in rat adult male offspring.低蛋白饮食可增强大鼠成年雄性子代肾脏全组织 miR-192 和 miR-200 家族表达并促进上皮-间充质转化。
J Exp Biol. 2018 May 22;221(Pt 10):jeb171694. doi: 10.1242/jeb.171694.
9
BEX1 is an RNA-dependent mediator of cardiomyopathy.BEX1 是一种 RNA 依赖性心肌病的介体。
Nat Commun. 2017 Nov 30;8(1):1875. doi: 10.1038/s41467-017-02005-1.
10
Renal sodium handling and blood pressure changes in gestational protein-restricted offspring: Role of renal nerves and ganglia neurokinin expression.孕期蛋白质限制后代的肾钠处理及血压变化:肾神经和神经节神经激肽表达的作用
PLoS One. 2017 Jun 20;12(6):e0179499. doi: 10.1371/journal.pone.0179499. eCollection 2017.