Yorita Kenji, Ito Chikane, Fujioka Ai, Kashiwagi Keisuke, Yamai Hiromichi, Nakatani Kimiko, Kumon Tatsuya
Department of Diagnostic Pathology, Japanese Red Cross Kochi Hospital, 1-4-63-11 Hadaminamimachi, Kochi-shi, Kochi 780-8562, Japan.
Department of Dermatology, Kochi Medical School, Kochi University, Kohasu, Oko-cho, Nankoku-shi, Kochi 783-8505, Japan.
Radiol Case Rep. 2022 Nov 7;18(1):280-284. doi: 10.1016/j.radcr.2022.10.045. eCollection 2023 Jan.
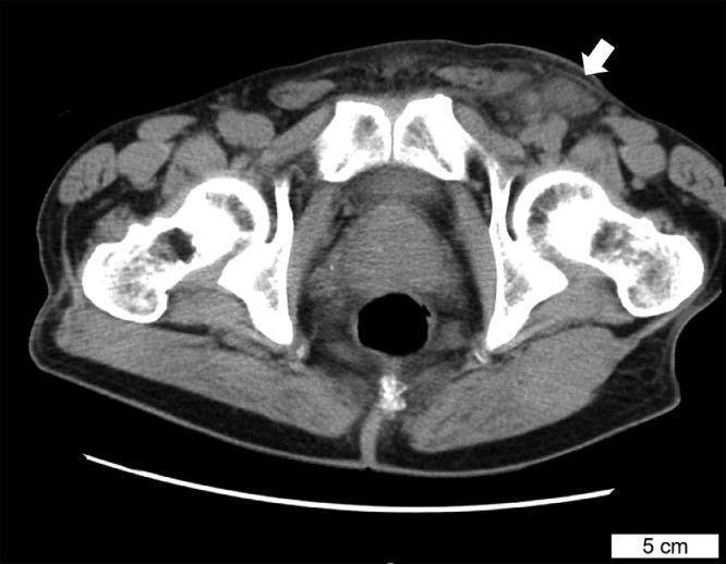
Syphilitic infection is usually observed in young patients, and the first stage of the disease (primary syphilis) is characterized by painless cutaneous and lymph node lesions. Herein, we describe a 71-year-old Japanese man with primary syphilis that presented as unilateral inguinal lymphadenopathy without skin lesions. Originally, an incarcerated hernia was clinically suspected. The lymph node pathologically showed suppurative lymphadenitis with vague granulomas; immunohistochemistry was highly suggestive of a syphilitic infection. Primary syphilis was confirmed by positive serological tests. Syphilitic infection should be included in the clinicopathological differential diagnoses for patients with inguinal lymphadenopathy, even in elderly patients without skin lesions.
梅毒感染通常见于年轻患者,疾病的第一阶段(一期梅毒)的特征是无痛性皮肤和淋巴结病变。在此,我们描述了一名71岁的日本男性,其一期梅毒表现为单侧腹股沟淋巴结病,无皮肤病变。最初,临床上怀疑为嵌顿疝。淋巴结病理显示为化脓性淋巴结炎伴模糊的肉芽肿;免疫组化高度提示梅毒感染。血清学检查阳性确诊为一期梅毒。即使对于无皮肤病变的老年患者,腹股沟淋巴结病患者的临床病理鉴别诊断也应包括梅毒感染。