Al Najar Mahasen S, Al Ryalat Nosaiba T, Sadaqah Jaffer S, Husami Rawand Y, Alzoubi Karem H
Department of Diagnostic Radiology, The University of Jordan Hospital, Amman, Jordan.
Department of Pharmacy Practice and Pharmacotherapeutics, University of Sharjah, Sharjah, United Arab Emirates.
J Multidiscip Healthc. 2022 Nov 9;15:2579-2589. doi: 10.2147/JMDH.S386936. eCollection 2022.
To describe variable mullerian duct anomalies using magnetic resonance imaging (MRI) and to classify these anomalies according to the available classification systems, namely the American Fertility Society (AFS) system, the European Society of Human Reproduction and Embryology (ESHRE) system, and the new American Society for Reproductive Medicine (ASRM) system.
Retrospective chart review.
The pelvic MRI studies and the clinical records of 64 females with mullerian congenital anomalies were retrospectively reviewed between January 2010 and December 2021. The mean age was 22 years (age range 2-63 years).
Detailed imaging findings were recorded, and the resulting mullerian anomalies were then classified according to the three classification systems of interest.
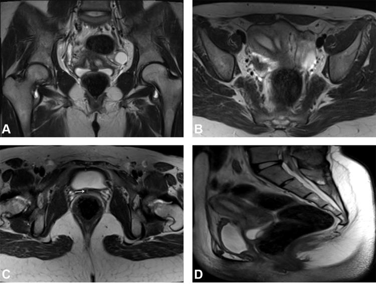
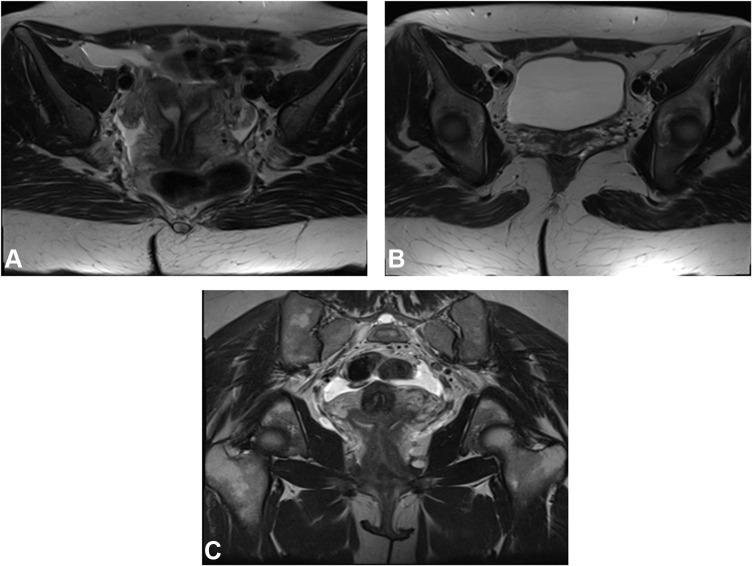
Variable mullerian anomalies were found among patients with multiple frequencies. Mullerian agenesis and hypoplasia were found in 12 patients (19%) and 16 patients (25%), respectively. Uterus didelphys was found in 5 patients (8%). Twelve (19%) patients had septate uterus, while 8 (12.5%) had a bicornuate anomaly. Unicornuate uterus was present in 7 patients (11%). Isolated vaginal anomaly was diagnosed in 4 patients (6%). Renal/urinary tract imaging was available for 27 (42%) patients, and accompanying urinary tract anomalies were noted in 10 of them (37%). Few ovarian and other extra-renal anomalies were observed.
MRI could efficiently delineate the mullerian anomalies regardless of their complexity. Most of these anomalies were more efficaciously categorized by the ESHRE and the new ASRM systems, compared to the originally widely used AFS system. The new ASRM classification was found to be more practical as it is a modification of the original AFS system, using drawings with clear descriptions instead of symbols. This is particularly helpful in the radiological era, saving time and effort.
利用磁共振成像(MRI)描述苗勒管发育异常,并根据现有的分类系统,即美国生育协会(AFS)系统、欧洲人类生殖与胚胎学会(ESHRE)系统和新的美国生殖医学学会(ASRM)系统,对这些异常进行分类。
回顾性病历审查。
回顾性分析2010年1月至2021年12月期间64例患有苗勒管先天性异常女性的盆腔MRI研究及临床记录。平均年龄为22岁(年龄范围2 - 63岁)。
记录详细的影像学表现,然后根据三种相关分类系统对由此产生的苗勒管异常进行分类。
在患者中发现多种频率的苗勒管异常。苗勒管发育不全和发育不良分别在12例(19%)和16例(25%)患者中发现。双子宫在5例(8%)患者中发现。12例(19%)患者有纵隔子宫,而8例(12.5%)有双角子宫畸形。单角子宫在7例(11%)患者中存在。4例(6%)患者诊断为孤立性阴道异常。27例(42%)患者有肾脏/泌尿系统影像学检查结果,其中10例(37%)伴有泌尿系统异常。观察到很少的卵巢及其他肾外异常。
MRI能够有效地描绘苗勒管异常,无论其复杂性如何。与最初广泛使用的AFS系统相比,这些异常中的大多数通过ESHRE和新的ASRM系统分类更为有效。发现新的ASRM分类更实用,因为它是对原始AFS系统的修改,使用带有清晰描述的图示而非符号。这在放射学时代特别有帮助,节省时间和精力。