Tu Ching-Fu, Peng Shu-Hui, Chuang Chin-Kai, Wong Chi-Hong, Yang Tien-Shuh
Division of Animal Technology, Animal Technology Research Center, Agricultural Technology Research Institute, Hsinchu 30093, Taiwan.
Department of Biotechnology and Animal Science, National Ilan University, Yilan 260007, Taiwan.
Anim Biosci. 2023 Feb;36(2):339-349. doi: 10.5713/ab.22.0389. Epub 2022 Nov 14.
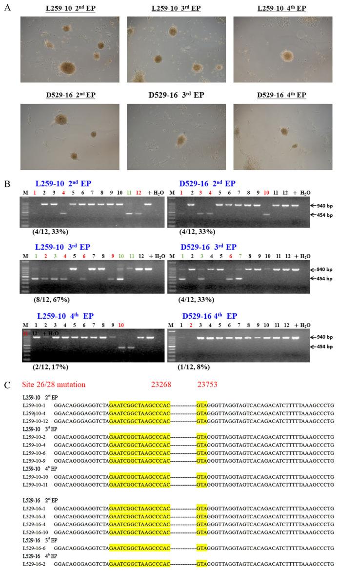
Gene editing (GE) offers a new breeding technique (NBT) of sustainable value to animal agriculture. There are 3 GE working sites covering 5 feasible pathways to generate GE pigs along with the crucial intervals of GE/genotyping, microinjection/electroporation, induced pluripotent stem cells, somatic cell nuclear transfer, cryopreservation, and nonsurgical embryo transfer. The extension of NBT in the new era of pig breeding depends on the synergistic effect of GE and reproductive biotechnologies; the outcome relies not only on scientific due diligence and operational excellence but also on the feasibility of application on farms to improve sustainability.
基因编辑(GE)为畜牧养殖业提供了一种具有可持续价值的新型育种技术(NBT)。有3个基因编辑工作位点,涵盖了5条培育基因编辑猪的可行途径,以及基因编辑/基因分型、显微注射/电穿孔、诱导多能干细胞、体细胞核移植、冷冻保存和非手术胚胎移植的关键阶段。NBT在猪育种新时代的推广取决于基因编辑技术与生殖生物技术的协同效应;其成果不仅依赖于科学的尽职调查和卓越的操作,还取决于在农场应用以提高可持续性的可行性。