Suppr超能文献

新型可吸收 Ca/P/S 基骨移植替代物在关节内和关节周围骨折中的成骨疗效:基于医学影像的简短报告。

Osteoregenerative efficacy of a novel synthetic, resorbable Ca/P/S-based bone graft substitute in intra- and peri-articular fractures: a brief medical image-based report.

机构信息

Department of Biomedical Engineering, National Cheng Kung University, 1 University Road, Tainan, 701, Taiwan.

Department of Orthopedic Surgery, National Cheng Kung University Hospital, College of Medicine, National Cheng Kung University, Tainan, Taiwan.

出版信息

J Orthop Surg Res. 2022 Nov 19;17(1):500. doi: 10.1186/s13018-022-03385-x.

Abstract

BACKGROUND

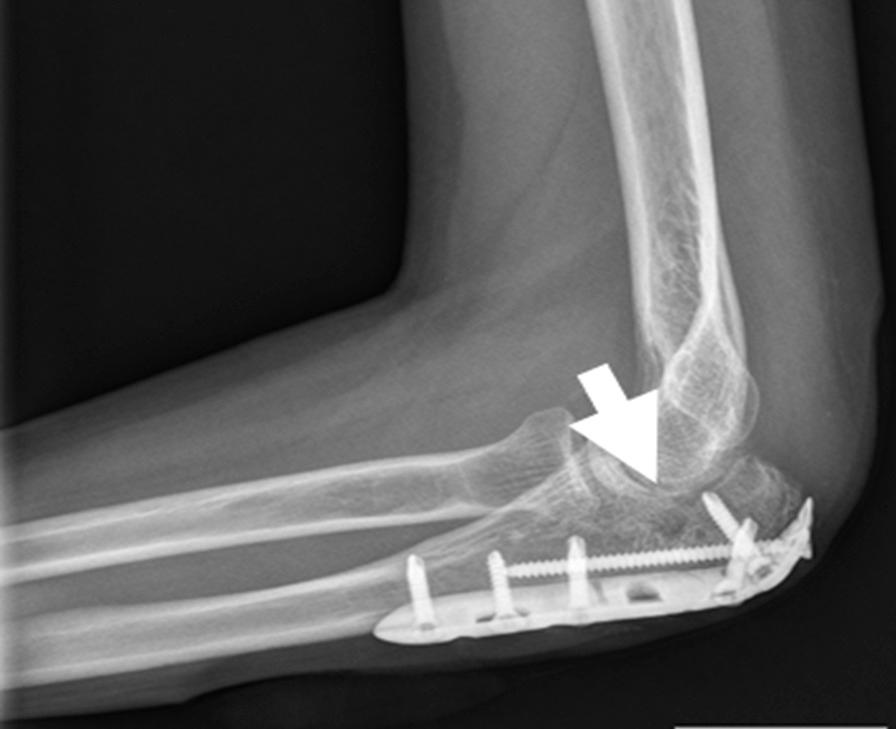
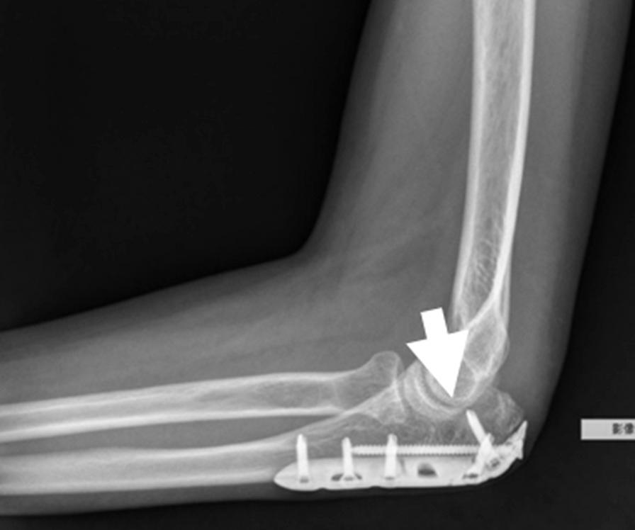
When a fracture goes into or around a joint, it usually damages the cartilage at the ends of bones and other joint tissue. As a result, the affected joints are prone to traumatic arthritis, leading to stiffness. Repairing bone damage, maintaining joint integrity, and avoiding subchondral and metaphyseal defects caused by comminuted fractures is often a great challenge for orthopedic surgeons. Tissue engineering of synthetic bone substitutes has proven beneficial to the attachment and proliferation of bone cells, promoting the formation of mature tissues with sufficient mechanical strength and has become a promising alternative to autograft methods. The purpose of this study is to retrospectively evaluate the clinical outcome and efficacy of a novel synthetic, highly biocompatible, and fully resorbable Ca/P/S-based bone substitute based on medical image findings.

MATERIALS AND METHODS

A synthetic, inorganic and highly porous Ca/P/S-based bone-substituting material (Ezechbone® Granule, CBS-400) has been developed by National Cheng-Kung University. We collected fourteen cases of complex intra- and peri-articular fractures with Ezechbone® Granule bone grafting between 2019/11 and 2021/11. We studied the evidence of bone healing by reviewing, interpreting and analyzing the medical image recordings.

RESULTS

In the present study, CBS-400 was observed to quickly integrate into surrounding bone within three weeks after grafting during the initial callus formation of the early stage of repair. All of these cases healed entirely within three months. In addition, the patient may return to daily life function after 3.5 months of follow-up and rehabilitation treatment.

CONCLUSIONS

Ezechbone® Granule CBS-400 was proved capable of promoting bone healing and early rehabilitation to prevent soft tissue adhesions and joint contractures. Moreover, it has a high potential for avoiding ectopic bone formation or abnormal synostosis.

TRIAL REGISTRATION

The Institutional Review Board at National Cheng Kung University Hospital (NCKUH) approved the study protocol (A-ER-109-031, 3-13-2020).

摘要

背景

当骨折进入或围绕关节时,通常会损坏骨末端的软骨和其他关节组织。结果,受影响的关节容易发生创伤性关节炎,导致僵硬。修复骨损伤、保持关节完整性、避免粉碎性骨折引起的软骨下和骺板缺陷,这对骨科医生来说往往是一个巨大的挑战。合成骨替代物的组织工程已被证明有利于骨细胞的附着和增殖,促进具有足够机械强度的成熟组织的形成,并已成为自体移植物方法的有前途的替代方法。本研究旨在通过医学影像学检查回顾性评估新型合成、高生物相容性、完全可吸收的 Ca/P/S 基骨替代物的临床结果和疗效。

材料和方法

国立成功大学开发了一种新型合成无机且高度多孔的 Ca/P/S 基骨替代物(Ezechbone® Granule,CBS-400)。我们收集了 2019 年 11 月至 2021 年 11 月间用 Ezechbone® Granule 植骨治疗的 14 例复杂关节内和关节周围骨折病例。我们通过回顾、解释和分析医学影像学记录来研究骨愈合的证据。

结果

在本研究中,在修复早期的初始骨痂形成的 3 周内,观察到 CBS-400 在移植后迅速与周围骨骼融合。所有这些病例都在三个月内完全愈合。此外,患者在 3.5 个月的随访和康复治疗后可能恢复日常生活功能。

结论

Ezechbone® Granule CBS-400 被证明能够促进骨愈合和早期康复,以防止软组织粘连和关节挛缩。此外,它有避免异位骨形成或异常骨融合的高潜力。

试验注册

成大医院机构审查委员会(NCKUH)批准了该研究方案(A-ER-109-031,2020 年 3 月 13 日)。

https://cdn.ncbi.nlm.nih.gov/pmc/blobs/2788/9675207/e08dbeb77847/13018_2022_3385_Fig1_HTML.jpg

文献AI研究员

20分钟写一篇综述,助力文献阅读效率提升50倍。

立即体验

用中文搜PubMed

大模型驱动的PubMed中文搜索引擎

马上搜索

文档翻译

学术文献翻译模型,支持多种主流文档格式。

立即体验