Suppr超能文献

小儿B细胞急性淋巴细胞白血病中的上腔静脉综合征:一例报告

Superior mediastinal syndrome in paediatric B-cell acute lymphoblastic leukaemia: a case report.

作者信息

Faizan Mahwish, Fatima Saba, Mehmood Khalid

机构信息

Department of Pediatric Hematology Oncology, University of Child Health Sciences, The Children's Hospital Lahore, Lahore, Punjab 54000, Pakistan.

Department of Pediatric Radiology, University of Child Health Sciences, The Children's Hospital Lahore, Lahore, Punjab 54000, Pakistan.

出版信息

Ecancermedicalscience. 2022 Oct 31;16:1457. doi: 10.3332/ecancer.2022.1457. eCollection 2022.

Abstract

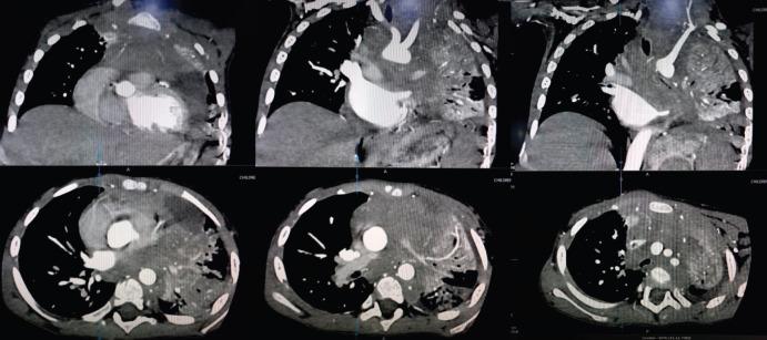
Superior mediastinal syndrome secondary to an anterior mediastinal mass can be seen in acute lymphoblastic leukaemia (ALL) of T-cell lineage. We report a 3-year-old child with B-cell ALL, who presented with the superior mediastinal syndrome. The CT scan chest showed a huge anterior mediastinal mass and the peripheral blood immunophenotyping showed B-cell ALL. High-risk remission induction chemotherapy was given and he achieved remission by the end of induction therapy, both in terms of medullary and extramedullary disease, and is on maintenance chemotherapy now. This is the first reported case of a paediatric B-cell ALL presenting with superior mediastinal syndrome secondary to an anterior mediastinal mass.

摘要

T细胞系急性淋巴细胞白血病(ALL)可出现继发于前纵隔肿块的上腔静脉综合征。我们报告1例3岁B细胞ALL患儿,该患儿表现为上腔静脉综合征。胸部CT扫描显示前纵隔巨大肿块,外周血免疫表型分析显示为B细胞ALL。给予高危缓解诱导化疗,诱导治疗结束时患儿达到缓解,髓内和髓外疾病均获缓解,目前正在进行维持化疗。这是首例报道的小儿B细胞ALL继发前纵隔肿块导致上腔静脉综合征的病例。

https://cdn.ncbi.nlm.nih.gov/pmc/blobs/d03c/9666274/4c414991200e/can-16-1457fig1.jpg

文献AI研究员

20分钟写一篇综述,助力文献阅读效率提升50倍。

立即体验

用中文搜PubMed

大模型驱动的PubMed中文搜索引擎

马上搜索

文档翻译

学术文献翻译模型,支持多种主流文档格式。

立即体验