Suppr超能文献

Ⅲ类错颌畸形的多学科诊断与治疗计划制定以及确定个体患者合适的前牙位置。

Interdisciplinary diagnosis and treatment planning for Class III malocclusion and determining the appropriate anterior tooth positions for individual patients.

作者信息

Khan Ambereen, Freer Elissa, Ong Desmond

机构信息

The University of Queensland School of Dentistry Brisbane Queensland Australia.

出版信息

Clin Case Rep. 2022 Nov 16;10(11):e6468. doi: 10.1002/ccr3.6468. eCollection 2022 Nov.

Abstract

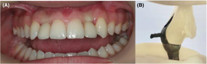
Patients presenting with Class III malocclusion often present significant challenges for the orthodontist and restorative clinician. The characteristic anterior crossbite is commonly associated with a maxillo-mandibular skeletal base discrepancy leading to both functional and esthetic issues. Three potential incisal tooth positions are discussed using clinical examples including implants.

摘要

患有III类错牙合畸形的患者常常给正畸医生和修复科医生带来重大挑战。典型的前牙反牙合通常与上颌-下颌骨骼基底差异有关,会导致功能和美观问题。本文将通过包括种植体在内的临床实例讨论三种潜在的切牙位置。

https://cdn.ncbi.nlm.nih.gov/pmc/blobs/b4dc/9669392/924e198434c1/CCR3-10-e6468-g006.jpg

文献AI研究员

20分钟写一篇综述,助力文献阅读效率提升50倍。

立即体验

用中文搜PubMed

大模型驱动的PubMed中文搜索引擎

马上搜索

文档翻译

学术文献翻译模型,支持多种主流文档格式。

立即体验