Suppr超能文献

X 连锁高免疫球蛋白 M 血症合并 CD40LG 突变患儿的呼吸道感染:中国 7 例病例系列研究

Respiratory infections in X-linked hyper-IgM syndrome with CD40LG mutation: a case series of seven children in China.

机构信息

Department of Respiratory Medicine, China National Clinical Research Center of Respiratory Diseases, Beijing Children's Hospital, Capital Medical University, National Center for Children's Health, Beijing, 100045, China.

Department of Respiration, Guangzhou Women and Children's Medical Center, Guangzhou Medical University, Guangzhou, 510120, China.

出版信息

BMC Pediatr. 2022 Nov 22;22(1):675. doi: 10.1186/s12887-022-03726-z.

Abstract

BACKGROUND

X-linked hyper-immunoglobulin M (XHIGM), a primary immunodeficiency syndrome caused by mutations in the CD40 ligand gene(CD40LG), presents with recurrent respiratory infections in pediatric patients. We aimed to evaluate the spectrum of clinical features and respiratory pathogens in pediatric patients with XHIGM in China.

METHODS

We retrospectively reviewed seven pediatric patients who were diagnosed with XHIGM and received follow-up treatment at the Guangzhou Women and Children's Medical Center between January 2010 and January 2021. We determined their clinical characteristics, causative pathogens, and prognosis by performing peripheral immunological and genetic tests.

RESULTS

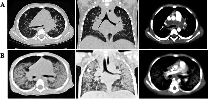
There were seven boys with age ranging from 4-20 months (median age, 13 months). Four of the seven respiratory infections were caused by Talaromyces marneffei(T. marneffei). Two patients had viral infections caused by cytomegalovirus (CMV) and human adenovirus respectively. One patient had a mixed infection caused by Pneumocystis carinii and CMV. Except for one child who died of respiratory failure, one patient received hematopoietic stem cell transplantation (HSCT) and recovered well, the other five patients survived with regular infusions of intravenous immunoglobulin (IVIg) during the follow-up period. Six patients had reduced antibody levels, especially IgG, IgA, and IgE levels. Increased serum IgM levels were detected in four cases, and three cases presented normal IgM levels at onset. All children were diagnosed with XHIGM with CD40LG variation. Three novel mutations were identified in the present study.

CONCLUSIONS

Our study suggests that respiratory infections usually begin within 2 years old, fungi and viruses are important pathogens causing respiratory infections in children with XHIGM. In endemic areas, T. marneffei is the common pathogen of respiratory tract infection in children with the disease.

摘要

背景

X 连锁高免疫球蛋白 M 血症(XHIGM)是一种由 CD40 配体基因(CD40LG)突变引起的原发性免疫缺陷综合征,在儿科患者中表现为反复呼吸道感染。我们旨在评估中国 XHIGM 儿科患者的临床特征和呼吸道病原体谱。

方法

我们回顾性分析了 2010 年 1 月至 2021 年 1 月在广州市妇女儿童医疗中心接受随访治疗的 7 例 XHIGM 诊断的儿科患者。我们通过外周免疫和基因检测确定了他们的临床特征、病原体和预后。

结果

有 7 名男孩,年龄 4-20 个月(中位数年龄 13 个月)。7 次呼吸道感染中有 4 次由 Talaromyces marneffei(T. marneffei)引起。2 例患者分别由巨细胞病毒(CMV)和人腺病毒引起的病毒感染。1 例患者发生卡氏肺孢子虫和 CMV 混合感染。除 1 例因呼吸衰竭死亡的患儿外,1 例接受造血干细胞移植(HSCT)后恢复良好,其余 5 例患儿在随访期间定期输注静脉注射免疫球蛋白(IVIg)存活。6 例患儿抗体水平降低,尤其是 IgG、IgA 和 IgE 水平。4 例患儿血清 IgM 水平升高,3 例患儿起病时 IgM 水平正常。所有患儿均被诊断为 XHIGM,CD40LG 变异。本研究共发现 3 种新突变。

结论

我们的研究表明,呼吸道感染通常在 2 岁以内开始,真菌和病毒是导致 XHIGM 儿童呼吸道感染的重要病原体。在流行地区,T. marneffei 是该病患儿呼吸道感染的常见病原体。

https://cdn.ncbi.nlm.nih.gov/pmc/blobs/0bf0/9682706/7f541607f46c/12887_2022_3726_Fig1_HTML.jpg

文献AI研究员

20分钟写一篇综述,助力文献阅读效率提升50倍。

立即体验

用中文搜PubMed

大模型驱动的PubMed中文搜索引擎

马上搜索

文档翻译

学术文献翻译模型,支持多种主流文档格式。

立即体验