Suppr超能文献

膀胱减压相关的危及生命的并发症:一例报告

Life-Threatening Complications Associated with Bladder Decompression: A Case Report.

作者信息

Knapp Barry J, Apgar Lauren, Pennell Kirstin

机构信息

Eastern Virginia Medical School, Department of Emergency Medicine, Norfolk, Virginia.

出版信息

Clin Pract Cases Emerg Med. 2022 Nov;6(4):298-301. doi: 10.5811/cpcem.2022.9.57956.

Abstract

INTRODUCTION

The clinical course of patients who present to the emergency department (ED) with urinary retention is usually uneventful. In this case, we explore the life-threatening complications of urinary retention and bladder decompression.

CASE REPORT

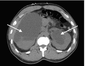
We report the case of a 57-year-old man who presented to the ED with difficulty voiding. A urinary catheter was placed. The patient had severe post-obstructive diuresis. He developed hematuria and became hypotensive. After aggressive resuscitation, including blood products, the patient required operative intervention for hemorrhage control.

CONCLUSION

Clinicians should be aware of and be able to manage the rare but life-threatening complications associated with urinary retention.

摘要

引言

因尿潴留就诊于急诊科(ED)的患者临床过程通常较为平稳。在此病例中,我们探讨尿潴留和膀胱减压的危及生命的并发症。

病例报告

我们报告一例57岁男性患者,因排尿困难就诊于急诊科。置入了导尿管。该患者出现严重的梗阻后利尿。他出现血尿并发生低血压。在积极复苏,包括输注血液制品后,患者仍需要手术干预以控制出血。

结论

临床医生应意识到并能够处理与尿潴留相关的罕见但危及生命的并发症。

https://cdn.ncbi.nlm.nih.gov/pmc/blobs/4308/9697882/1cd3718ce672/cpcem-06-298-g001.jpg

文献AI研究员

20分钟写一篇综述,助力文献阅读效率提升50倍。

立即体验

用中文搜PubMed

大模型驱动的PubMed中文搜索引擎

马上搜索

文档翻译

学术文献翻译模型,支持多种主流文档格式。

立即体验