Suppr超能文献

肺动脉分支假性动脉瘤及创伤后动静脉瘘:病例报告及文献复习

Pseudoaneurysm and post-traumatic arteriovenous fistula in pulmonary artery branch: Case report and review of the literature.

作者信息

Ramírez Sandra, Bastidas Nicolás, Lozano Nicolás, Casas Diego, Hernández Michel

机构信息

Radiology Department, Hospital Universitario de la Samaritana, Bogotá, Colombia.

University of la Sabana, Chía, Cundinamarca, Colombia.

出版信息

Radiol Case Rep. 2022 Nov 24;18(2):476-480. doi: 10.1016/j.radcr.2022.10.087. eCollection 2023 Feb.

Abstract

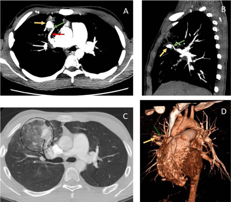
Pseudoaneurysms of a pulmonary artery branch are a rare complication in cases of penetrating chest trauma. Other more frequent causes are secondary to infections or iatrogenesis. We present the case of a 16-year-old male patient who returns weeks after having sustained a stab wound to the chest, complaining of hemoptysis and chest pain. Imaging studies help detect and characterize a partially thrombosed pseudoaneurysm arising from the artery that supplies the anterior segment of the right upper lobe, with an associated post-traumatic pulmonary arteriovenous fistula. The patient was successfully treated with endovascular arterial embolization. Identifying this entity opportunely has an impact on the survival of this patient, avoiding risk secondary to massive bleeding by making an adequate treatment.

摘要

肺动脉分支假性动脉瘤是穿透性胸部创伤病例中一种罕见的并发症。其他更常见的病因继发于感染或医源性因素。我们报告一例16岁男性患者,该患者在胸部被刺伤数周后复诊,主诉咯血和胸痛。影像学检查有助于检测和确定一个由供应右上叶前段的动脉形成的部分血栓形成的假性动脉瘤,并伴有创伤后肺动静脉瘘。该患者通过血管内动脉栓塞术成功治愈。及时识别这一病症对该患者的生存具有重要意义,通过进行适当治疗可避免大出血带来的风险。

https://cdn.ncbi.nlm.nih.gov/pmc/blobs/f1b1/9691421/fb41b127707e/gr1.jpg

文献AI研究员

20分钟写一篇综述,助力文献阅读效率提升50倍。

立即体验

用中文搜PubMed

大模型驱动的PubMed中文搜索引擎

马上搜索

文档翻译

学术文献翻译模型,支持多种主流文档格式。

立即体验