Suppr超能文献

GATA3 介导非经典 β-连环蛋白信号在骨骼细胞命运决定和异位软骨生成中的作用。

GATA3 mediates nonclassical β-catenin signaling in skeletal cell fate determination and ectopic chondrogenesis.

机构信息

Forsyth Institute, 245 First Street, Cambridge, MA 02142, USA.

University of Rochester Medical Center, 601 Elmwood Avenue, Rochester, NY 14642, USA.

出版信息

Sci Adv. 2022 Dec 2;8(48):eadd6172. doi: 10.1126/sciadv.add6172. Epub 2022 Nov 30.

Abstract

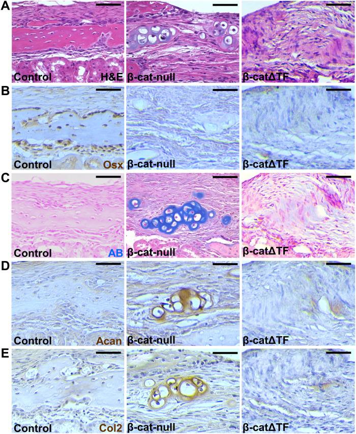
Skeletal precursors are mesenchymal in origin and can give rise to distinct sublineages. Their lineage commitment is modulated by various signaling pathways. The importance of Wnt signaling in skeletal lineage commitment has been implicated by the study of β-catenin-deficient mouse models. Ectopic chondrogenesis caused by the loss of β-catenin leads to a long-standing belief in canonical Wnt signaling that determines skeletal cell fate. As β-catenin has other functions, it remains unclear whether skeletogenic lineage commitment is solely orchestrated by canonical Wnt signaling. The study of the Wnt secretion regulator Gpr177/Wntless also raises concerns about current knowledge. Here, we show that skeletal cell fate is determined by β-catenin but independent of LEF/TCF transcription. Genomic and bioinformatic analyses further identify GATA3 as a mediator for the alternative signaling effects. GATA3 alone is sufficient to promote ectopic cartilage formation, demonstrating its essential role in mediating nonclassical β-catenin signaling in skeletogenic lineage specification.

摘要

骨骼前体细胞起源于间充质,并能分化为不同的亚系。它们的谱系决定受到各种信号通路的调节。β-连环蛋白缺失的小鼠模型研究表明,Wnt 信号在骨骼谱系决定中具有重要作用。β-连环蛋白的缺失导致异位软骨形成,这使得人们长期以来一直认为经典 Wnt 信号决定骨骼细胞命运。由于 β-连环蛋白具有其他功能,因此尚不清楚骨骼谱系的决定是否仅由经典 Wnt 信号来协调。Wnt 分泌调节剂 Gpr177/Wntless 的研究也引起了人们对现有知识的关注。在这里,我们表明,β-连环蛋白决定骨骼细胞命运,但不依赖于 LEF/TCF 转录。基因组和生物信息学分析进一步确定 GATA3 是替代信号效应的介质。GATA3 本身足以促进异位软骨形成,证明其在介导骨骼谱系特化中非经典β-连环蛋白信号中的重要作用。

https://cdn.ncbi.nlm.nih.gov/pmc/blobs/78bb/9710881/f89cbab468b2/sciadv.add6172-f1.jpg

文献AI研究员

20分钟写一篇综述,助力文献阅读效率提升50倍。

立即体验

用中文搜PubMed

大模型驱动的PubMed中文搜索引擎

马上搜索

文档翻译

学术文献翻译模型,支持多种主流文档格式。

立即体验