Suppr超能文献

Case report: Emergency management of spontaneous rupture of the inflammatory myofibroblastic tumor of the urinary bladder.

作者信息

Sun Zhenfu, Qi Lei, Guo Zhifan, Yuan Wei, Du Yuancheng, Gao Haitao, Hong Xuekai, Zang Yunjiang

机构信息

Department of Urology, Weifang Medical College (University), Weifang, Shandong, China.

Department of Urology, Weifang People's Hospital, Weifang, Shandong, China.

出版信息

Front Oncol. 2022 Nov 15;12:948263. doi: 10.3389/fonc.2022.948263. eCollection 2022.

Abstract

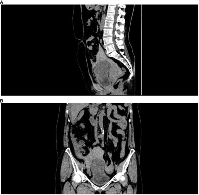
Acute abdomen caused by spontaneous rupture of the inflammatory myofibroblastic tumor of the urinary bladder (IMTUB) is a rare clinical emergency of the urinary system.It is difficult to distinguish it from spontaneous rupture of bladder caused by other causes before surgery. An emergency case of spontaneous rupture of IMTUB was reported. A 57-year-old middle-aged woman was admitted to the hospital because of "acute lower abdominal pain for 5 hours". No history of smoking and gross hematuria. The physical examination revealed visible abdominal tenderness as well as signs of shock. A pelvic CT scan shows a space-occupying lesion above the bladder with massive accumulation of blood. When the nature of the tumor could not be determined, emergency laparotomy and partial cystectomy were performed, and postoperative pathology confirmed cystitis myofibroblastic tumor. No local recurrence or distant metastasis of the tumor was observed during the regular follow-up period of 6 months. IMTUB should focus on prevention and treatment, with a combination of preoperative examination and postoperative pathology, and finally implement highly individualized treatment.

摘要
https://cdn.ncbi.nlm.nih.gov/pmc/blobs/3561/9706000/4347239fe98d/fonc-12-948263-g001.jpg

文献AI研究员

20分钟写一篇综述,助力文献阅读效率提升50倍。

立即体验

用中文搜PubMed

大模型驱动的PubMed中文搜索引擎

马上搜索

文档翻译

学术文献翻译模型,支持多种主流文档格式。

立即体验