Suppr超能文献

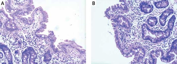
A novel compound-heterozygous EPCAM mutation in congenital tufting enteropathy.

作者信息

Zhao Ruiqin, Yang Fan, Chen Xinggu, Fu Haiyan, Li Guigui, Cheng Lijuan, Li Xiaolei

机构信息

Department of Gastroenterology, Hebei Children's Hospital, Shijiazhuang, China.

International Liaison Office, Hebei Children's Hospital, Shijiazhuang, China.

出版信息

Arch Med Sci. 2022 Nov 7;18(6):1700-1704. doi: 10.5114/aoms/155185. eCollection 2022.

Abstract
摘要
https://cdn.ncbi.nlm.nih.gov/pmc/blobs/23bb/9710291/55f5e070f12d/AMS-18-6-155185-g001.jpg

文献AI研究员

20分钟写一篇综述,助力文献阅读效率提升50倍。

立即体验

用中文搜PubMed

大模型驱动的PubMed中文搜索引擎

马上搜索

文档翻译

学术文献翻译模型,支持多种主流文档格式。

立即体验