Suppr超能文献

病例报告:伴有NAB2-STAT6融合基因的肾脏孤立性纤维瘤。

Case report: Solitary fibrous tumor of the kidney with a NAB2-STAT6 fusion gene.

作者信息

Ji Wen-Tong, Hu Yu, Wang Yao

机构信息

Urology 2nd Department, China-Japan Union Hospital of Jilin University, Changchun, Jilin, China.

Pathology Department, China-Japan Union Hospital of Jilin University, Changchun, Jilin, China.

出版信息

Front Oncol. 2022 Nov 16;12:1045238. doi: 10.3389/fonc.2022.1045238. eCollection 2022.

Abstract

BACKGROUND

Solitary fibrous tumor (SFT) is a rare spindle cell neoplasm that mostly originates from the pleura, and accounts for only 2% of all soft tissue tumors. Moreover, the cases of SFT of the kidney are rarely reported. Here, we report a typical case of kidney SFT, which was consistent with other reported cases. This case further expands on existing diagnostic methods of SFT and explains the importance of STAT6 mutations in SFT.

CASE SUMMARY

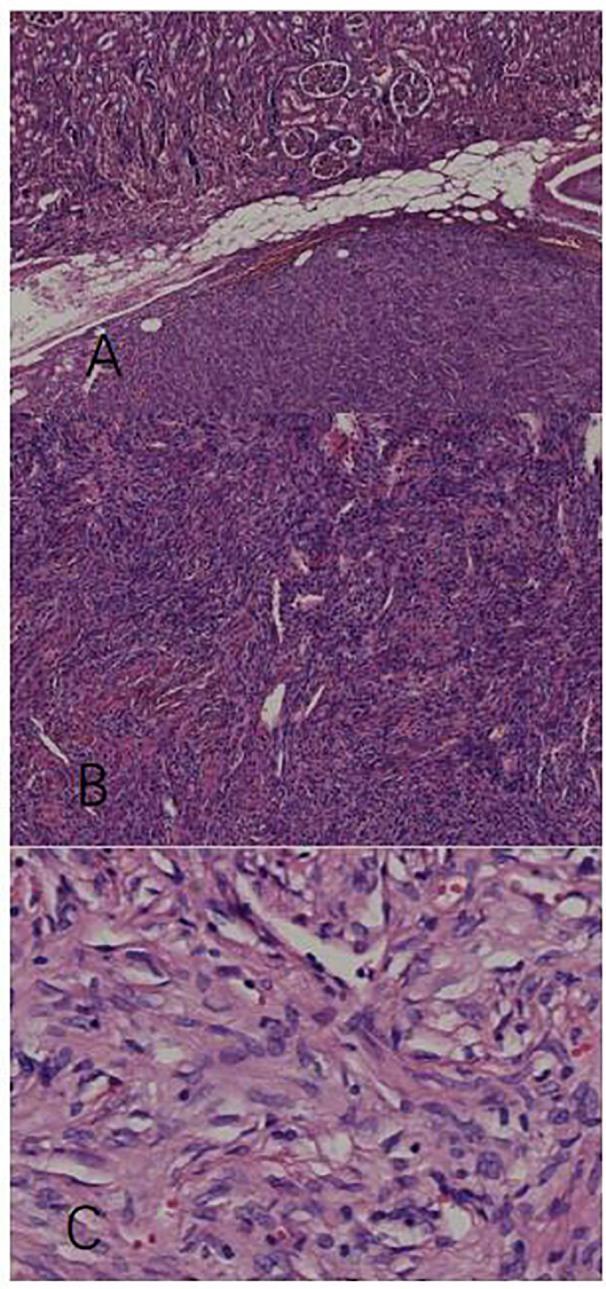
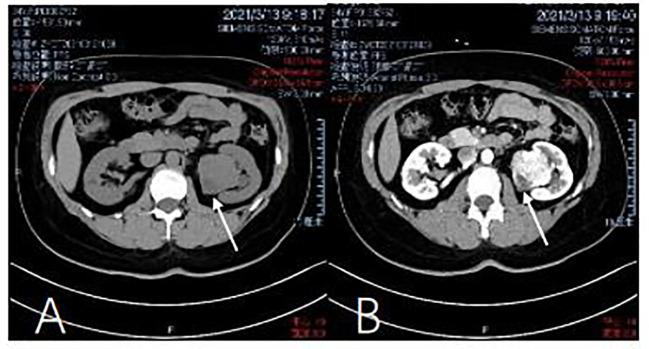
We report a typical case of SFT of the kidney. A 34-year-old woman presented to the urinary surgery department after physical examinations were suggestive of a urologic neoplasm. Further relevant imaging investigations suggested a renal tumor with benign behaviors. The patient was diagnosed with a kidney tumor suspected to be SFT and underwent laparoscopic radical left nephrectomy. Postoperative pathological immunohistochemical tests showed positivity for Signal Transducer and Activator of Transcription 6(STAT6), CD-34, CD-99, and Bcl-2, thus confirming the diagnosis of SFT. Combined with the results of genetic testing of the patient, the tumor was indicated to carry NGFI-A-Binding protein 2(NAB2): exon 6-STAT6: exon 16 mutation sites, which confirmed our diagnosis. The patient recovered quickly without any clinical evidence of incomplete resection. She has been followed-up for more than a year and will continue to be reviewed every three months to observe the final outcomes.

CONCLUSION

Solitary fibrous tumor is difficult to differentiate from other renal tumors. CT imaging, STAT6 immunostaining and gene profiling are valid investigations to establish the diagnosis.

摘要

背景

孤立性纤维瘤(SFT)是一种罕见的梭形细胞肿瘤,主要起源于胸膜,仅占所有软组织肿瘤的2%。此外,肾脏SFT的病例报道很少。在此,我们报告一例典型的肾脏SFT病例,与其他报道的病例一致。该病例进一步拓展了SFT现有的诊断方法,并解释了STAT6突变在SFT中的重要性。

病例摘要

我们报告一例典型的肾脏SFT病例。一名34岁女性在体检提示泌尿系统肿瘤后就诊于泌尿外科。进一步的相关影像学检查提示为具有良性行为的肾肿瘤。患者被诊断为疑似SFT的肾肿瘤,并接受了腹腔镜下左侧根治性肾切除术。术后病理免疫组化检查显示信号转导和转录激活因子6(STAT6)、CD-34、CD-99和Bcl-2呈阳性,从而确诊为SFT。结合患者的基因检测结果,肿瘤显示携带NGFI-A结合蛋白2(NAB2):外显子6-STAT6:外显子16突变位点,这证实了我们的诊断。患者恢复迅速,无任何不完全切除的临床证据。她已接受随访一年多,将继续每三个月复查一次以观察最终结果。

结论

孤立性纤维瘤难以与其他肾肿瘤相鉴别。CT成像、STAT6免疫染色和基因分析是确立诊断的有效检查方法。

https://cdn.ncbi.nlm.nih.gov/pmc/blobs/8471/9709104/f7629629cb06/fonc-12-1045238-g001.jpg

文献检索

告别复杂PubMed语法,用中文像聊天一样搜索,搜遍4000万医学文献。AI智能推荐,让科研检索更轻松。

立即免费搜索

文件翻译

保留排版,准确专业,支持PDF/Word/PPT等文件格式,支持 12+语言互译。

免费翻译文档

深度研究

AI帮你快速写综述,25分钟生成高质量综述,智能提取关键信息,辅助科研写作。

立即免费体验