Department of Chemistry and Biochemistry, California State University Long Beach, CA 90840, USA.
Department of Chemistry and Biochemistry, California State University Long Beach, CA 90840, USA.
Biochim Biophys Acta Biomembr. 2023 Feb;1865(2):184098. doi: 10.1016/j.bbamem.2022.184098. Epub 2022 Dec 6.
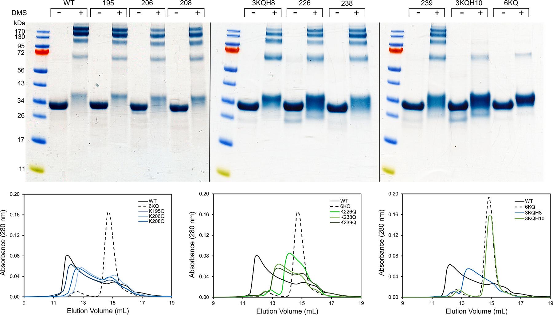
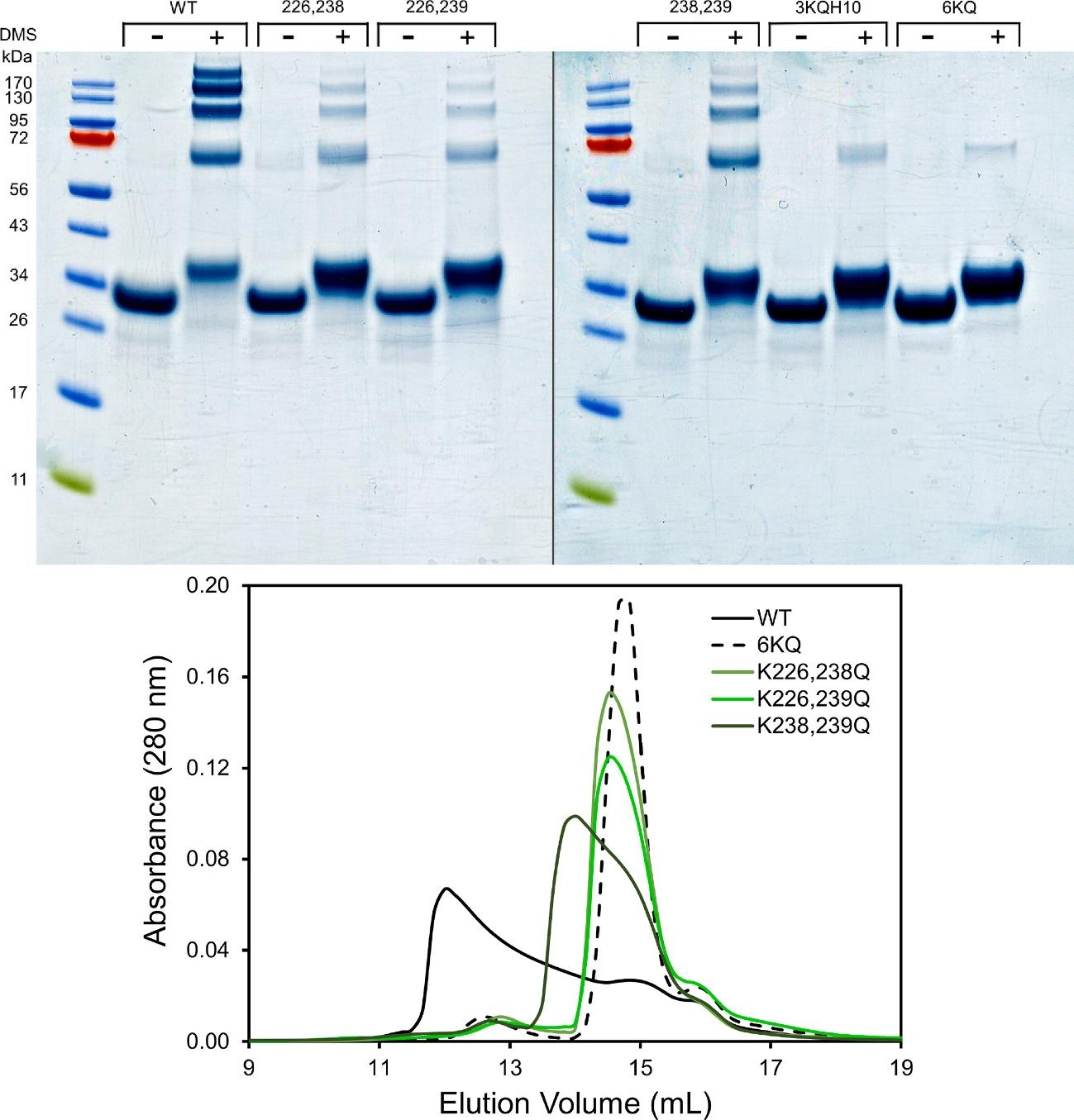
Apolipoprotein A-I (apoA-I) is the main protein of high-density lipoprotein and is comprised of a helical bundle domain and a C-terminal (CT) domain encompassing the last ~65 amino acid residues of the 243-residue protein. The CT domain contains three putative helices (helix 8, 9, and 10) and is critical for initiating lipid binding and harbors sites that mediate self-association of the lipid-free protein. Three lysine residues reside in helix-8 (K195, 206, 208), and three in helix-10 (K226, 238, 239). To determine the role of each CT lysine residue in apoA-I self-association, single, double and triple lysine to glutamine mutants were engineered via site-directed mutagenesis. Circular dichroism and chemical denaturation analysis revealed all mutants retained their structural integrity. Chemical crosslinking and size-exclusion chromatography showed a small effect on self-association when helix-8 lysine residues were changed into glutamine. In contrast, mutation of the three helix-10 lysine residues resulted in a predominantly monomeric protein and K226 was identified as a critical residue. When helix-10 glutamate residues 223, 234, or 235 were substituted with glutamine, reduced self-association was observed similar to that of the helix-10 lysine variants, suggesting ionic interactions between these residues. Thus, helix-10 is a critical part of apoA-I mediating self-association, and disruption of ionic interactions changes apoA-I from an oligomeric state into a monomer. Since the helix-10 triple mutant solubilized phospholipid vesicles at higher rates compared to wild-type apoA-I, this indicates monomeric apoA-I is more potent in lipid binding, presumably because helix-10 is fully accessible to interact with lipids.
载脂蛋白 A-I(apoA-I)是高密度脂蛋白的主要蛋白,由一个螺旋束结构域和一个 C 末端(CT)结构域组成,包含该 243 个氨基酸残基蛋白的最后约 65 个氨基酸残基。CT 结构域包含三个假定的螺旋(螺旋 8、9 和 10),对于启动脂质结合至关重要,并含有介导无脂蛋白自组装的位点。三个赖氨酸残基位于螺旋 8(K195、206、208),三个位于螺旋 10(K226、238、239)。为了确定 apoA-I 自组装中每个 CT 赖氨酸残基的作用,通过定点突变工程构建了单个、双个和三个赖氨酸到谷氨酰胺突变体。圆二色性和化学变性分析表明,所有突变体都保持其结构完整性。化学交联和尺寸排阻色谱显示,当螺旋 8 赖氨酸残基突变为谷氨酰胺时,对自组装的影响很小。相比之下,突变三个螺旋 10 赖氨酸残基导致主要是单体蛋白,并且鉴定出 K226 是关键残基。当螺旋 10 谷氨酸残基 223、234 或 235 突变为谷氨酰胺时,观察到自组装减少,类似于螺旋 10 赖氨酸变体,表明这些残基之间存在离子相互作用。因此,螺旋 10 是 apoA-I 介导自组装的关键部分,破坏离子相互作用会使 apoA-I 从寡聚状态转变为单体状态。由于螺旋 10 三突变体比野生型 apoA-I 更快地溶解磷脂囊泡,这表明单体 apoA-I 在脂质结合方面更有效,可能是因为螺旋 10 完全可用于与脂质相互作用。