Suppr超能文献

一名6岁男性患者腋窝迅速增大的囊状水瘤:病例报告及文献综述

Rapidly enlarging axillary cystic hygroma in a 6-year-old male patient: A case report and literature review.

作者信息

Al-Karaja Layth, Ibdah Mohammad G, Tos Salem M, Giacaman Narmeen, Yousef Ahmadullah Musleh Abu, Salhab Rafiq

机构信息

Al-Quds University, College of Medicine, Palestine.

Al-Quds University, College of Medicine, Palestine.

出版信息

Int J Surg Case Rep. 2023 Jan;102:107806. doi: 10.1016/j.ijscr.2022.107806. Epub 2022 Nov 30.

Abstract

INTRODUCTION

Cystic hygromas are relatively uncommon tumors of lymphatic origin, it appears most of the time, approximately 90 % before age of 2 years, and it is caused by abnormal development of lymphatic vessels.

CASE PRESENTATION

Here we report a case of axillary cystic hygroma in a 6-year-old healthy boy, which presented with the rapid development of a right axillary mass during 3 days, without any predisposing factor.

DISCUSSION

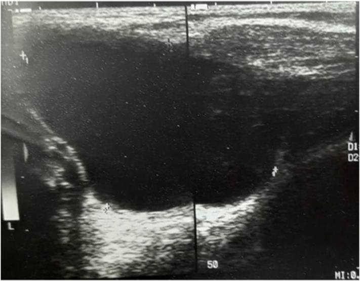
Cystic hygromas occur due to complete or partial obstruction of lymphatic vessels, which leads to lack of communication with the venous system, this results in the accumulation of lymphatic fluid and swelling, it occurs in the cervicofacial region most of the time 75 %, but it can arise anywhere in the body, it classically presents as painless, soft mass, diagnosis can be done using ultrasound, CT, MRI, each of which has its advantages, surgical treatment is routinely favored, but other options are also available.

CONCLUSION

Axillary cystic hygromas are quite rare, few cases have been reported in fetuses and adults, but only one case in the pediatric age group, thus, in light of these cases, cystic hygromas should be considered in the differential diagnosis of any cystic axillary swelling.

摘要

引言

囊状水瘤是相对罕见的淋巴管源性肿瘤,大多数情况下,约90%在2岁前出现,由淋巴管发育异常引起。

病例报告

我们在此报告一例6岁健康男孩的腋窝囊状水瘤,该患儿在3天内右腋窝肿块迅速增大,无任何诱发因素。

讨论

囊状水瘤是由于淋巴管完全或部分阻塞,导致与静脉系统缺乏连通,从而引起淋巴液积聚和肿胀。它大多发生在颈面部区域(75%),但也可出现在身体的任何部位,典型表现为无痛性、柔软肿块。可通过超声、CT、MRI进行诊断,每种方法都有其优点。常规首选手术治疗,但也有其他选择。

结论

腋窝囊状水瘤非常罕见,胎儿和成人中仅有少数病例报道,而小儿年龄组仅1例。因此,鉴于这些病例,在鉴别诊断任何腋窝囊性肿胀时都应考虑囊状水瘤。

https://cdn.ncbi.nlm.nih.gov/pmc/blobs/5f11/9758516/0965ea74fbef/gr1.jpg

相似文献

1
Rapidly enlarging axillary cystic hygroma in a 6-year-old male patient: A case report and literature review.
Int J Surg Case Rep. 2023 Jan;102:107806. doi: 10.1016/j.ijscr.2022.107806. Epub 2022 Nov 30.
2
Unusual cystic hygromas: Case report.
Int J Surg Case Rep. 2024 Mar;116:109368. doi: 10.1016/j.ijscr.2024.109368. Epub 2024 Feb 8.
3
Adult-onset cystic hygroma: A case report of rare entity.
Indian J Dent. 2016 Jan-Mar;7(1):51-4. doi: 10.4103/0975-962X.179374.
4
A rare case report of giant de novo cervical cystic hygroma in an elderly patient: Case report.
Ann Med Surg (Lond). 2021 Mar 4;64:102210. doi: 10.1016/j.amsu.2021.102210. eCollection 2021 Apr.
5
Rapid development of an axillary mass in an adult: a case of cystic hygroma.
South Med J. 2007 Aug;100(8):845-9. doi: 10.1097/SMJ.0b013e3180f60e09.
6
A rare case of cystic hygroma in neck and extending into thoracic cavity.
Int J Surg Case Rep. 2020;76:174-177. doi: 10.1016/j.ijscr.2020.09.090. Epub 2020 Oct 3.
7
Fetal axillary cystic hygroma detected by prenatal ultrasonography: a case report.
J Korean Med Sci. 2002 Jun;17(3):400-2. doi: 10.3346/jkms.2002.17.3.400.
8
Surgical management of adult-onset cystic hygroma in the axilla.
Int J Surg Case Rep. 2015;7C:29-31. doi: 10.1016/j.ijscr.2014.11.017. Epub 2014 Nov 11.
9
A unique case of the rapid onset of a large cystic hygroma in the adult.
Am J Otolaryngol. 2001 May-Jun;22(3):206-10. doi: 10.1053/ajot.2001.23430.
10
Cervical cystic hygroma.
J Maxillofac Oral Surg. 2012 Sep;11(3):333-6. doi: 10.1007/s12663-010-0149-x. Epub 2011 Feb 4.

引用本文的文献

1
Unusual cystic hygromas: Case report.
Int J Surg Case Rep. 2024 Mar;116:109368. doi: 10.1016/j.ijscr.2024.109368. Epub 2024 Feb 8.

文献AI研究员

20分钟写一篇综述,助力文献阅读效率提升50倍。

立即体验

用中文搜PubMed

大模型驱动的PubMed中文搜索引擎

马上搜索

文档翻译

学术文献翻译模型,支持多种主流文档格式。

立即体验