Gowda Vykuntaraju K, Natarajan Balamurugan, Srinivasan Varunvenkat M, Shivappa Sanjay K
Department of Pediatric Neurology, Indira Gandhi Institute of Child Health, Bengaluru, Karnataka, India.
Department of Paediatrics, Indira Gandhi Institute of Child Health, Bengaluru, Karnataka, India.
J Pediatr Neurosci. 2021 Oct-Dec;16(4):273-276. doi: 10.4103/jpn.JPN_76_20. Epub 2021 Jul 12.
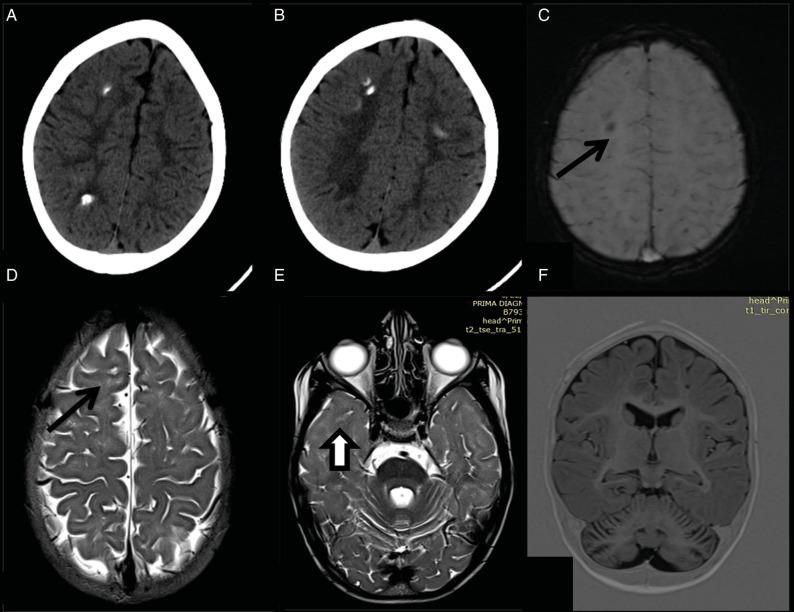
Cerebral folate transport deficiency results from impaired folate transport across the blood:choroid plexus:cerebrospinal fluid (CSF) barrier. This leads to low CSF 5-methyltetrahydrofolate (5MTHF), the active folate metabolite. We are reporting two children with this treatable cerebral folate transport deficiency. Case 1: Seventeen-year-old boy presented with delayed milestones followed by regression, seizures, and intention tremors. On examination child had pyramidal and cerebellar signs. Magnetic resonance imaging (MRI) of brain revealed diffuse cerebral and cerebellar atrophy. Targeted next generation sequencing revealed homozygous missense pathogenic variant in gene in exon 4 c.382C>T p.R128W, confirming the diagnosis of cerebral folate deficiency. Case 2: Six-year-old male child presented with delayed milestones, myoclonic jerks and cognitive regression from 3 years of age. Child had microcephaly with ataxia. Computed tomography (CT) of brain revealed multifocal calcifications. MRI brain revealed cerebellar atrophy with hyperintense T2 signal changes in the subcortical white matter of frontal and temporal lobes. Genetic testing revealed homozygous variant (c.493+2_493+6delTGAGG) in intron 4 of the gene which is a novel pathogenic variant. Both children started on folinic acid and there was a significant improvement in development, behavior, ataxia, and decrease in seizure frequency. In conclusion, cerebral folate transport deficiency should be suspected in every child with global developmental delay, epilepsy, ataxia and neuroimaging showing cerebellar atrophy and calcification. Response to folinic acid supplementation is partial if diagnosed late and treatment initiation is delayed.
脑叶酸转运缺陷是由于叶酸跨血脑屏障(血-脉络丛-脑脊液屏障)转运受损所致。这会导致脑脊液中活性叶酸代谢产物5-甲基四氢叶酸(5MTHF)水平降低。我们报告了两名患有这种可治疗的脑叶酸转运缺陷的儿童。病例1:一名17岁男孩,发育里程碑延迟,随后出现倒退、癫痫发作和意向性震颤。检查发现该患儿有锥体束征和小脑体征。脑部磁共振成像(MRI)显示弥漫性大脑和小脑萎缩。靶向二代测序显示基因外显子4中存在纯合错义致病性变异,c.382C>T p.R128W,确诊为脑叶酸缺乏。病例2:一名6岁男童,发育里程碑延迟,自3岁起出现肌阵挛性抽搐和认知倒退。患儿有小头畸形伴共济失调。脑部计算机断层扫描(CT)显示多灶性钙化。脑部MRI显示小脑萎缩,额叶和颞叶皮质下白质T2信号呈高信号改变。基因检测显示该基因内含子4存在纯合变异(c.493+2_493+6delTGAGG),这是一种新型致病性变异。两名患儿均开始使用亚叶酸治疗,发育、行为、共济失调均有显著改善,癫痫发作频率降低。总之,对于每一名有全面发育迟缓、癫痫、共济失调且神经影像学显示小脑萎缩和钙化的儿童,都应怀疑脑叶酸转运缺陷。如果诊断较晚且治疗开始延迟,补充亚叶酸的反应是部分性的。