Song Haofei, Quan Jima, Li Chang, Liang Wan, Zhang Lan, Wang Shuangshuang, Lu Hongyu, Yang Keli, Zhou Danna, Li Peng, Tian Yongxiang
College of Animal Science, Yangtze University, Jingzhou 434025, China.
Key Laboratory of Prevention and Control Agents for Animal Bacteriosis (Ministry of Agriculture and Rural Affairs), Hubei Provincial Key Laboratory of Animal Pathogenic Microbiology, Institute of Animal Husbandry and Veterinary, Hubei Academy of Agricultural Sciences, Wuhan 430064, China.
Animals (Basel). 2022 Dec 15;12(24):3542. doi: 10.3390/ani12243542.
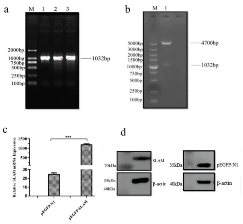
The porcine reproductive and respiratory syndrome virus (PRRSV) causes a highly contagious disease in domestic swine. Signaling lymphocytic activation molecule family member 1 (SLAMF1) is a costimulatory factor that is involved in innate immunity, inflammation, and infection. Here, we demonstrate that overexpression of the SLAMF1 gene inhibited PRRSV replication significantly and reduced the levels of key signaling pathways, including MyD88, RIG-I, TLR2, TRIF, and inflammatory factors IL-6, IL-1β, IL-8, TNF-β, TNF-α, and IFN-α in vitro. However, the knockdown of the SLAMF1 gene could enhance replication of the PRRSV and the levels of key signaling pathways and inflammatory factors. Overall, our results identify a new, to our knowledge, antagonist of the PRRSV, as well as a novel antagonistic mechanism evolved by inhibiting innate immunity and inflammation, providing a new reference and direction for PRRSV disease resistance breeding.
猪繁殖与呼吸综合征病毒(PRRSV)可在家猪中引发一种高度传染性疾病。信号淋巴细胞激活分子家族成员1(SLAMF1)是一种共刺激因子,参与先天免疫、炎症和感染过程。在此,我们证明,SLAMF1基因的过表达在体外显著抑制了PRRSV的复制,并降低了包括MyD88、RIG-I、TLR2、TRIF等关键信号通路以及炎症因子IL-6、IL-1β、IL-8、TNF-β、TNF-α和IFN-α的水平。然而,SLAMF1基因的敲低可增强PRRSV的复制以及关键信号通路和炎症因子的水平。总体而言,据我们所知,我们的研究结果鉴定出一种新的PRRSV拮抗剂,以及一种通过抑制先天免疫和炎症而演变出的新型拮抗机制,为PRRSV抗病育种提供了新的参考和方向。