Department of Human Genetics and Donders Institute for Brain, Cognition and Behaviour, Radboud University Medical Center, 6525 GA Nijmegen, The Netherlands.
Departments of Pediatrics, Amalia Children's Hospital, Human Genetics and Radboud Institute for Molecular Life Sciences, Radboud University Medical Center, 6525 GA Nijmegen, The Netherlands.
Cells. 2022 Dec 7;11(24):3947. doi: 10.3390/cells11243947.
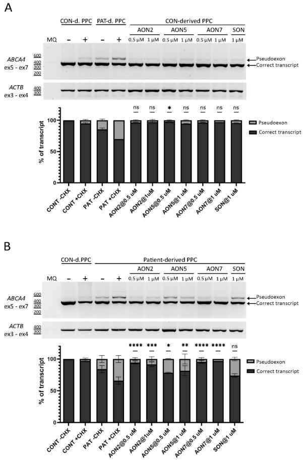
Stargardt disease is an inherited retinal disease caused by biallelic mutations in the ABCA4 gene, many of which affect ABCA4 splicing. In this study, nine antisense oligonucleotides (AONs) were designed to correct pseudoexon (PE) inclusion caused by a recurrent deep-intronic variant in ABCA4 (c.769-784C>T). First, the ability of AONs to skip the PE from the final ABCA4 mRNA transcript was assessed in two cellular models carrying the c.769-784C>T variant: a midigene assay using HEK293T cells and patient-derived fibroblasts. Based on the splicing-correcting ability of each individual AON, the three most efficacious AONs targeting independent regions of the PE were selected for a final assessment in photoreceptor precursor cells (PPCs). The final analysis in the PPC model confirmed high efficacy of AON2, -5, and -7 in promoting PE exclusion. Among the three AONs, AON2 is chosen as the lead candidate for further optimization, hereby showcasing the high potential of AONs to correct aberrant splicing events driven by deep-intronic variants.
斯塔加特病是一种遗传性视网膜疾病,由 ABCA4 基因的双等位基因突变引起,其中许多突变影响 ABCA4 的剪接。在这项研究中,设计了九种反义寡核苷酸(AON)来纠正 ABCA4 中反复出现的深内含子变异(c.769-784C>T)引起的假外显子(PE)包含。首先,在携带 c.769-784C>T 变异的两种细胞模型中,使用 HEK293T 细胞和患者来源的成纤维细胞的 midigene 测定法评估 AON 从最终 ABCA4 mRNA 转录本中跳过 PE 的能力。基于每个单独 AON 的剪接纠正能力,选择了针对 PE 独立区域的三个最有效的 AON 进行最后评估在光感受器前体细胞(PPC)中。在 PPC 模型中的最终分析证实了 AON2、-5 和 -7 高效促进 PE 排除。在这三种 AON 中,AON2 被选为进一步优化的候选物,展示了 AON 纠正由深内含子变异驱动的异常剪接事件的高潜力。